Bluesky Facebook Reddit Email

Identifying the efficacy of treating encephalitis in leukemia therapy

11.11.19 | Korea Brain Research Institute

AmScope B120C-5M Compound Microscope

AmScope B120C-5M Compound Microscope supports teaching labs and QA checks with LED illumination, mechanical stage, and included 5MP camera.


Korea Brain Research Institute (KBRI, President Pann Ghill Suh) said on Nov. 5 that it was able to discover a substance that suppresses encephalitis associated with Alzheimer's dementia.

The findings were published in the October issue of Journal of Neuroinflammation , an international journal, and the authors' names and the title of the paper are as follows.

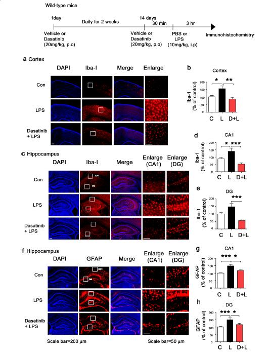
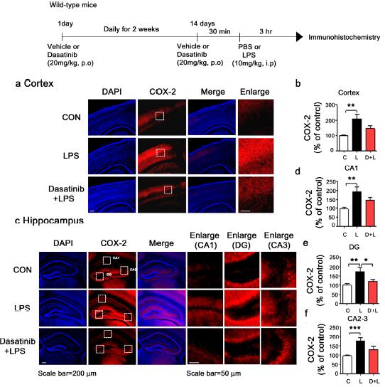
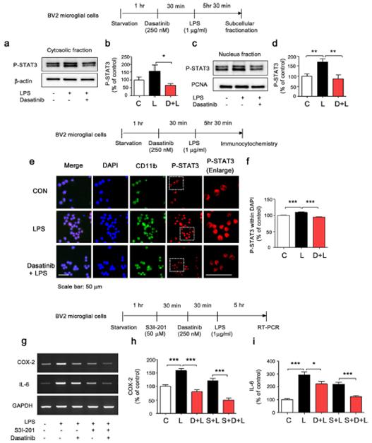
* Paper: Dasatinib regulates LPS-induced microglial and astrocytic neuroinflammatory responses by inhibiting AKT/STAT3 signaling

* Authors: Ka-Young Ryu, Hyun-ju Lee (Co-1st author, KBRI), Hanwoong Woo, Ri-Jin Kang, Kyung-Min Han, HyunHee Park, Sang Min Lee, Ju-Young Lee, Yoo Joo Jeong, Hyun-Wook Nam (co-author, KBRI), Youngpyo Nam (co-corresponding author, KBRI), Hyang-Sook Hoe (corresponding author, KBRI)

There has been a steady stream of reports in the neuroscience community that confirm the fact that encephalitis is deeply associated with degenerative brain diseases such as dementia. As the excessive activation of glial cells* causes nerve damage and memory degeneration, controlling this is a major concern in the treatment of degenerative brain diseases.

* Glial Cell: Cells that support tissues of the central nervous system. According to the form, it is divided into astrocyte and microglia.

A research team administered chronic myelogenous leukemia treatment (Dasatinib) for two weeks in an animal model where encephalitis was induced, and found that both glial cell activity and expression of pro-inflammatory cytokine * decreased.

* Pro-inflammatory cytokine: The agent that causes encephalitis. It is produced primarily by activated macrophage, and is involved in increasing the inflammatory response.

In addition, they found that STAT3* protein signaling, which increase of which has been observed in the blood and brain of patients with Alzheimer's disease, was inhibited in glial cells, thereby inhibiting the encephalitis reaction.

* STAT3: It is a protein that causes autoimmune diseases, and has attracted attention as a therapeutic target of various inflammations.

This research is meaningful in that the KBRI has revealed the efficacy and molecular mechanism by which treatment of leukemia can be used to treat encephalitis through drug repositioning* method.

* Drug Repositioning: A method to find new efficacy by re-evaluating a drug that failed in clinical trial phase due to lack of efficacy or presence of other drugs in the market.

As new targets are set for existing FDA-approved drugs, the use of these drugs in the treatment of inflammatory degenerative brain diseases will significantly reduce the cost and clinical trial time required for development of new drug.

Dr. Hyang-Sook Hoe, a corresponding author of the paper (Head of Research HQ of HBRI) said, "in the follow-up research, we will study the possibility of Dasatinib as a multi-target medicine that can simultaneously control several pathologies of Alzheimer's disease."

###

Journal of Neuroinflammation

Keywords

Article Information

Contact Information

Hyang-Sook Hoe
sookhoe72@kbri.re.kr

How to Cite This Article

APA:
Korea Brain Research Institute. (2019, November 11). Identifying the efficacy of treating encephalitis in leukemia therapy. Brightsurf News. https://www.brightsurf.com/news/1EO3427L/identifying-the-efficacy-of-treating-encephalitis-in-leukemia-therapy.html
MLA:
"Identifying the efficacy of treating encephalitis in leukemia therapy." Brightsurf News, Nov. 11 2019, https://www.brightsurf.com/news/1EO3427L/identifying-the-efficacy-of-treating-encephalitis-in-leukemia-therapy.html.