Bluesky Facebook Reddit Email

Lung damage may persist long after COVID-19 pneumonia

03.29.22 | Radiological Society of North America

CalDigit TS4 Thunderbolt 4 Dock

CalDigit TS4 Thunderbolt 4 Dock simplifies serious desks with 18 ports for high-speed storage, monitors, and instruments across Mac and PC setups.


OAK BROOK, Ill. (March 29, 2022) – Some people recovering from COVID-19 pneumonia have CT evidence of damage to their lungs that persists a full year after the onset of symptoms, according to a new study published in the journal Radiology .

The COVID-19 pandemic, caused by the novel severe acute respiratory syndrome coronavirus type 2 (SARS-CoV-2), has considerably increased the demand for acute and post-acute healthcare worldwide.

COVID-19’s short-term effects on the lungs, such as pneumonia, are well documented. Much less is known about the illness’ long-term effects on the lungs.

As part of an Austria-based observational study on the development of lung disease in patients with SARS-CoV-2 infection, researchers looked at patterns and rates of improvement of chest CT abnormalities in patients one year after COVID-19 pneumonia. CT has been an important imaging tool in the workup of patients suspected of having COVID-19.

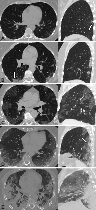
The researchers assessed lung abnormalities on chest CT in 91 participants, mean age 59 years, at several points over one year after the onset of COVID-19 symptoms.

At one year, CT abnormalities were present in 49, or 54%, of the 91 participants. Of these 49 participants, two (4%) had received outpatient treatment only, while 25 (51%) were treated on a general hospital ward and 22 (45%) had received intensive care unit (ICU) treatment.

“The observed chest CT abnormalities from our study are indicative of damaged lung tissue,” said study co-author Anna Luger, M.D., from the Department of Radiology at Innsbruck Medical University in Innsbruck, Austria. “However, it is currently unclear if they represent persistent scarring, and whether they regress over time or lead to pulmonary fibrosis.”

While CT abnormalities decreased in initial follow-ups, 63% of participants with abnormalities did not show any further improvement after six months. Age over 60 years, critical COVID-19 severity and male gender were associated with persistent CT abnormalities at one year.

Evidence from the SARS-CoV-1 outbreak of 2002 to 2004 shows that lung abnormalities may remain detectable even after decades, but do not show any progression, according to study co-author Leonhard Gruber, M.D., from the Department of Radiology at Innsbruck Medical University. Recent studies, though, have shown a risk of progression of lung abnormalities such as the ones depicted on CT.

“In a recently published clinical study of our CovILD interdisciplinary working group, we were able to show that the severity of acute COVID-19, protracted systemic inflammation and the presence of residual chest CT abnormalities are strongly related to persistently impaired lung function and clinical symptoms,” said study co-author Christoph Schwabl, M.D., from Innsbruck Medical University.

The study underscores radiology’s role in helping identify patients at risk for post-COVID-19 consequences and assisting in COVID-19 follow-up management.

“In the end, long-term follow-up, both clinical and radiological, is necessary to gather more information about the course and clinical role of persisting SARS-CoV-2 related chest CT abnormalities,” said study senior author Gerlig Widmann, M.D., chief thoracic radiologist at Innsbruck Medical University.

The researchers intend to continue gathering data on patients with persistent CT abnormalities.

###

“Chest CT of Lung Injury 1 Year after COVID-19 Pneumonia: The CovILD Study.” Also collaborating on the study were Thomas Sonnweber, Katharina Cima, Piotr Tymoszuk, Anna K. Gerstner, Alex Pizzini, Sabina Sahanic, Anna Boehm, Maximilian Coen, Carola J. Strolz, Ewald Wöll, Günter Weiss, Rudolf Kirchmair, Gudrun M. Feuchtner, M.D., Helmut Prosch, M.D., Ivan Tancevski, and Judith Löffler-Ragg.

Radiology is edited by David A. Bluemke, M.D., Ph.D., University of Wisconsin School of Medicine and Public Health, Madison, Wisconsin, and owned and published by the Radiological Society of North America, Inc. ( https://pubs.rsna.org/journal/radiology )

RSNA is an association of radiologists, radiation oncologists, medical physicists and related scientists promoting excellence in patient care and health care delivery through education, research and technologic innovation. The Society is based in Oak Brook, Illinois. ( RSNA.org )

For patient-friendly information on CT, visit RadiologyInfo.org .

Radiology

People

Chest CT of Lung Injury 1 Year after COVID-19 Pneumonia: The CovILD Study

29-Mar-2022

Keywords

Article Information

Contact Information

Linda Brooks
Radiological Society of North America
lbrooks@rsna.org

How to Cite This Article

APA:
Radiological Society of North America. (2022, March 29). Lung damage may persist long after COVID-19 pneumonia. Brightsurf News. https://www.brightsurf.com/news/1GR3Z7E8/lung-damage-may-persist-long-after-covid-19-pneumonia.html
MLA:
"Lung damage may persist long after COVID-19 pneumonia." Brightsurf News, Mar. 29 2022, https://www.brightsurf.com/news/1GR3Z7E8/lung-damage-may-persist-long-after-covid-19-pneumonia.html.