Bluesky Facebook Reddit Email

Researchers characterize unusual blood clots in leprosy patients

03.22.18 | PLOS

SAMSUNG T9 Portable SSD 2TB

SAMSUNG T9 Portable SSD 2TB transfers large imagery and model outputs quickly between field laptops, lab workstations, and secure archives.


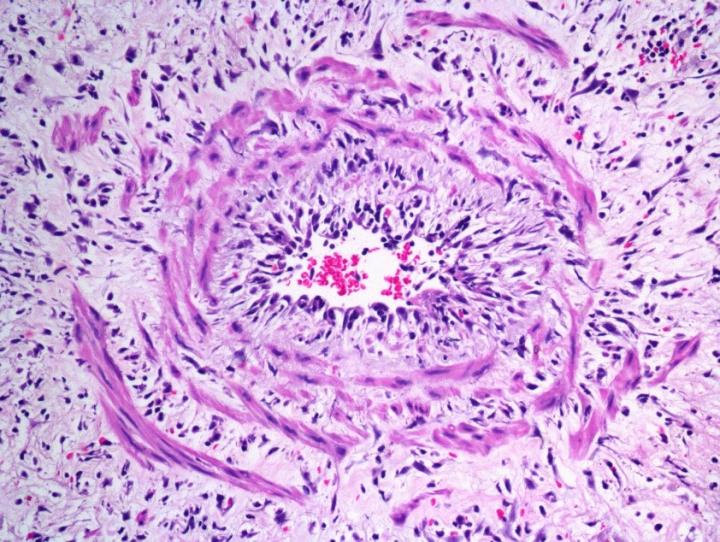
For years, doctors have observed that some patients with leprosy develop unusual blood clots which can lead to stroke or heart attack. Now, researchers reporting in PLOS Neglected Tropical Diseases have for the first time characterized these blood clots, leading to a new understanding of how leprosy affects the circulatory system and potential new screening tests to predict leprosy reactions.

Leprosy is a chronic infection by Mycobacterium leprae and causes body-wide symptoms, deformities, and disability. It remains a public health problem worldwide, despite the existence of antibiotic combinations that can cure it. While many symptoms are due to the bacteria's infection of immune and nervous system cells, reactional episodes of leprosy also include symptoms and disorders more closely linked to hemostasis, or blood clotting.

Flavio Alves Lara of the Oswaldo Cruz Institute, and colleagues searched for blood clotting abnormalities among 638 leprosy patients and identified 35 patients who had unusual fatty clots, which the researchers dubbed "leprosum clots." The team went on to study what factors predicted the development of leprosum clots and what molecules were present in the clots.

The researchers found that patients both experiencing a reactional episode and those with non-reactional leprosy had factors in their blood--including plasmatic fibrinogen, anti-cardiolipin antibodies, von Willebrand factor, and soluble tissue factor-- promoting blood coagulation. Formation of leprosum clots, they showed, was correlated with increased levels of soluble tissue factor and von Willebrand factor. Tests on leprosum clots revealed high contents of lipids and fibrinogen, and showed higher levels of two proteins--complement component 3 and 4 and inter-alpha- trypsin inhibitor family heavy chain-related protein (IHRP)--compared to clots from patients without leprosy.

"We propose that some of these components, fibrinogen for example, presents potential as predictive biomarkers of leprosy reactions, generating tools for earlier diagnosis and treatment of these events," the researchers say.

###

In your coverage please use this URL to provide access to the freely available article in PLOS Neglected Tropical Diseases : http://journals.plos.org/plosntds/article?id=10.1371/journal.pntd.0006214

Citation: Silva DSd, Teixeira LAC, Beghini DG, Ferreira ATdS, Pinho MdBM, Rosa PS, et al. (2018) Blood coagulation abnormalities in multibacillary leprosy patients. PLoS Negl Trop Dis 12(3): e0006214. https://doi.org/10.1371/journal.pntd.0006214

Funding: This work was supported by Fundação de Amparo à Pesquisa do Estado do Rio de Janeiro E-26/110.3461/2011 and the Programa Institucional de Bolsas de Iniciação Científica PIBIC, from Oswaldo Cruz Foundation . The sources of funds had no role in the study design, data collection and analysis, decision to publish, or preparation of the manuscript.

Competing Interests: The authors declare that no competing interests exist.

PLOS Neglected Tropical Diseases

10.1371/journal.pntd.0006214

Keywords

Article Information

Contact Information

PLOS Neglected Tropical Diseases
plosntds@plos.org

How to Cite This Article

APA:
PLOS. (2018, March 22). Researchers characterize unusual blood clots in leprosy patients. Brightsurf News. https://www.brightsurf.com/news/80VJ3EYL/researchers-characterize-unusual-blood-clots-in-leprosy-patients.html
MLA:
"Researchers characterize unusual blood clots in leprosy patients." Brightsurf News, Mar. 22 2018, https://www.brightsurf.com/news/80VJ3EYL/researchers-characterize-unusual-blood-clots-in-leprosy-patients.html.