Bluesky Facebook Reddit Email

CNIO scientists find new tumor markers for the prognosis of head and neck cancer

02.03.16 | Centro Nacional de Investigaciones Oncológicas (CNIO)

SAMSUNG T9 Portable SSD 2TB

SAMSUNG T9 Portable SSD 2TB transfers large imagery and model outputs quickly between field laptops, lab workstations, and secure archives.


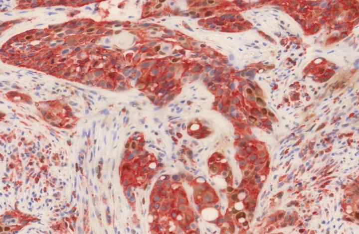
Head and neck cancers include a heterogeneous group of tumours located in the oral cavity, pharynx and larynx. Despite therapeutic progress, the survival rate of patients with this pathology has hardly improved in the last decade. Many researchers are focusing on understanding the molecular biology of these tumours to improve their prognosis and treatment.

"One problem is the stratification of patients, which in many cases is limited to a clinical classification, not a molecular one", argue Susana Llanos and Juana M. García-Pedrero, authors of the study from the Tumour Suppression Group of the Spanish National Cancer Research Centre (CNIO) and from the Central University Hospital of Asturias (HUCA), respectively.

These researchers have analysed more than 270 biopsies of patients with head and neck cancers, and have found that about half of them show high levels of the p21 protein as well as mTOR activation. This research project, directed by Manuel Serrano, head of the Tumour Suppression Group and director of the CNIO's Molecular Oncology Programme, has found that the presence of p21 is closely linked to the activity of mTOR and that both markers predict a less aggressive evolution of the disease. In the future, patient classificatioin based on these markers could allow to choose the best therapeutic option for each group. The conclusions are being published this week in the journal Nature Communications .

The researchers have also unravelled the molecular mechanism by which p21 levels are linked to the activity of mTOR. In particular, when the mTOR protein is inactive, it dictates the degradation of p21, and, conversely, when mTOR is active, p21 becomes stable.

###

This study is a collaboration between the CNIO group directed by Manuel Serrano and the team of Juana María García-Pedrero and Juan Pablo Rodrigo from the Department of Otorhinolaryngology of the Central University Hospital of Asturias and the IUOPA-University of Oviedo. The study has been funded in part by the Ministry of Economy and Competitiveness, the European Research Council (ERC), the Botín Foundation and Banco Santander, through Santander Universities, the Ramón Areces Foundation and the AXA Foundation.

Reference Article:

Stabilization of p21 by mTORC1/4E-BP1 predicts clinical outcome of head and neck cancers. Susana Llanos, Juana M. García-Pedrero, Lucia Morgado-Palacin, Juan P. Rodrigo, Manuel Serrano. Nature Communications (2016). doi: 10.1038/ncomms10438

Nature Communications

10.1038/ncomms10438

Keywords

Article Information

Contact Information

Vanessa Pombo
vpombo@cnio.es

Source

How to Cite This Article

APA:
Centro Nacional de Investigaciones Oncológicas (CNIO). (2016, February 3). CNIO scientists find new tumor markers for the prognosis of head and neck cancer. Brightsurf News. https://www.brightsurf.com/news/86G3NRML/cnio-scientists-find-new-tumor-markers-for-the-prognosis-of-head-and-neck-cancer.html
MLA:
"CNIO scientists find new tumor markers for the prognosis of head and neck cancer." Brightsurf News, Feb. 3 2016, https://www.brightsurf.com/news/86G3NRML/cnio-scientists-find-new-tumor-markers-for-the-prognosis-of-head-and-neck-cancer.html.