Bluesky Facebook Reddit Email

EMBL picture release: Developing zebrafish patchwork

06.15.10 | European Molecular Biology Laboratory

Sony Alpha a7 IV (Body Only)

Sony Alpha a7 IV (Body Only) delivers reliable low-light performance and rugged build for astrophotography, lab documentation, and field expeditions.


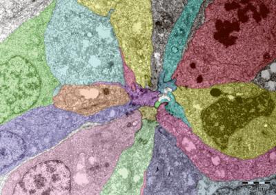
Using an electron microscope, scientists at EMBL captured this snapshot of the beginnings of an organ which plays a central role in how zebrafish perceive the world around them.

This image may bring to mind a patchwork quilt, or a picture taken from a gallery of abstract paintings, but the artisan behind it is actually Mother Nature, with a little help from scientists at the European Molecular Biology Laboratory (EMBL) in Heidelberg, Germany. Using an electron microscope, Virginie Lecaudey in Darren Gilmour's group at EMBL captured this snapshot of the beginnings of an organ which plays a central role in how zebrafish perceive the world around them – the lateral line.

Named after its position on the flanks of adult fish, the lateral line is a series of sensory organs through which most fish detect vibrations in the water, helping them to detect predators or prey, for example. As a zebrafish embryo develops, the cells that will form its lateral line have to become pointed at one end and arrange themselves around a central, unchanged cell, like cloves in a bulb of garlic, forming a rosette. This microscopy image shows one such rosette, magnified approximately 10 000 times.

The EMBL scientists discovered that if the cells can't change shape to form rosettes, they don't migrate properly along the embryo's sides, and the lateral line doesn't develop. "Surprisingly, we also found that this change in cell shape is triggered by a molecular signal that's known to have the opposite effect in other situations" Gilmour says: "activating this same signal in a developing chick, for instance, leads to a completely different picture."

Development

Keywords

Article Information

Contact Information

Source

How to Cite This Article

APA:
European Molecular Biology Laboratory. (2010, June 15). EMBL picture release: Developing zebrafish patchwork. Brightsurf News. https://www.brightsurf.com/news/1ZKQJGN1/embl-picture-release-developing-zebrafish-patchwork.html
MLA:
"EMBL picture release: Developing zebrafish patchwork." Brightsurf News, Jun. 15 2010, https://www.brightsurf.com/news/1ZKQJGN1/embl-picture-release-developing-zebrafish-patchwork.html.