Bluesky Facebook Reddit Email

A beneficial suicide

01.10.07 | Max-Planck-Gesellschaft

SAMSUNG T9 Portable SSD 2TB

SAMSUNG T9 Portable SSD 2TB transfers large imagery and model outputs quickly between field laptops, lab workstations, and secure archives.


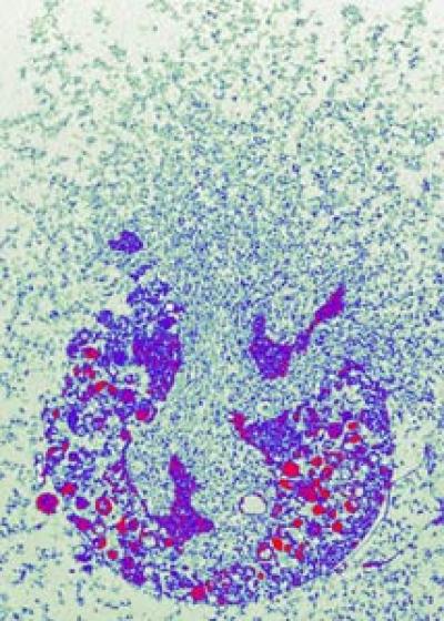
They are the largest group of white blood cells: neutrophil granulocytes kill microorganisms. Neutrophils catch microbes with extracellular structures nicknamed Neutrophil Extracellular Traps (NETs) that are composed of nucleic acid and aggressive enzymes. A group of scientists lead by Arturo Zychlinsky at the Max-Planck-Institute for Infectious Biology in Berlin, Germany discovered, how the neutrophils form this snaring network (Journal of Cell Biology, online, January 8, 2007). Once triggered, the cells undergo a novel program leading to their death. While they perish, the cells release the content of their nuclei. The nucleic acid, mingled with bactericidal enzymes, forms a lethal network outside the cell. Invading bacteria and pathogenic fungi get caught and killed in the NETs.

Every minute, several million neutrophils leave the bone marrow and are ready to defend the body of invading germs. They are the immune system†TM s first line of defence against harmful bacteria and migrate into the tissue at the site of infection to combat pathogens. For more than hundred years it was known that neutrophil granulocytes kill bacteria very efficiently by devouring them. After eating the germs neutrophils kill tehm with antimicrobial proteins.

The group of scientists lead by Arturo Zychlinsky at the Max-Planck-Institute for Infectious Biology discovered a second killing mechanism: neutrophil granulocytes can form web-like structures outside the cells composed of nucleic acid and enzymes which catch bacteria and kill them. The scientists were able to generate impressive micrographs of these nets. But it remained a mystery how the granulocytes could mobilise the contents of their nuclei and catapult it out of the cells.

Only after lengthy live cell imaging and biochemical studies it became clear how neutrophils make NETs. The cells get activated by bacteria and modify the structure of their nuclei and granules, small enzyme deposits in the cytoplasm. "The nuclear membrane disintegrates, the granules dissolve, and thus the NET components can mingle inside the cells", explains Volker Brinkmann, head of the microscopy group. At the end of this process, the cell contracts until the cell membrane bursts open and quickly releases the highly active melange. Once outside the cell, it unfolds and forms the NETs which then can trap bacteria.

Surprisingly, this process is as effective as devouring bacteria: "NETs formed by dying granulocytes kill as many bacteria as are eaten up by living blood cells", says Arturo Zychlinsky. Thus, neutrophils fulfil their role in the defence battle even after their deaths.

Original work:

Tobias A. Fuchs, Ulrike Abed, Christian Goosmann, Robert Hurwitz, Ilka Schulze, Volker Wahn, Yvette Weinrauch, Volker Brinkmann and Arturo Zychlinsky

Novel Cell Death Program Leads to Neutrophil Extracellular Traps

Journal of Cell Biology, online published, January 8, 2007

Journal of Cell Biology

Keywords

Article Information

Contact Information

Prof. Dr. Arturo Zychlinsky
Zychlinsky@mpiib-berlin.mpg.de

Source

How to Cite This Article

APA:
Max-Planck-Gesellschaft. (2007, January 10). A beneficial suicide. Brightsurf News. https://www.brightsurf.com/news/1ZKZEJN1/a-beneficial-suicide.html
MLA:
"A beneficial suicide." Brightsurf News, Jan. 10 2007, https://www.brightsurf.com/news/1ZKZEJN1/a-beneficial-suicide.html.