Bluesky Facebook Reddit Email

Researchers discover how cigarette smoke impairs critical lung immune cells

01.17.25 | Rockefeller University Press

Kestrel 3000 Pocket Weather Meter

Kestrel 3000 Pocket Weather Meter measures wind, temperature, and humidity in real time for site assessments, aviation checks, and safety briefings.


Cigarette smoking is widespread and deadly, yet our understanding of how cigarette smoke actually causes serious respiratory illnesses is incomplete, which has severely hampered the development of effective treatments. Today, Australian researchers reveal how multiple chemicals found in cigarette smoke and e-cigarettes alter the function of a key type of immune cell found in the lungs.

The study, published January 17 in the Journal of Experimental Medicine ( JEM ), suggests that these alterations make cigarette smokers, and those exposed to second- and third-hand smoke, more susceptible to respiratory infections, and worsen smoking-related inflammatory diseases such as chronic obstructive pulmonary disease (COPD).

Cigarette smoking is known to impair the immune system’s response to infections and promote inflammation in the lungs that can lead to or exacerbate COPD, the third leading cause of death worldwide . COPD patients are more susceptible to influenza infections that can, in turn, worsen the underlying disease by increasing airway inflammation and promoting the destruction of the lung’s air sacs. There are currently no effective treatments for COPD.

According to Dr Wael Awad, from Monash University’s Biomedicine Discovery Institute, and first author on the new JEM study, “until now the mechanisms underlying the skewed immune responses in people exposed to cigarette smoke, and how they are related to smoke-associated diseases like COPD, remain unclear.”

Professor Jamie Rossjohn of Monash University’s Biomedicine Discovery Institute co-led the study with Professor David P. Fairlie of the Institute for Molecular Bioscience at University of Queensland, Professor Alexandra J. Corbett of the University of Melbourne, based at the Peter Doherty Institute for Infection and Immunity, and Professor Philip M. Hansbro of the Centenary Institute and University of Technology Sydney.

In their study, the researchers looked at the effects of cigarette smoke on mucosal-associated invariant T (MAIT) cells, a type of immune cell found in the lungs and other tissues of the body. MAIT cells help fight off bacterial and viral infections and can promote inflammation or tissue repair.

MAIT cells are activated by a protein called MR1 that is found in almost every cell of the body. MR1 recognizes chemicals produced by bacteria and presents them at the surface of infected cells in order to activate MAIT cells and initiate an immune response. “While we know that smoke from cigarettes, bushfires, cooking, vehicle exhausts and burning waste pose significant health risks, we still surprisingly know relatively little about how the specific components pf smoke affect our immune system and how they impact multiple parts of the human body,” Professor Fairlie said.

“We suspected that some of the more than 20,000 chemicals present in cigarette smoke that smokers inhale might also bind to MR1 and influence the activity of MAIT cells in the lungs,” Dr Awad said.

The researchers used computer modeling to predict which components of cigarette smoke might be recognized by MR1 and found that several of these molecules not only bound to the protein but also either increased or decreased its amounts on the surface of cells. These chemicals, including benzaldehyde derivatives that are also used as flavorings in cigarettes, e-cigarettes, blocked activation of human MAIT cells by compounds produced by bacteria.

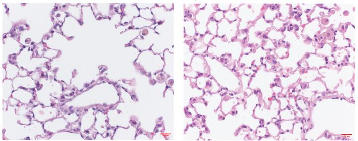
The research team then studied the effects of cigarette smoke on MAIT cells from human blood and mice and showed they reduced MAIT cell function. Mice repeatedly exposed to cigarette smoke developed symptoms of lung disease and this was worsened if also infected by influenza. Researchers found that long-term exposure to cigarette smoke altered the protection provided to mice by their MAIT cells, making them less able to fight off influenza infections and more prone to the development of COPD disease.

“We found that mice lacking MAIT cells were also protected from cigarette smoke–induced COPD, showing reduced levels of lung inflammation and no tissue deterioration in their lung’s air sacs,” Professor Hansbro said.

“This study demonstrates the power of collaboration and the insights we can gain with inter-disciplinary science,” Professor Corbett said.

