Bluesky Facebook Reddit Email

NIH study sheds light on immune responses driving obesity-induced liver disease

06.28.17 | NIH/National Institute of Allergy and Infectious Diseases

Garmin GPSMAP 67i with inReach

Garmin GPSMAP 67i with inReach provides rugged GNSS navigation, satellite messaging, and SOS for backcountry geology and climate field teams.


New findings from mouse models reveal that the type of immune response that helps maintain healthy metabolism in fatty tissues, called type 2 immunity, also drives obesity-induced nonalcoholic fatty liver disease (NAFLD) . The work, led by scientists at the National Institute of Allergy and Infectious Diseases (NIAID), part of the National Institutes of Health, shows that the inflammatory environment in the fatty liver is more complex than previously thought. These insights may inform the development of new NAFLD treatments as well as immune-altering therapies for obesity and related health issues in people with NAFLD.

NAFLD affects an estimated 64 million people in the United States. Over time, it can progress to nonalcoholic steatohepatitis (NASH), eventually leading to liver damage and scarring. NAFLD is a leading indication for liver transplantation.

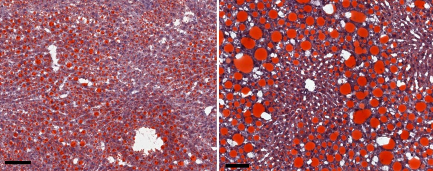
Although the mechanisms regulating NAFLD progression have been unclear, scientists had suspected that the type of immune response that inflames fatty tissues during obesity, known as type 1 immunity, also worsens liver disease. Unexpectedly, the NIAID-led team found that obese mice engineered to have strong type 1 immune responses were resistant to NASH. This protection was associated with activation of a type 1 immune molecule called IFN-gamma. Obese mice lacking IFN-gamma progressed rapidly to NASH and developed liver scarring.

Further experiments revealed that NASH-induced scarring depends on TGF-beta, a broad immune system regulator and target for experimental NASH therapies, and IL-13, a type 2 molecule produced by various immune cells, including eosinophils . Blocking TGF-beta in mouse models slowed NASH-driven liver scarring, but the number of eosinophils and amount of IL-13 produced in the liver increased to compensate for the lost TGF-beta function. Simultaneously blocking TGF-beta and IL-13 more effectively stopped liver scarring.

To determine whether these findings may be relevant to human disease, the scientists examined liver biopsies from people with NASH. As in mice, the researchers observed evidence of type 2 inflammation and accumulation of eosinophils.

The researchers next plan to use mouse models to assess the specific roles of eosinophils in the liver and to study ways to specifically block the IL-13 and TGF-beta cell-signaling that leads to liver scarring.

###

ARTICLE:

KM Hart et al. Type-2 immunity is protective in metabolic disease but exacerbates NAFLD collaboratively with TGF-ß. Science Translational Medicine DOI: 10.1126/scitranslmed.aal3694 (2017).

WHO:

Thomas A. Wynn, Ph.D., chief of the Immunopathogenesis Section in NIAID's Laboratory of Parasitic Diseases and the senior author of the paper, is available to discuss the findings.

CONTACT:

To schedule interviews, please contact Hillary Hoffman, (301) 402-1663, hillary.hoffman@nih.gov .

NIAID conducts and supports research--at NIH, throughout the United States, and worldwide--to study the causes of infectious and immune-mediated diseases, and to develop better means of preventing, diagnosing and treating these illnesses. News releases, fact sheets and other NIAID-related materials are available on the NIAID website .

About the National Institutes of Health (NIH): NIH, the nation's medical research agency, includes 27 Institutes and Centers and is a component of the U.S. Department of Health and Human Services. NIH is the primary federal agency conducting and supporting basic, clinical, and translational medical research, and is investigating the causes, treatments, and cures for both common and rare diseases. For more information about NIH and its programs, visit http://www.nih.gov/ .

NIH...Turning Discovery Into Health®

Science Translational Medicine

10.1126/scitranslmed.aal3694

Keywords

Article Information

Contact Information

Hillary Hoffman
NIH/National Institute of Allergy and Infectious Diseases
hillary.hoffman@nih.gov

How to Cite This Article

APA:
NIH/National Institute of Allergy and Infectious Diseases. (2017, June 28). NIH study sheds light on immune responses driving obesity-induced liver disease. Brightsurf News. https://www.brightsurf.com/news/1EKNY351/nih-study-sheds-light-on-immune-responses-driving-obesity-induced-liver-disease.html
MLA:
"NIH study sheds light on immune responses driving obesity-induced liver disease." Brightsurf News, Jun. 28 2017, https://www.brightsurf.com/news/1EKNY351/nih-study-sheds-light-on-immune-responses-driving-obesity-induced-liver-disease.html.