Bluesky Facebook Reddit Email

Researchers hone in on when, where Zika virus attacks

03.09.17 | Oregon Health & Science University

Nikon Monarch 5 8x42 Binoculars

Nikon Monarch 5 8x42 Binoculars deliver bright, sharp views for wildlife surveys, eclipse chases, and quick star-field scans at dark sites.


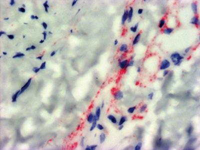
PORTLAND, Ore. - The Zika virus attacks tissues in the nervous system, male and female reproductive and urinary tracts, muscles, joints and lymph nodes, and persists for at least 35 days, according to a study conducted in a nonhuman primate model by a multidisciplinary team of researchers at OHSU in Portland, Oregon.

The research, published today in Public Library of Science Pathogens , furthers understanding of where and at what precise point in time the virus attacks.

"This study helps us better understand how the virus manifests itself so that scientists can develop therapies and vaccines that could work in humans," says study author Daniel Streblow, Ph.D., associate professor of molecular microbiology and immunology in the OHSU Vaccine and Gene Therapy Institute, OHSU School of Medicine. "What is different about this research is that we also were able to look at specific points in time to see where the virus grew in the tissues, not just the blood, so we can identify and target the reservoirs where the virus hides."

The study showed the wide -- and persistent -- distribution of Zika virus in tissues, including neuronal tissues and the female reproductive tract, that may have important implications for the link between Zika virus and Guillain-Barré syndrome, sexual transmission of the virus and fetal infection and its consequences, most notably microcephaly.

Researchers examined Zika virus infection in seven nonhuman primates (rhesus macaques) at the Oregon National Primate Research Center from March 2016 to August 2016 using a 2015 Puerto Rican Zika virus isolate. The results complement and extend previous work with a detailed analysis of viral tropism -- the cells and tissues of a host that support growth of a particular virus -- in the infected animals at seven, 28 and 35 days post infection.

"We observed that the Zika virus targets a number of neuronal, lymph, joint, muscle and genital/urinary/reproductive tissues at seven days post infection, accompanied by a rash, fever and conjunctivitis, or pink eye, similar to the clinical symptoms described in human infection," says first author Alec Hirsch, Ph.D., assistant professor of molecular microbiology and immunology, OHSU Vaccine and Gene Therapy Institute, OHSU School of Medicine.

Researchers note that what was interesting about this study was that the virus remained persistent in the genital/urinary tract, multiple types of lymph nodes, spleen, joints, heart and the male and female reproductive tract at 28 and 35 days post infection.

These findings also correspond to a similar observation of Zika virus RNA in the genital tract of a human female, and may also explain an instance of female-to-male sexual transmission. In male rhesus macaques, researchers were unable to detect viral RNA in the testes, which was somewhat surprising given the reports of male-to-female Zika virus sexual transmission. They were, however, able to detect viral RNA in the prostate and seminal vesicles, which could be a potential reservoir and mode of sexual transmission. Additionally, the presence of virus in the bladder and urine suggests virus seeding into the semen in the urethra may also be a possible route of transmission. The team notes that further intensive study with regard to sexual transmission is needed.

"Our study significantly advances what is known about the growth of the virus in the host during the early stages and through more than a month post infection, aspects of Zika virus infection not examined by previous nonhuman primate studies," says Streblow.

The OHSU scientists who conducted this study came together in response to the outbreak of Zika virus in the Western hemisphere and the need to understand how the virus was attacking the body. The research team quickly grew to a 20-person cross-section of faculty across the university with expertise in reproductive and developmental science, flaviviruses, vaccine development, immunology, perinatology, pediatric neural development, microcephaly, Guillain-Barré syndrome, placental function, virology and infectious disease.

###

The research was funded as a pilot project by the Oregon National Primate Research Center.

About OHSU

Oregon Health & Science University is a nationally prominent research university and Oregon's only public academic health center. It serves patients throughout the region with a Level 1 trauma center and nationally recognized Doernbecher Children's Hospital. OHSU operates dental, medical, nursing and pharmacy schools that rank high both in research funding and in meeting the university's social mission. OHSU's Knight Cancer Institute helped pioneer personalized medicine through a discovery that identified how to shut down cells that enable cancer to grow without harming healthy ones. OHSU Brain Institute scientists are nationally recognized for discoveries that have led to a better understanding of Alzheimer's disease and new treatments for Parkinson's disease, multiple sclerosis and stroke. OHSU's Casey Eye Institute is a global leader in ophthalmic imaging, and in clinical trials related to eye disease.

About ONPRC

The Oregon National Primate Research Center is one of the seven National Primate Research Centers supported by NIH. ONPRC is a registered research institution, inspected regularly by the United States Department of Agriculture. It operates in compliance with the Animal Welfare Act and has an assurance of regulatory compliance on file with the National Institutes of Health. The ONPRC also participates in the voluntary accreditation program overseen by the Association for Assessment and Accreditation of Laboratory Animal Care International (AAALAC).

About the Vaccine and Gene Therapy Institute

The Vaccine and Gene Therapy Institute was established in March 2001. The overall mission of the VGTI is to respond to the increasingly serious infectious disease threats facing the people of Oregon, the United States and the world as a whole, including AIDS, chronic viral infection-associated diseases, newly emerging viral diseases, and infectious diseases of the elderly. Vaccine development and the development of novel immune and gene therapeutic approaches to these diseases are the major priorities of the faculty.

Publication Library and Information Science

Keywords

Article Information

Contact Information

Ariane Le Chevallier
Oregon Health & Science University
holma@ohsu.edu

Source

Original Source

How to Cite This Article

APA:
Oregon Health & Science University. (2017, March 9). Researchers hone in on when, where Zika virus attacks. Brightsurf News. https://www.brightsurf.com/news/1ZKDYKR1/researchers-hone-in-on-when-where-zika-virus-attacks.html
MLA:
"Researchers hone in on when, where Zika virus attacks." Brightsurf News, Mar. 9 2017, https://www.brightsurf.com/news/1ZKDYKR1/researchers-hone-in-on-when-where-zika-virus-attacks.html.