Bluesky Facebook Reddit Email

Aurora A may contribute to kidney disease

06.13.11 | Rockefeller University Press

Fluke 87V Industrial Digital Multimeter

Fluke 87V Industrial Digital Multimeter is a trusted meter for precise measurements during instrument integration, repairs, and field diagnostics.


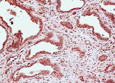
The Aurora A kinase may contribute to polycystic kidney disease (PKD) by inactivating a key calcium channel in kidney cells, according to a study in the June 13 issue of The Journal of Cell Biology ( www.jcb.org ).

Aurora A is an oncogene best known as a regulator of mitotic progression. But the kinase has important functions during interphase as well, when it can promote cilia disassembly and can be activated by elevated calcium levels. Because both calcium signaling and cilia are defective in PKD, researchers from the Fox Chase Cancer Center in Philadelphia wondered whether Aurora A might contribute to the pathology of this common genetic disease.

The researchers found that Aurora A was up-regulated and activated in epithelial cells lining the cysts in PKD patient kidneys. In addition, Aurora A bound to and phosphorylated a calcium channel called polycystin-2, whose gene, PKD2, is often mutated in autosomal dominant forms of PKD.

Polycystin-2 mediates the release of calcium from storage in the endoplasmic reticulum and calcium influx into cilia. Inhibition or knockdown of Aurora A boosted intracellular calcium levels, but this effect was less pronounced in kidney cells lacking polycystin-2, indicating that Aurora A normally lowers calcium levels by inactivating polycystin-2. Only small doses of inhibitor were required to increase calcium levels, suggesting that Aurora A may be a viable therapeutic target for boosting polycystin-2 activity in certain PKD patients. Senior author Erica Golemis now wants to investigate how Aurora A becomes up-regulated in PKD and whether inhibitors of the kinase can slow cyst formation in mouse models of the disease.

About The Journal of Cell Biology

Founded in 1955, The Journal of Cell Biology (JCB) is published by The Rockefeller University Press. All editorial decisions on manuscripts submitted are made by active scientists in conjunction with our in-house scientific editors. JCB content is posted to PubMed Central, where it is available to the public for free six months after publication. Authors retain copyright of their published works and third parties may reuse the content for non-commercial purposes under a creative commons license. For more information, please visit www.jcb.org .

Plotnikova, O.V., and E.A. Golemis. 2011. J. Cell Biol. doi:10.1083/jcb.201012061.

Journal of Cell Biology

Keywords

Article Information

Contact Information

How to Cite This Article

APA:
Rockefeller University Press. (2011, June 13). Aurora A may contribute to kidney disease. Brightsurf News. https://www.brightsurf.com/news/86GERG9L/aurora-a-may-contribute-to-kidney-disease.html
MLA:
"Aurora A may contribute to kidney disease." Brightsurf News, Jun. 13 2011, https://www.brightsurf.com/news/86GERG9L/aurora-a-may-contribute-to-kidney-disease.html.