Bluesky Facebook Reddit Email

Houshiheisan maintains stabilization of the internal environment of neurovascular units

07.07.14 | Neural Regeneration Research

SAMSUNG T9 Portable SSD 2TB

SAMSUNG T9 Portable SSD 2TB transfers large imagery and model outputs quickly between field laptops, lab workstations, and secure archives.


Cerebral ischemia not only injuries neurons, but also involves the glial cells that provide a supportive scaffold to which the neurons are attached and the microvessels that provide energy for nervous tissue. Therefore, protection of a single neuron is not sufficient to recover nervous function, and more attention should be paid to maintenance of the function of entire neurovascular units. Houshiheisan compound is one of effective traditional Chinese compound prescriptions for stroke. The prescription is composed of wind-dispelling (chrysanthemun flower, divaricate saposhnikovia root, Manchurian wild ginger, cassia twig, Szechwan lovage rhizome, and platycodon root) and deficiency-nourishing (ginseng, Chinese angelica, large-head atractylodes rhizome, Indian bread, and zingiber) drugs. Haizheng Wang and his team, School of Traditional Chinese Medicine, Capital Medical University in China, performed a study on Houshiheisan and found that the wind-dispelling and deficiency-nourishing drugs in the compound prescription Houshiheisan are complementary to each other, effectively suppress abnormal amyloid precursor protein accumulation, reduce amyloid substance deposition, maintain stabilization of the internal environment of neurovascular units, and minimize injury to neurovascular units in the ischemic penumbra by downregulating the amyloid-βexpression. Their findings were published in Neural Regeneration Research (Vol. 9, No. 7, 2014).

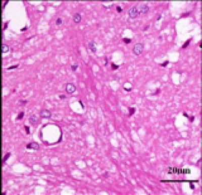
Hematoxylin-eosin staining revealed that after intragastric administration of Houshiheisan, the number of nerve cells was visibly increased and there was infiltration of a small number of inflammatory cells in the ischemic penumbra of rats with cerebral ischemia.

Article: " Houshiheisan compound prescription protects neurovascular units after cerebral ischemia," by Haizheng Wang, Lei Wang, Nan Zhang, Qi Zhang, Hui Zhao, Qiuxia Zhang (School of Traditional Chinese Medicine, Capital Medical University, Beijing, China)

Wang HZ, Wang L, Zhang N, Zhang Q, Zhao H, Zhang QX. Houshiheisan compound prescription protects neurovascular units after cerebral ischemia. Neural Regen Res . 2014;9(7):741-748.

Contact:

Meng Zhao
eic@nrren.org
86-138-049-98773
Neural Regeneration Research
http://www.nrronline.org/

Neural Regeneration Research

Keywords

Article Information

Contact Information

Meng Zhao
eic@nrren.org

How to Cite This Article

APA:
Neural Regeneration Research. (2014, July 7). Houshiheisan maintains stabilization of the internal environment of neurovascular units. Brightsurf News. https://www.brightsurf.com/news/1EKW2731/houshiheisan-maintains-stabilization-of-the-internal-environment-of-neurovascular-units.html
MLA:
"Houshiheisan maintains stabilization of the internal environment of neurovascular units." Brightsurf News, Jul. 7 2014, https://www.brightsurf.com/news/1EKW2731/houshiheisan-maintains-stabilization-of-the-internal-environment-of-neurovascular-units.html.