“Overall, our study reveals that components of cigarette smoke can bind to the protein MR1 and reduce the functions of protective immune cells called MAIT cells. This increases susceptibility to infections worsens progression of lung disease,” Dr Awad said. The researchers now plan to investigate exactly which MAIT cell pathways are impacted by cigarette smoke, in order to learn how to better treat COPD and other lung diseases.

Awad et al., 2025. J. Exp. Med. https://rupress.org/jem/article-lookup/doi/10.1084/jem.20240896?PR

# # #

About Journal of Experimental Medicine

Journal of Experimental Medicine ( JEM ) publishes peer-reviewed research on immunology, cancer biology, stem cell biology, microbial pathogenesis, vascular biology, and neurobiology. All editorial decisions on research manuscripts are made through collaborative consultation between professional scientific editors and the academic editorial board. Established in 1896, JEM is published by Rockefeller University Press, a department of The Rockefeller University in New York. For more information, visit jem.org .

Visit our Newsroom , and sign up for a weekly preview of articles to be published. Embargoed media alerts are for journalists only.

Follow JEM on Bluesky at @jem.org and X/Twitter at @JExpMed .

About the Monash Biomedicine Discovery Institute

Committed to making the discoveries that will relieve the future burden of disease, the Monash Biomedicine Discovery Institute (BDI) at Monash University brings together more than 120 internationally-renowned research teams. Spanning seven discovery programs across Cancer, Cardiovascular Disease, Development and Stem Cells, Infection, Immunity, Metabolism, Diabetes and Obesity, and Neuroscience, Monash BDI is one of the largest biomedical research institutes in Australia. Our researchers are supported by world-class technology and infrastructure, and partner with industry, clinicians and researchers internationally to enhance lives through discovery.

About the Peter Doherty Institute for Infection and Immunity

Finding solutions to prevent, treat and cure infectious diseases and understanding the complexities of the immune system requires innovative approaches and concentrated effort. This is why The University of Melbourne – a world leader in education, teaching and research excellence – and The Royal Melbourne Hospital – an internationally renowned institution providing outstanding care, treatment and medical research – have partnered to create the Peter Doherty Institute for Infection and Immunity (Doherty Institute); a centre of excellence where leading scientists and clinicians collaborate to improve human health globally.

doherty.edu.au /DohertyInstitute @TheDohertyInst #DohertyInstitute

Journal of Experimental Medicine

10.1084/jem.20240896

Experimental study

Animals

Cigarette smoke components modulate the MR1–MAIT axis

17-Jan-2025

L. Liu reported a patent to WO2015149130 licensed “National Institutes of Health (USA) and Immudex (Denmark)” and a patent to WO2014005194 licensed “National Institutes of Health (USA) and Immudex (Denmark).” J.Y.W. Mak reported a patent to WO2015149130A9 issued. J. McCluskey reported a patent to US 10011602B2, PCT/AU2013/000742 issued and a patent to US 10245262 B2 issued; and “MR1-Antigen dextramers are manufactured under a University of Melbourne license by Immudex MR1-Ag tetramers are manufactured and distributed by the NIH Tetramer facility at no cost to investigators.” A.J. Corbett reported a patent to WO2014/005194 and WO2015/ 149130 licensed “NIH Core tetramer facility” and a patent to WO2014/005194 and WO2015/149130 licensed “Immudex.” J. Rossjohn reported a patent to WO/2015/149130 issued and a patent to WO/2014/005194 licensed “Immudex.” No other disclosures were reported.

Keywords

Article Information

Contact Information

Ben Short
Rockefeller University Press
bshort@rockefeller.edu

How to Cite This Article

APA:
Rockefeller University Press. (2025, January 17). Researchers discover how cigarette smoke impairs critical lung immune cells. Brightsurf News. https://www.brightsurf.com/news/1EOJ2Y7L/researchers-discover-how-cigarette-smoke-impairs-critical-lung-immune-cells.html
MLA:
"Researchers discover how cigarette smoke impairs critical lung immune cells." Brightsurf News, Jan. 17 2025, https://www.brightsurf.com/news/1EOJ2Y7L/researchers-discover-how-cigarette-smoke-impairs-critical-lung-immune-cells.html.