Bluesky Facebook Reddit Email

Scan predicts whether therapy or meds will best lift depression

06.12.13 | NIH/National Institute of Mental Health

SAMSUNG T9 Portable SSD 2TB

SAMSUNG T9 Portable SSD 2TB transfers large imagery and model outputs quickly between field laptops, lab workstations, and secure archives.


Pre-treatment scans of brain activity predicted whether depressed patients would best achieve remission with an antidepressant medication or psychotherapy, in a study funded by the National Institutes of Health.

"Our goal is to develop reliable biomarkers that match an individual patient to the treatment option most likely to be successful, while also avoiding those that will be ineffective," explained Helen Mayberg, M.D., of Emory University, Atlanta, a grantee of the NIH's National Institute of Mental Health.

Mayberg and colleagues report on their findings in JAMA Psychiatry , June 12, 2013.

"For the treatment of mental disorders, brain imaging remains primarily a research tool, yet these results demonstrate how it may be on the cusp of aiding in clinical decision-making," said NIMH Director Thomas R. Insel, M.D.

Currently, determining whether a particular patient with depression would best respond to psychotherapy or medication is based on trial and error. In the absence of any objective guidance that could predict improvement, clinicians typically try a treatment that they, or the patient, prefer for a month or two to see if it works. Consequently, only about 40 percent of patients achieve remission following initial treatment. This is costly in terms of human suffering as well as health care spending.

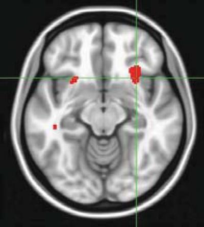
Mayberg's team hoped to identify a biomarker that could predict which type of treatment a patient would benefit from based on the state of his or her brain. Using a positron emission tomography (PET) scanner, they imaged pre-treatment resting brain activity in 63 depressed patients. PET pinpoints what parts of the brain are active at any given moment by tracing the destinations of a radioactively-tagged form of glucose, the sugar that fuels its metabolism.

They compared brain circuit activity of patients who achieved remission following treatment with those who did not improve.

Activity in one specific brain area emerged as a pivotal predictor of outcomes from two standard forms of depression treatment: cognitive behavior therapy (CBT) or escitalopram, a serotonin specific reuptake inhibitor (SSRI) antidepressant. If a patient's pre-treatment resting brain activity was low in the front part of an area called the insula, on the right side of the brain, it signaled a significantly higher likelihood of remission with CBT and a poor response to escitalopram. Conversely, hyperactivity in the insula predicted remission with escitalopram and a poor response to CBT.

Among several sites of brain activity related to outcome, activity in the anterior insula best predicted response and non-response to both treatments. The anterior insula is known to be important in regulating emotional states, self-awareness, decision-making and other thinking tasks. Changes in insula activity have been observed in studies of various depression treatments, including medication, mindfulness training, vagal nerve stimulation and deep brain stimulation.

"If these findings are confirmed in follow-up replication studies, scans of anterior insula activity could become clinically useful to guide more effective initial treatment decisions, offering a first step towards personalized medicine measures in the treatment of major depression" said Mayberg.

JAMA Psychiatry

Keywords

Article Information

Contact Information

Jules Asher
NIH/National Institute of Mental Health
jasher@nih.gov

How to Cite This Article

APA:
NIH/National Institute of Mental Health. (2013, June 12). Scan predicts whether therapy or meds will best lift depression. Brightsurf News. https://www.brightsurf.com/news/80VYEV3L/scan-predicts-whether-therapy-or-meds-will-best-lift-depression.html
MLA:
"Scan predicts whether therapy or meds will best lift depression." Brightsurf News, Jun. 12 2013, https://www.brightsurf.com/news/80VYEV3L/scan-predicts-whether-therapy-or-meds-will-best-lift-depression.html.