Bluesky Facebook Reddit Email

Researchers identify human skeletal stem cells

09.20.18 | Cell Press

SAMSUNG T9 Portable SSD 2TB

SAMSUNG T9 Portable SSD 2TB transfers large imagery and model outputs quickly between field laptops, lab workstations, and secure archives.


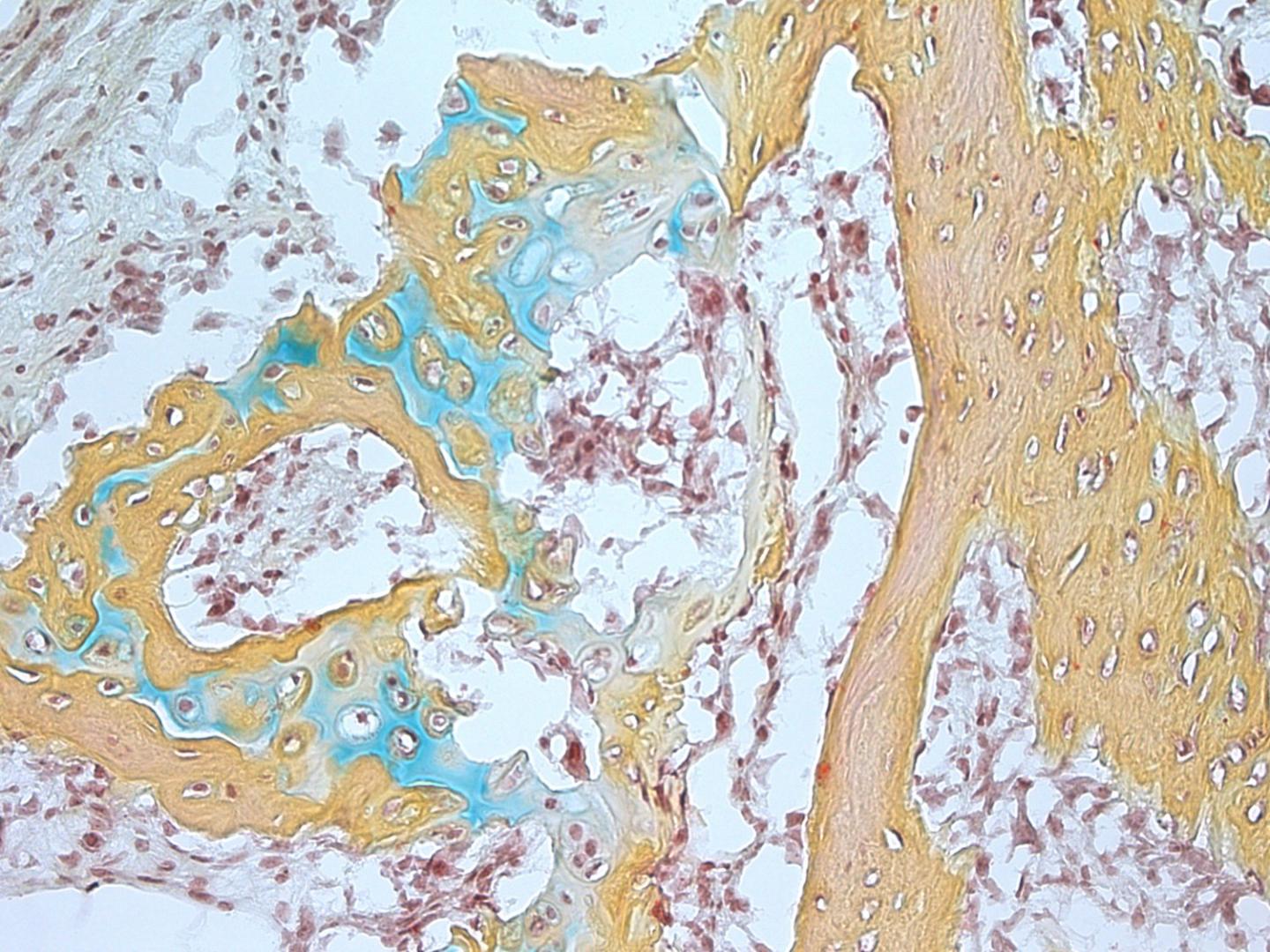
Human skeletal stem cells that become bone, cartilage, or stroma cells have been isolated from fetal and adult bones. This is the first time that skeletal stem cells, which had been observed in rodent models, have been identified in humans. The researchers were also able to derive the skeletal stem cells from human induced pluripotent stem cells, opening up new therapeutic possibilities. The discovery appears September 20 in the journal Cell .

