Bluesky Facebook Reddit Email

Pretreatment with SSTF prevents hippocampal neuronal apoptosis due to cerebral infarction

03.10.14 | Neural Regeneration Research

Anker Laptop Power Bank 25,000mAh (Triple 100W USB-C)

Anker Laptop Power Bank 25,000mAh (Triple 100W USB-C) keeps Macs, tablets, and meters powered during extended observing runs and remote surveys.


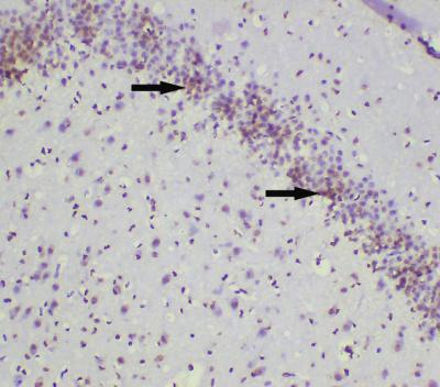
Focal cerebral ischemia-reperfusion may lead to neuronal loss in the hippocampus, which is regarded as one of the basic pathological mechanisms underlying cognitive impairment. The neuronal apoptosis plays an important role in cerebral infarction, determining the number of loss of neurons and infarct volume. Growing evidence has suggested that Chinese herbs can inhibit hippocampal apoptosis caused by ischemia-reperfusion. Prof. Shumin Zhao and team from Chengde Medical College in China pretreated rats with scutellaria baicalensis stem-leaf total flavonoid (SSTF) intragastrically for 7 days before focal cerebral ischemia-reperfusion injury models were established using the suture method. The researchers found that scutellaria baicalensis stem-leaf total flavonoids reduced the infarct volume and apoptosis in hippocampal neurons, restored neurological deficits, and improved the integrity of the blood-brain barrier in rats with cerebral ischemia-reperfusion injury. Meanwhile, SSTF increased the expression of the anti-apoptotic protein Bcl-2 and decreased the expression of the pro-apoptotic protein Bax, but could not prevent apoptosis. These findings, published in the Neural Regeneration Research (Vol. 8, No. 34, 2013), exhibit that SSTF may act on multiple areas and pathways to protect rat hippocampal tissue from ischemia-reperfusion injury, and thus may be useful for the clinical prevention and treatment of ischemic brain injury.

Article: " Pretreatment with scutellaria baicalensis stem-leaf total flavonoid prevents cerebral ischemia-reperfusion injury " by Shumin Zhao, Wei Kong, Shufeng Zhang, Meng Chen, Xiaoying Zheng, Xiangyu Kong (Laborbatory of Spinal Cord Injury and Rehabilitation, Chengde Medical College, Chengde 067000, Hebei Province, China)

Zhao SM, Kong W, Zhang SF, Chen M, Zheng XY, Kong XY. Pretreatment with scutellaria baicalensis stem-leaf total flavonoid prevents cerebral ischemia-reperfusion injury. Neural Regen Res . 2013;8(34):3182-3192.

Contact: Meng Zhao
eic@nrren.org
86-138-049-98773
Neural Regeneration Research
http://www.nrronline.org/

Neural Regeneration Research

Keywords

Article Information

Contact Information

Meng Zhao
eic@nrren.org

How to Cite This Article

APA:
Neural Regeneration Research. (2014, March 10). Pretreatment with SSTF prevents hippocampal neuronal apoptosis due to cerebral infarction. Brightsurf News. https://www.brightsurf.com/news/1EKWGP51/pretreatment-with-sstf-prevents-hippocampal-neuronal-apoptosis-due-to-cerebral-infarction.html
MLA:
"Pretreatment with SSTF prevents hippocampal neuronal apoptosis due to cerebral infarction." Brightsurf News, Mar. 10 2014, https://www.brightsurf.com/news/1EKWGP51/pretreatment-with-sstf-prevents-hippocampal-neuronal-apoptosis-due-to-cerebral-infarction.html.