Bluesky Facebook Reddit Email

On the trail of a targeted therapy for blood cancers

10.10.08 | Indiana University

Fluke 87V Industrial Digital Multimeter

Fluke 87V Industrial Digital Multimeter is a trusted meter for precise measurements during instrument integration, repairs, and field diagnostics.


INDIANAPOLIS – Investigators from the Herman B Wells Center for Pediatric Research at the Indiana University School of Medicine are focusing on a family of blood proteins that they hope holds a key to decreasing the toxic effects of chemotherapy in children and adults.

Their findings may one day help in the development of targeted therapies for leukemia, multiple myeloma and other cancers of the blood.

The researchers, led by Kristin T. Chun, Ph.D., assistant professor of pediatrics and of biochemistry and molecular biology, studied how the cullin family of proteins affects the degradation of proteins that control the development of blood cells. Their work was published in the July 15 issue of Blood , the journal of the American Society of Hematology.

The cullin family of proteins is involved in the degradation of proteins that control a myriad of cell functions, including those that determine whether a blood cell will eventually develop into a mature blood cell, will divide, or will undergo programmed cell death.

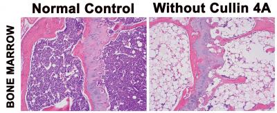
"How cullin 4A regulates other proteins that control the fate of blood cells is important because when cullin 4A fails to regulate their degradation properly, blood cells die and this leads to bone marrow failure. There are many reasons why this is significant." said Dr. Chun. "For example, when blood cells make wrong decisions the result can be a lack of a sufficient number of certain types of mature blood cells causing leukemia, anemia, or bone marrow failure."

Working with mice which had been genetically engineered to lack cullin 4A, the researchers found that within less than two weeks all blood cells disappeared because without this cullin, no new blood cells were being made.

"Our work is the first to show an effect in all blood cells and establishes that Cul4A is essential for the survival of blood cells and possibly other cells including cells of the intestine. It's still early in the scientific process but we know this protein is involved in many cellular pathways in the body. If we can learn about the pathway this protein takes, we may be able to develop targeted drug therapies that are better at attacking diseased blood cells and avoiding healthy ones," said Dr. Chun, who is a member of the IU Melvin and Bren Simon Cancer Center.

Co-authors of the study, which was funded by the IU School of Medicine, Riley Children's Foundation and the National Institute of Diabetes and Digestive and Kidney Diseases, are David L. Waning Ph.D., who is the study's first author, Binghui Li M.D., Ph.D., Nan Jia, M.S., Yahaira Naaldijk, M.S. and W. Scott Goebel, M.D., Ph.D. of the Indiana University School of Medicine and Harm Hogen Esch D.V.M., Ph.D. of Purdue University.

The Herman B Wells Center for Pediatric Research conducts basic science and translational research within the Department of Pediatrics at the IU School of Medicine. The Wells Center is affiliated with Riley Hospital for Children and Riley Children's Foundation.

Note to editors: Graphics available upon request.

Blood

Keywords

Article Information

Contact Information

Cindy Aisen
Indiana University
m_838_276_caisen@iupui.edu

How to Cite This Article

APA:
Indiana University. (2008, October 10). On the trail of a targeted therapy for blood cancers. Brightsurf News. https://www.brightsurf.com/news/1ZK5JN51/on-the-trail-of-a-targeted-therapy-for-blood-cancers.html
MLA:
"On the trail of a targeted therapy for blood cancers." Brightsurf News, Oct. 10 2008, https://www.brightsurf.com/news/1ZK5JN51/on-the-trail-of-a-targeted-therapy-for-blood-cancers.html.