Bluesky Facebook Reddit Email

Study identifies gene tied to motor neuron loss in ALS

01.22.14 | Columbia University Irving Medical Center

SAMSUNG T9 Portable SSD 2TB

SAMSUNG T9 Portable SSD 2TB transfers large imagery and model outputs quickly between field laptops, lab workstations, and secure archives.


NEW YORK, NY (January 22, 2014) — Columbia University Medical Center (CUMC) researchers have identified a gene, called matrix metalloproteinase-9 (MMP-9), that appears to play a major role in motor neuron degeneration in amyotrophic lateral sclerosis (ALS), also known as Lou Gehrig's disease. The findings, made in mice, explain why most but not all motor neurons are affected by the disease and identify a potential therapeutic target for this still-incurable neurodegenerative disease. The study was published today in the online edition of the journal Neuron .

"One of the most striking aspects of ALS is that some motor neurons—specifically, those that control eye movement and eliminative and sexual functions—remain relatively unimpaired in the disease," said study leader Christopher E. Henderson, PhD, the Gurewitsch and Vidda Foundation Professor of Rehabilitation and Regenerative Medicine, professor of pathology & cell biology and neuroscience (in neurology), and co-director of Columbia's Motor Neuron Center. "We thought that if we could find out why these neurons have a natural resistance to ALS, we might be able to exploit this property and develop new therapeutic options."

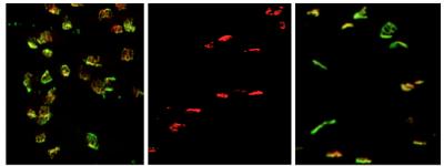
To understand why only some motor neurons are vulnerable to ALS, the researchers used DNA microarray profiling to compare the activity of tens of thousands of genes in neurons that resist ALS (oculomotor neurons/eye movement and Onuf's nuclei/continence) with neurons affected by ALS (lumbar 5 spinal neurons/leg movement). The neurons were taken from normal mice.

"We found a number of candidate 'susceptibility' genes—genes that were expressed only in vulnerable motor neurons. One of those genes, MMP-9, was strongly expressed into adulthood. That was significant, as ALS is an adult-onset disease," said co-lead author Krista J. Spiller, a former graduate student in Dr. Henderson's laboratory who is now a postdoctoral fellow at the University of Pennsylvania. The other co-lead author is Artem Kaplan, a former MD-PhD student in the lab who is now a neurology resident at NewYork-Presbyterian Hospital/Columbia University Medical Center.

In a follow-up experiment, the researchers confirmed that the product of MMP-9, MMP-9 protein, is present in ALS-vulnerable motor neurons, but not in ALS-resistant ones. Further, the researchers found that MMP-9 can be detected not just in lumbar 5 neurons, but also in other types of motor neurons affected by ALS. "It was a perfect correlation." said Dr. Henderson. "In other words, having MMP-9 is an absolute predictor that a motor neuron will die if the disease strikes, at least in mice."

Taking a closer look at the groups of vulnerable motor neurons, the researchers found differences in MMP-9 expression at the single-cell level. Fast-fatigable neurons (which are involved in movements like jumping and sprinting and are the first to die in ALS) were found to have the most MMP-9 protein, whereas slow neurons (which control posture and are only partially affected in ALS) had none. "So, MMP-9 is not only labeling the most vulnerable groups of motor neurons, it is labeling the most vulnerable subtypes within those groups, as well," said Dr. Spiller.

In another experiment, the researchers tested whether MMP-9 has a functional role in ALS by crossing MMP-9 knockout mice with SOD1 mutant mice (a standard mouse model of ALS). Progeny from this cross with no MMP-9 exhibited an 80-day delay in loss of fast-fatigable motor neuron function and a 25 percent longer lifespan, compared with littermates with two copies of the MMP-9 gene. "This effect on nerve-muscle synapses is the largest ever seen in a mouse model of ALS," said Dr. Spiller.

The same effect on motor neuron function was seen when MMP-9 was inactivated in SOD1 mutant mice using chemical injections or virally mediated gene therapy.

"Even after treatment, these mice didn't have a normal lifespan, so inactivating MMP-9 is not a cure," said Dr. Henderson. "But it's remarkable that lowering levels of a single gene could have such a strong effect on the disease. That's encouraging for therapeutic purposes."

The researchers are still investigating how MMP-9 affects motor neuron function. Their findings suggest that the protein plays a role in increasing stress on the endoplasmic reticulum, an organelle involved in transporting and processing materials within cells. "Our goal is to learn more about MMP-9 and related pathways and to identify a new set of therapeutic targets," said Dr. Henderson.

The paper is titled, "Neuronal matrix metalloproteinase-9 is a determinant of selective neurodegeneration." The other contributors are Christopher Towne (Brain Mind Institute, École Polytechnique Fédérale de Lausanne, Lausanne, Switzerland), Kevin C. Kanning (CUMC), Ginn T. Choe (CUMC), Adam Geber (CUMC), Turgay Akay (CUMC), and Patrick Aebischer (Brain Mind Institute).

MMP-9 inhibitors developed for cancer have not been successful in that context. The authors hope that this study will encourage companies to explore clinical testing of such drugs—or other modes of MMP-9 inhibition—in patients with ALS.

The authors declare no additional financial or other conflicts of interest.

The study was supported by grants from P2ALS, Target ALS, the Tow Foundation, the SMA Foundation, the National Institute of Neurological Disorders and Stroke (1R01-NS056422-01A1 and NS072428), the National Science Foundation, and the Neurobiology and Behavior and MD-PhD programs.

Columbia University Medical Center provides international leadership in basic, preclinical, and clinical research; medical and health sciences education; and patient care. The medical center trains future leaders and includes the dedicated work of many physicians, scientists, public health professionals, dentists, and nurses at the College of Physicians and Surgeons, the Mailman School of Public Health, the College of Dental Medicine, the School of Nursing, the biomedical departments of the Graduate School of Arts and Sciences, and allied research centers and institutions. Columbia University Medical Center is home to the largest medical research enterprise in New York City and State and one of the largest faculty medical practices in the Northeast. For more information, visit cumc.columbia.edu or columbiadoctors.org .

Neuron

Keywords

Article Information

Contact Information

Karin Eskenazi
Columbia University Irving Medical Center
ket2116@columbia.edu

How to Cite This Article

APA:
Columbia University Irving Medical Center. (2014, January 22). Study identifies gene tied to motor neuron loss in ALS. Brightsurf News. https://www.brightsurf.com/news/1EKW4JQ1/study-identifies-gene-tied-to-motor-neuron-loss-in-als.html
MLA:
"Study identifies gene tied to motor neuron loss in ALS." Brightsurf News, Jan. 22 2014, https://www.brightsurf.com/news/1EKW4JQ1/study-identifies-gene-tied-to-motor-neuron-loss-in-als.html.