Bluesky Facebook Reddit Email

Acupuncture normalizes brain structure and damaged neurons following heroin relapse

04.09.14 | Neural Regeneration Research

CalDigit TS4 Thunderbolt 4 Dock

CalDigit TS4 Thunderbolt 4 Dock simplifies serious desks with 18 ports for high-speed storage, monitors, and instruments across Mac and PC setups.


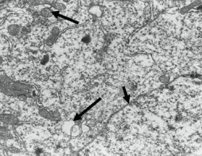
Heroin abuse can damage many brain areas, including the pedunculopontine tegmental nucleus of the midbrain, the ventral tegmental area, and nucleus accumbens. Persistent use of heroin induced irreversible damage to the nervous system. To verify the relationship between acupuncture, neurotrophic factor expression and brain cell structural changes, a research team from Anhui University of Chinese Medicine in China established a rat model of heroin relapse using intramuscular injection of increasing amounts of heroin. During the detoxification period, rat models received acupuncture at Baihui (DU20) and Dazhui (DU14). Rongjun Zhang and co-workers from this team found that the structure of the ventral tegmental area in heroin relapse rats gradually became normalized after acupuncture treatment, and the expression of brain-derived neurotrophic factor and glial cell line-derived neurotrophic factor also increased in the ventral tegmental area following acupuncture. These results, published in the Neural Regeneration Research (Vol. 9, No. 3, 2014), suggested that acupuncture at Baihui and Dazhui protected brain neurons against injury in rats with heroin relapse by promoting brain-derived neurotrophic factor and glial cell line-derived neurotrophic factor expression.

Article: " Normalization of ventral tegmental area structure following acupuncture in a rat model of heroin relapse," by Rongjun Zhang1, Xinghui Cai1, Xiaoge Song1, Chaoyang Dong2, Xiaorong Hou1, Lei Lv1 (1 Anhui University of Chinese Medicine, Hefei, Anhui Province, China; 2 Anhui Academy of Medical Sciences, Hefei, Anhui Province, China)

Zhang RJ, Cai XH, Song XG, Dong CY, Hou XR, Lv L. Normalization of ventral tegmental area structure following acupuncture in a rat model of heroin relapse. Neural Regen Res. 2014;9(3):301-307.

Contact: Meng Zhao
eic@nrren.org
86-138-049-98773
Neural Regeneration Research
http://www.nrronline.org/

Neural Regeneration Research

Keywords

Article Information

Contact Information

Meng Zhao
eic@nrren.org

How to Cite This Article

APA:
Neural Regeneration Research. (2014, April 9). Acupuncture normalizes brain structure and damaged neurons following heroin relapse. Brightsurf News. https://www.brightsurf.com/news/1GNM7QXL/acupuncture-normalizes-brain-structure-and-damaged-neurons-following-heroin-relapse.html
MLA:
"Acupuncture normalizes brain structure and damaged neurons following heroin relapse." Brightsurf News, Apr. 9 2014, https://www.brightsurf.com/news/1GNM7QXL/acupuncture-normalizes-brain-structure-and-damaged-neurons-following-heroin-relapse.html.