Bluesky Facebook Reddit Email

NIH study finds that immunotherapy substantially increases survival of people with lymphomatoid granulomatosis

04.04.23 | NIH/National Cancer Institute

SAMSUNG T9 Portable SSD 2TB

SAMSUNG T9 Portable SSD 2TB transfers large imagery and model outputs quickly between field laptops, lab workstations, and secure archives.


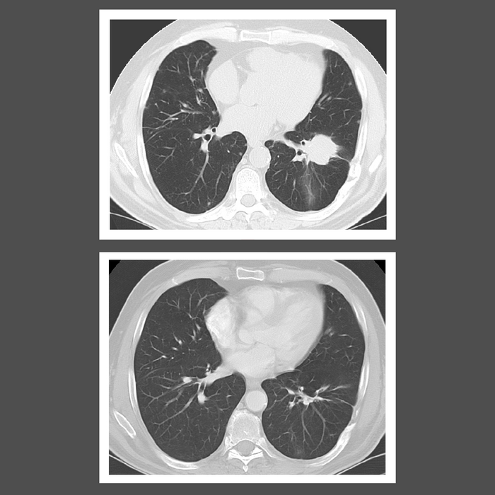
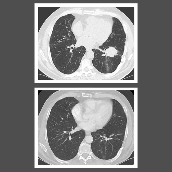
Results from a clinical trial conducted by researchers at the National Institutes of Health (NIH) show that people with low-grade lymphomatoid granulomatosis who are treated with interferon alfa-2b, a type of immunotherapy, can live for decades after diagnosis . Lymphomatoid granulomatosis is a rare precancerous condition triggered by Epstein-Barr virus infection. Left untreated, the disease can progress to a high-grade form, which has a poorer prognosis and can quickly turn into an aggressive and fatal B-cell lymphoma.

In the phase 2 trial, led by researchers in the Center for Cancer Research at the National Cancer Institute (NCI), part of NIH, patients treated with interferon alfa-2b lived for a median of about 20 years. By contrast, past studies reported a median survival of less than two years for people with lymphomatoid granulomatosis.

The findings suggest that immunotherapy can prevent the progression of low-grade disease to high-grade disease. The results were published March 31, 2023, in Lancet Haematology .

“We have shown in this rare disorder that using a novel immunotherapy-based approach for low-grade disease is effective and improves survival compared with historical treatments such as chemotherapy and corticosteroids,” said Christopher J. Melani, M.D., of NCI’s Center for Cancer Research, who co-led the study. “I think the results of this study represent a significant contribution to determining the standard-of-care treatment for this rare disease.”

Lymphomatoid granulomatosis causes an overproduction of white blood cells known as B lymphocytes. Patients typically have lesions in the lungs, central nervous system, skin, liver, and kidneys. Symptoms can include cough, shortness of breath, fever, weight loss, and fatigue. Chemotherapy is currently the standard treatment for people with high-grade disease, but there is no standard treatment for low-grade disease.

“Although lymphomatoid granulomatosis is uncommon, the effects of high-grade disease can be debilitating,” said Jeffrey Cohen, M.D., chief of the Laboratory of Infectious Diseases at the National Institute of Allergy and Infectious Diseases and a co-leader of the study. “We need better ways to prevent the disease from progressing to this more severe state, such as interferon alfa-2b.”

NIH researchers have been studying lymphomatoid granulomatosis since the 1980s. In the early 1990s, Wyndham Wilson, M.D., Ph.D., also of NCI’s Center for Cancer Research, hypothesized that low-grade disease results from a defective immune response to the Epstein-Barr virus and could therefore be treated with immunotherapy, whereas high-grade disease requires chemotherapy to curb uncontrolled cell growth.

He and his colleagues treated four people with low-grade lymphomatoid granulomatosis with interferon alfa-2b over a 5-year period, and the treatment eradicated all signs of the disease in three of those patients, known as a complete remission. That study laid the foundation for the phase 2 trial of interferon alfa-2b in lymphomatoid granulomatosis, which has taken 30 years to complete because of the rarity of the disease and the challenges of recruiting enough patients for the study.

“This really illustrates the unique ability of NIH to do a study like this that nobody else could do and no one else ever has done for this particular disease,” said Dr. Wilson, who co-led the study.

The trial included 67 people with lymphomatoid granulomatosis, 37 with low-grade disease and 30 with high-grade disease. In all cases, the participants had not yet been treated for the disease or their disease had not responded to or had returned after other treatments.

