Bluesky Facebook Reddit Email

UCLA scientists identify a new way to activate stem cells to make hair grow

08.14.17 | University of California - Los Angeles Health Sciences

Garmin GPSMAP 67i with inReach

Garmin GPSMAP 67i with inReach provides rugged GNSS navigation, satellite messaging, and SOS for backcountry geology and climate field teams.


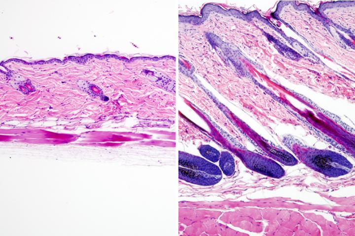
UCLA researchers have discovered a new way to activate the stem cells in the hair follicle to make hair grow. The research, led by scientists Heather Christofk and William Lowry, may lead to new drugs that could promote hair growth for people with baldness or alopecia, which is hair loss associated with such factors as hormonal imbalance, stress, aging or chemotherapy treatment.

The research was published in the journal Nature Cell Biology .

Hair follicle stem cells are long-lived cells in the hair follicle; they are present in the skin and produce hair throughout a person's lifetime. They are "quiescent," meaning they are normally inactive, but they quickly activate during a new hair cycle, which is when new hair growth occurs. The quiescence of hair follicle stem cells is regulated by many factors. In certain cases they fail to activate, which is what causes hair loss.

In this study, Christofk and Lowry, of Eli and Edythe Broad Center of Regenerative Medicine and Stem Cell Research at UCLA, found that hair follicle stem cell metabolism is different from other cells of the skin. Cellular metabolism involves the breakdown of the nutrients needed for cells to divide, make energy and respond to their environment. The process of metabolism uses enzymes that alter these nutrients to produce "metabolites." As hair follicle stem cells consume the nutrient glucose -- a form of sugar -- from the bloodstream, they process the glucose to eventually produce a metabolite called pyruvate. The cells then can either send pyruvate to their mitochondria -- the part of the cell that creates energy -- or can convert pyruvate into another metabolite called lactate.

"Our observations about hair follicle stem cell metabolism prompted us to examine whether genetically diminishing the entry of pyruvate into the mitochondria would force hair follicle stem cells to make more lactate, and if that would activate the cells and grow hair more quickly," said Christofk, an associate professor of biological chemistry and molecular and medical pharmacology.

The research team first blocked the production of lactate genetically in mice and showed that this prevented hair follicle stem cell activation. Conversely, in collaboration with the Rutter lab at University of Utah, they increased lactate production genetically in the mice and this accelerated hair follicle stem cell activation, increasing the hair cycle.

"Before this, no one knew that increasing or decreasing the lactate would have an effect on hair follicle stem cells," said Lowry, a professor of molecular, cell and developmental biology. "Once we saw how altering lactate production in the mice influenced hair growth, it led us to look for potential drugs that could be applied to the skin and have the same effect."

The team identified two drugs that, when applied to the skin of mice, influenced hair follicle stem cells in distinct ways to promote lactate production. The first drug, called RCGD423, activates a cellular signaling pathway called JAK-Stat, which transmits information from outside the cell to the nucleus of the cell. The research showed that JAK-Stat activation leads to the increased production of lactate and this in turn drives hair follicle stem cell activation and quicker hair growth. The other drug, called UK5099, blocks pyruvate from entering the mitochondria, which forces the production of lactate in the hair follicle stem cells and accelerates hair growth in mice.

"Through this study, we gained a lot of interesting insight into new ways to activate stem cells," said Aimee Flores, a predoctoral trainee in Lowry's lab and first author of the study. "The idea of using drugs to stimulate hair growth through hair follicle stem cells is very promising given how many millions of people, both men and women, deal with hair loss. I think we've only just begun to understand the critical role metabolism plays in hair growth and stem cells in general; I'm looking forward to the potential application of these new findings for hair loss and beyond."

The use of RCGD423 to promote hair growth is covered by a provisional patent application filed by the UCLA Technology Development Group on behalf of UC Regents. The use of UK5099 to promote hair growth is covered by a separate provisional patent filed by the UCLA Technology Development Group on behalf of UC Regents, with Lowry and Christofk as inventors.

The experimental drugs described above were used in preclinical tests only and have not been tested in humans or approved by the Food and Drug Administration as safe and effective for use in humans.

###

The research was supported by the California Institute for Regenerative Medicine training grant, a New Idea Award from the Leukemia Lymphoma Society, the National Cancer Institute (R25T CA098010), the National Institute of General Medical Sciences (R01-GM081686 and R01-GM0866465), the National Institutes of Health (RO1GM094232), an American Cancer Society Research Scholar Grant (RSG-16-111-01-MPC), the National Institute of Arthritis and Musculoskeletal and Skin Diseases (5R01AR57409), a Rose Hills Foundation Research Award and the Gaba Fund; the Rose Hills award and the Gaba Fund are administered through the UCLA Broad Stem Cell Research Center.

Further research on the use of UK5099 is being funded by the UCLA Technology Development Group through funds from California State Assembly Bill 2664.

Nature Cell Biology

10.1038/ncb3575

Keywords

Article Information

Contact Information

Tiare Dunlap
University of California - Los Angeles Health Sciences
tdunlap@mednet.ucla.edu

Source

How to Cite This Article

APA:
University of California - Los Angeles Health Sciences. (2017, August 14). UCLA scientists identify a new way to activate stem cells to make hair grow. Brightsurf News. https://www.brightsurf.com/news/1ZK9RN51/ucla-scientists-identify-a-new-way-to-activate-stem-cells-to-make-hair-grow.html
MLA:
"UCLA scientists identify a new way to activate stem cells to make hair grow." Brightsurf News, Aug. 14 2017, https://www.brightsurf.com/news/1ZK9RN51/ucla-scientists-identify-a-new-way-to-activate-stem-cells-to-make-hair-grow.html.