"Given the tremendous medical burden imposed by degenerative, neoplastic, post-traumatic, and post-surgical skeletal disorders, we believe that identifying this human skeletal stem cell and elucidating its lineage map will enable the molecular diagnosis and treatment of skeletal diseases," says senior study author Michael Longaker of Stanford University School of Medicine.

Skeletal tissues such as bone possess exceptional regenerative potential. Bone defects heal readily, and some vertebrates can regenerate entire portions of their limbs. But the regenerative capacities of skeletal tissues in other vertebrates are more restricted. For example, bones in mice and humans can recover from small- to moderate-sized defects, but adult cartilage tissues possess little to no regenerative ability. In addition, both mice and humans display severe age-related degeneration of skeletal tissues over time.

Skeletal dysfunction can lead to a broad spectrum of health conditions ranging from age-related diseases such as osteoporosis and osteoarthritis to non-healing skeletal injury, blood disorders, and even cancer. Despite its significant impact on health and disease, treatment options aimed at improving skeletal function are currently limited. One major hurdle is that stem cell regulation in the human skeletal system remains largely unexplored.

In the new study, Longaker and his collaborators addressed this gap in knowledge by identifying and characterizing human skeletal stem cells and downstream bone and cartilage progeny in a variety of tissues. These self-renewing and multipotent cells were present in both fetal and adult human bone marrow tissues and could be derived from induced pluripotent stem cells (iPSCs). By defining the relationships between human skeletal stem cells and downstream skeletal progenitors, the researchers created a detailed lineage map of stem-cell-mediated formation of skeletal tissues in humans.

Moreover, transcriptomic and epigenetic comparisons with mouse skeletal stem cells revealed evolutionarily conserved pathways regulating the stem-cell-mediated formation of skeletal tissues, as well as divergent molecular pathways that may regulate species-specific differences in bone development and skeletal structure.

"By comparing the molecular and functional differences in specific types of stem cells between different species of vertebrates, it may be possible to uncover convergent and divergent mechanisms that underlie tissue growth and regeneration and apply this understanding towards enhancing health and rejuvenation in humans," says first author Charles Chan of the Stanford University School of Medicine.

###

This study was supported by the National Institutes of Health, CIRM, the Oak Foundation, the Hagey Laboratory, the Gunn/Olivier Research Fund, a Siebel Fellowship, a PCF YI Award, Stinehart/Reed, an HHMI Fellowship, and Deutsche Forschungsgemeinschaft. A patent is pending for the isolation, derivation, and use of human skeletal stem cells and downstream skeletal progenitors.

Cell , Chan and Longaker et al.: "Identification of the Human Skeletal Stem Cell" https://www.cell.com/cell/fulltext/S0092-8674(18)30956-5

Cell ( @CellCellPress ), the flagship journal of Cell Press, is a bimonthly journal that publishes findings of unusual significance in any area of experimental biology, including but not limited to cell biology, molecular biology, neuroscience, immunology, virology and microbiology, cancer, human genetics, systems biology, signaling, and disease mechanisms and therapeutics. Visit: http://www.cell.com/cell . To receive Cell Press media alerts, contact press@cell.com .

Cell

10.1016/j.cell.2018.07.029

Keywords

Article Information

Contact Information

Carly Britton
press@cell.com

How to Cite This Article

APA:
Cell Press. (2018, September 20). Researchers identify human skeletal stem cells. Brightsurf News. https://www.brightsurf.com/news/1WW0JG91/researchers-identify-human-skeletal-stem-cells.html
MLA:
"Researchers identify human skeletal stem cells." Brightsurf News, Sep. 20 2018, https://www.brightsurf.com/news/1WW0JG91/researchers-identify-human-skeletal-stem-cells.html.