During their initial treatment, most of the patients with low-grade disease received subcutaneous injections of interferon alfa-2b three times a week in increasing doses for about one year. Most of the patients with high-grade disease were given six cycles of intravenous chemotherapy every three weeks.

Both groups improved, with the disease disappearing in 27 of 44 patients (61%) treated with interferon alfa-2b, and 8 of 17 patients (47%) treated with chemotherapy.

After their initial treatment, some patients subsequently received the other therapy, called crossover treatment. Patients with low-grade disease that worsened after immunotherapy were given chemotherapy, whereas patients with high-grade disease that came back after chemotherapy were given interferon alfa-2b. Previous work showed that after high-grade disease is eliminated with chemotherapy, low-grade disease can re-emerge.

The crossover treatments were also effective, with the disease disappearing in 4 of 8 patients (50%) treated with interferon alfa-2b after chemotherapy and 7 of 15 patients (47%) treated with chemotherapy after interferon alfa-2b.

Median overall survival was 20.6 years for patients treated initially with interferon alfa-2b and 19.8 years for patients who crossed over to receive interferon alfa-2b. Median overall survival was 12.1 years for patients treated initially with chemotherapy and not reached for those who crossed over to receive chemotherapy.

The most common side effect of interferon alfa-2b treatment was low white blood cell count, and the most common side effects with chemotherapy were low white blood cell count and infection. Serious side effects occurred in only a quarter of the patients treated with interferon alfa-2b, compared with nearly two-thirds of patients treated with chemotherapy.

Many newer immunotherapies, such as nivolumab , could potentially be used to treat low-grade lymphomatoid granulomatosis and other Epstein-Barr virus–associated disorders and may have fewer side effects.

“The trial of interferon alfa-2b established that immunotherapy improves survival in patients with low-grade lymphomatoid granulomatosis,” Dr. Melani said. “Now we can look into more novel immunotherapies that are easier to tolerate to see if they can improve on the efficacy of our current treatment.”

The study was funded by the intramural research programs of NCI and the National Institute of Allergy and Infectious Diseases.

###

About the National Cancer Institute (NCI): NCI leads the National Cancer Program and NIH’s efforts to dramatically reduce the prevalence of cancer and improve the lives of people with cancer. NCI supports a wide range of cancer research and training extramurally through grants and contracts. NCI’s intramural research program conducts innovative, transdisciplinary basic, translational, clinical, and epidemiological research on the causes of cancer, avenues for prevention, risk prediction, early detection, and treatment, including research at the NIH Clinical Center—the world’s largest research hospital. Learn more about the intramural research done in NCI’s Center for Cancer Research . For more information about cancer, please visit the NCI website at cancer.gov or call NCI’s contact center at 1-800-4-CANCER (1-800-422-6237).

About the National Institutes of Health (NIH): NIH, the nation's medical research agency, includes 27 Institutes and Centers and is a component of the U.S. Department of Health and Human Services. NIH is the primary federal agency conducting and supporting basic, clinical, and translational medical research, and is investigating the causes, treatments, and cures for both common and rare diseases. For more information about NIH and its programs, visit nih.gov .

The Lancet

10.1016/S2352-3026(23)00029-7

Randomized controlled/clinical trial

People

Interferon alfa-2b in patients with low-grade lymphomatoid granulomatosis and chemotherapy with DA-EPOCH-R in patients with high-grade lymphomatoid granulomatosis: an open-label, single-centre, phase 2 trial

4-Apr-2023

Keywords

Article Information

Contact Information

NCI Press Office
NIH/National Cancer Institute
ncipressofficers@mail.nih.gov

How to Cite This Article

APA:
NIH/National Cancer Institute. (2023, April 4). NIH study finds that immunotherapy substantially increases survival of people with lymphomatoid granulomatosis. Brightsurf News. https://www.brightsurf.com/news/1WRMKMZL/nih-study-finds-that-immunotherapy-substantially-increases-survival-of-people-with-lymphomatoid-granulomatosis.html
MLA:
"NIH study finds that immunotherapy substantially increases survival of people with lymphomatoid granulomatosis." Brightsurf News, Apr. 4 2023, https://www.brightsurf.com/news/1WRMKMZL/nih-study-finds-that-immunotherapy-substantially-increases-survival-of-people-with-lymphomatoid-granulomatosis.html.