Bluesky Facebook Reddit Email

Artificial intelligence may improve diabetes diagnosis

04.05.22 | Radiological Society of North America

GoPro HERO13 Black

GoPro HERO13 Black records stabilized 5.3K video for instrument deployments, field notes, and outreach, even in harsh weather and underwater conditions.


OAK BROOK, Ill. – Using a fully-automated artificial intelligence (AI) deep learning model, researchers were able to identify early signs of type 2 diabetes on abdominal CT scans, according to a new study published in the journal Radiology .

Type 2 diabetes affects approximately 13% of all U.S. adults and an additional 34.5% of adults meet the criteria for prediabetes. Due to the slow onset of symptoms, it is important to diagnose the disease in its early stages. Some cases of pre-diabetes can last up to 8 years and an earlier diagnosis will allow patients to make lifestyle changes to alter the progression of the disease.

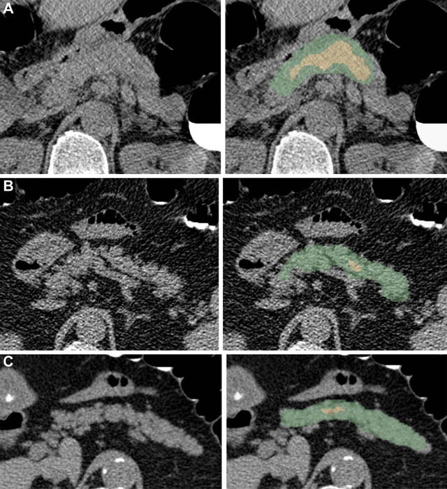
Abdominal CT imaging can be a promising tool to diagnose type 2 diabetes. CT imaging is already widely used in clinical practices, and it can provide a significant amount of information about the pancreas. Previous studies have shown that patients with diabetes tend to accumulate more visceral fat and fat within the pancreas than non-diabetic patients. However, not much work has been done to study the liver, muscles and blood vessels around the pancreas, said study co-senior author Ronald M. Summers, M.D., Ph.D., senior investigator and staff radiologist at the National Institutes of Health Clinical Center in Bethesda, Maryland.

“The analysis of both pancreatic and extra-pancreatic features is a novel approach and has not been shown in previous work to our knowledge,” said first author Hima Tallam, B.S.E., M.D./Ph.D. student.

The manual analysis of low-dose non-contrast pancreatic CT images by a radiologist or trained specialist is a time-intensive and difficult process. To address these clinical challenges, there is a need for the improvement of automated image analysis of the pancreas, the authors said.

For this retrospective study, Dr. Summers and colleagues, in close collaboration with co-senior author Perry J. Pickhardt, M.D., professor of radiology at the University of Wisconsin School of Medicine & Public Health, used a dataset of patients who had undergone routine colorectal cancer screening with CT at the University of Wisconsin Hospital and Clinics. Of the 8,992 patients who had been screened between 2004 and 2016, 572 had been diagnosed with type 2 diabetes and 1,880 with dysglycemia, a term that refers to blood sugar levels that go too low or too high. There was no overlap between diabetes and dysglycemic diagnosis.

To build the deep learning model, the researchers used a total of 471 images obtained from a variety of datasets, including the Medical Data Decathlon, The Cancer Imaging Archive and the Beyond Cranial Vault challenge. The 471 images were then divided into three subsets: 424 for training, 8 for validation and 39 for test sets. Researchers also included data from four rounds of active learning.

The deep learning model displayed excellent results, demonstrating virtually no difference compared to manual analysis. In addition to the various pancreatic features, the model also analyzed the visceral fat, density and volumes of the surrounding abdominal muscles and organs.

The results showed that patients with diabetes had lower pancreas density and higher visceral fat amounts than patients without diabetes.

“We found that diabetes was associated with the amount of fat within the pancreas and inside the patients’ abdomens,” Dr. Summers said. “The more fat in those two locations, the more likely the patients were to have diabetes for a longer period of time.”

The best predictors of type 2 diabetes in the final model included intrapancreatic fat percentage, pancreas fractal dimension, plaque severity between the L1-L4 vertebra level, average liver CT attenuation, and BMI. The deep learning model used these predictors to accurately discern patients with and without diabetes.

“This study is a step towards the wider use of automated methods to address clinical challenges,” the authors said. “It may also inform future work investigating the reason for pancreatic changes that occur in patients with diabetes.”

###

“Fully Automated Abdominal CT Biomarkers for Type 2 Diabetes Using Deep Learning.” Collaborating with Tallam and Drs. Summers and Pickhardt were Daniel C. Elton, Ph.D., Sungwon Lee, M.D., Ph.D., and Paul Wakim, Ph.D.

Radiology is edited by David A. Bluemke, M.D., Ph.D., University of Wisconsin School of Medicine and Public Health, Madison, Wisconsin, and owned and published by the Radiological Society of North America, Inc. ( https://pubs.rsna.org/journal/radiology )

RSNA is an association of radiologists, radiation oncologists, medical physicists and related scientists promoting excellence in patient care and health care delivery through education, research and technologic innovation. The Society is based in Oak Brook, Illinois. ( RSNA.org )

For patient-friendly information on abdominal CT, visit RadiologyInfo.org .

Radiology

People

“Fully Automated Abdominal CT Biomarkers for Type 2 Diabetes Using Deep Learning

5-Apr-2022

Keywords

Article Information

Contact Information

Linda Brooks
Radiological Society of North America
lbrooks@rsna.org

How to Cite This Article

APA:
Radiological Society of North America. (2022, April 5). Artificial intelligence may improve diabetes diagnosis. Brightsurf News. https://www.brightsurf.com/news/80EZQQQ8/artificial-intelligence-may-improve-diabetes-diagnosis.html
MLA:
"Artificial intelligence may improve diabetes diagnosis." Brightsurf News, Apr. 5 2022, https://www.brightsurf.com/news/80EZQQQ8/artificial-intelligence-may-improve-diabetes-diagnosis.html.