Bluesky Facebook Reddit Email

Antithrombotic therapy unassociated with intracranial hemorrhage after fall

03.24.22 | American Roentgen Ray Society

Rigol DP832 Triple-Output Bench Power Supply

Rigol DP832 Triple-Output Bench Power Supply powers sensors, microcontrollers, and test circuits with programmable rails and stable outputs.


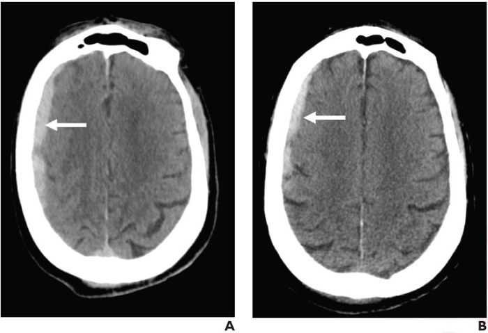
Leesburg, VA, March 24, 2022 According to ARRS’ American Journal of Roentgenology ( AJR ) , antithrombotic therapy was not linked to increased incidence of traumatic intracranial hemorrhage on CT in adult patients, although the therapy did show association with hematoma expansion at follow-up.

“The findings suggest, in patients with good neurological status after ground-level fall, application of a similar strategy for selecting patients for initial head CT, regardless of antithrombotic therapy use,” wrote first author Zeynep Vardar at the University of Massachusetts Medical Center in Worcester. “If initial head CT shows traumatic intracranial hemorrhage, early follow-up head CT should be systematically performed in those on antithrombotic therapy though possibly deferred in other patients.”

Vardar and colleagues’ retrospective case-control study included 1,630 patients (693 female, 937 male; mean age, 80 years) who underwent head CT after presenting to the emergency department (ED) with ground-level fall (Glasgow Coma Scale ≥ 14 and no focal neurological deficit) between January 1 and December 31, 2020. Initial head CT examinations were reviewed for traumatic intracranial hemorrhage characteristics and follow-up head CT examinations (performed within 24 hours) were reviewed for hematoma expansion, with clinical outcomes extracted from medical records.

The frequency of intracranial hemorrhage after ground-level fall with good neurological status was not significantly different between patients on antithrombotic therapy and those not on antithrombotic therapy (4.4% vs 3.1% respectively, p = .24). However, hematoma expansion occurred more frequently in patients on antithrombotic therapy (26.2% vs 4.8%, p = .04).

Also noting no significant difference between patients on anticoagulant therapy alone, antiplatelet therapy alone, or both, “the frequency of midline shift and regional mass effect was not significantly different between patients on antithrombotic therapy and control patients,” the authors of this AJR article added .

North America’s first radiological society, the American Roentgen Ray Society (ARRS) remains dedicated to the advancement of medicine through the profession of medical imaging and its allied sciences. An international forum for progress in radiology since the discovery of the x-ray, ARRS maintains its mission of improving health through a community committed to advancing knowledge and skills with the world’s longest continuously published radiology journal— American Journal of Roentgenology —the ARRS Annual Meeting, InPractice magazine, topical symposia, myriad multimedia educational materials, as well as awarding scholarships via The Roentgen Fund ®.

MEDIA CONTACT :

Logan K. Young, PIO

44211 Slatestone Court

Leesburg, VA 20176

703-858-4332

lyoung@arrs.org

American Journal of Roentgenology

10.2214/AJR.21.27274

Case study

People

Traumatic Intracranial Hemorrhage on CT After Ground-Level Fall in Adult Patients on Antithrombotic Therapy: A Retrospective Case-Control Study

24-Mar-2022

The authors have no financial relationship with a commercial organization that may have a direct or indirect interest in the content.

Keywords

Article Information

Contact Information

Logan Young
American Roentgen Ray Society
lyoung@arrs.org

How to Cite This Article

APA:
American Roentgen Ray Society. (2022, March 24). Antithrombotic therapy unassociated with intracranial hemorrhage after fall. Brightsurf News. https://www.brightsurf.com/news/80EZ5PJ8/antithrombotic-therapy-unassociated-with-intracranial-hemorrhage-after-fall.html
MLA:
"Antithrombotic therapy unassociated with intracranial hemorrhage after fall." Brightsurf News, Mar. 24 2022, https://www.brightsurf.com/news/80EZ5PJ8/antithrombotic-therapy-unassociated-with-intracranial-hemorrhage-after-fall.html.