Bluesky Facebook Reddit Email

Breakthrough technology leads to life-saving treatment for deadly skin reaction

10.16.24 | Max-Planck-Gesellschaft

Anker Laptop Power Bank 25,000mAh (Triple 100W USB-C)

Anker Laptop Power Bank 25,000mAh (Triple 100W USB-C) keeps Macs, tablets, and meters powered during extended observing runs and remote surveys.


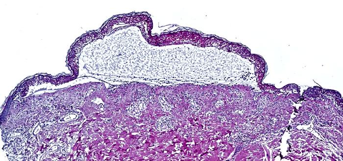
The researchers used spatial proteomics to analyze skin samples from patients with toxic epidermal necrolysis. This cutting-edge approach, known as Deep Visual Proteomics, merges powerful microscopy with AI-driven analysis, laser-guided microdissection and ultimately ultra-high sensitivity mass spectrometry. They zoomed in on individual cells and studied them like never before, creating a map of the thousands of proteins driving this deadly reaction.

Thierry Nordmann, first author, clinician-scientist at the Max Planck Institute of Biochemistry and senior dermatologist at the Ludwig Maximilians Universität München explains: “By applying spatial proteomics to archived patient samples suffering from toxic epidermal necrolysis, we were able to precisely isolate and analyze individual cell types and understand what is actually occurring in the skin of these patients. We identified a striking hyperactivation of the inflammatory JAK/STAT pathway, revealing an opportunity to intervene in this deadly condition with JAK inhibitors, a class of drugs already used to treat other inflammatory conditions, such as atopic dermatitis or rheumatoid arthritis."

Toxic epidermal necrolysis is a rare but extremely severe adverse reaction to common medications, such as allopurinol (which is used to treat gout) or certain antibiotics. It causes widespread blistering and detachment of the skin. With a mortality rate of up to 30 percent, it rapidly transforms from a seemingly harmless rash into a life-threatening condition. Until now, no effective therapy existed, with treatment primarily limited to supportive care.

The team validated their findings across a variety of preclinical studies, including in vitro models and two distinct mouse models . The results were consistent and overwhelmingly positive: JAK inhibitors show real potential in treating this devastating condition. These discoveries were further strengthened by a global collaboration across six countries, demonstrating the power of partnership in solving urgent medical challenges.

In partnership with clinical teams led by Chao Ji at the First Affiliated Hospital of Fujian medical University in China, they administered JAK inhibitors to patients suffering from toxic epidermal necrolysis. Remarkably, all seven patients experienced rapid improvement and full recovery upon treatment.

Lars French, co-corresponding author and Chair of Dermatology at LMU Munich, says: "The new evidence that inhibition of the JAK/STAT pathway has potential to reduce the high mortality of this severe adverse cutaneous drug reaction paves the way for clinical trials aimed at regulatory approval of JAK inhibitors to solve one of the most serious unmet needs in medicine."

While larger clinical trials are needed to confirm the efficacy and safety of JAK inhibitors in toxic epidermal necrolysis, this study provides hope for patients facing this devastating condition. It also opens up new opportunities for drug repurposing and development. The Max Planck Society has filed patent applications together with the Ludwig Maximilian University for the use of JAK inhibitors in treating toxic epidermal necrolysis and related conditions, creating potential for further development.

"Our findings not only open new avenues for treating this reaction, but also highlight the potential of spatial proteomics in driving medical breakthroughs," says Matthias Mann. "To our knowledge, this is the first time a spatial omics technology has made an immediate and tangible impact in the clinic, by identifying a treatment that has already changed people's lives for the good. This approach could be applied to a wide range of diseases, potentially accelerating drug discovery across multiple fields of medicine."

Nature

Experimental study

People

New technology saves the lives of patients with fatal skin reactions

17-Oct-2024

Keywords

Article Information

Contact Information

Christiane Menzfeld
Max Planck Institute of Biochemistry
pr@biochem.mpg.de

Source

How to Cite This Article

APA:
Max-Planck-Gesellschaft. (2024, October 16). Breakthrough technology leads to life-saving treatment for deadly skin reaction. Brightsurf News. https://www.brightsurf.com/news/1EOJGR7L/breakthrough-technology-leads-to-life-saving-treatment-for-deadly-skin-reaction.html
MLA:
"Breakthrough technology leads to life-saving treatment for deadly skin reaction." Brightsurf News, Oct. 16 2024, https://www.brightsurf.com/news/1EOJGR7L/breakthrough-technology-leads-to-life-saving-treatment-for-deadly-skin-reaction.html.