Bluesky Facebook Reddit Email

Link between gut microbes & muscle growth suggests future approach to tackle muscle loss

09.09.19 | Nanyang Technological University

Davis Instruments Vantage Pro2 Weather Station

Davis Instruments Vantage Pro2 Weather Station offers research-grade local weather data for networked stations, campuses, and community observatories.


The microorganisms living in the intestines could help with muscle growth and function, opening new doors to interventions for age-related skeletal muscle loss, an international research team led by Nanyang Technological University, Singapore (NTU Singapore) has found.

Through a series of strength and movement-related exercises conducted on mice, the team comprising researchers from Singapore, Sweden, Switzerland, France, UK, US, and Australia, found that mice with gut microbes had stronger skeletal muscles that can produce more energy when compared to mice without any gut microbes, known as germ-free mice.

All species, including humans, have a myriad of microbial species living inside them. Those that line the gut play a major role in body functions, from metabolism to the immune system.

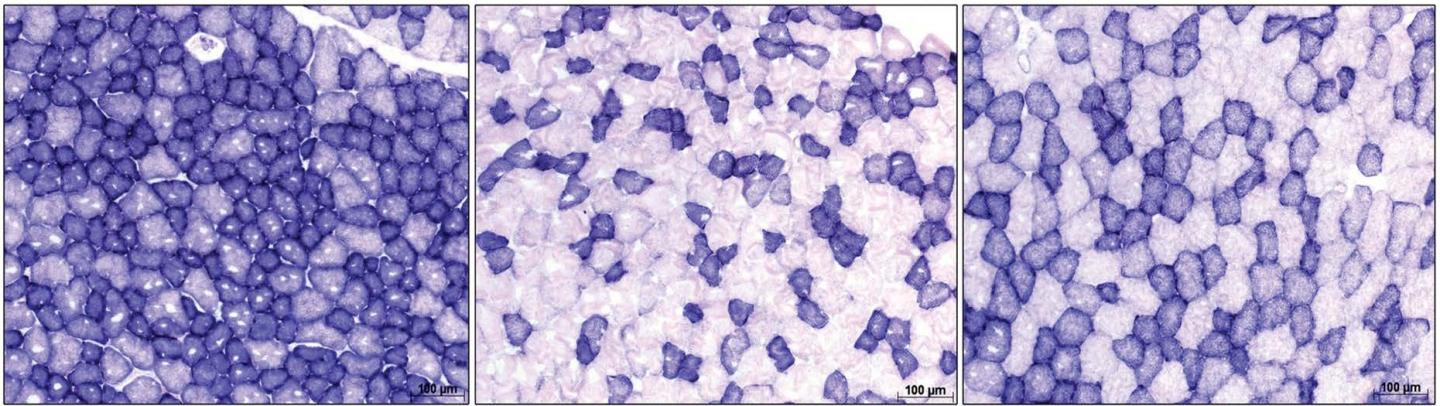
Evidence for a link between gut microbes and skeletal muscle mass was strengthened when the international research team transplanted gut microbes from standard laboratory mice into germ-free mice. Muscle growth and function in the germ-free mice were partially restored following the transplant (See attached image).

The findings point to a new potential method for tackling age-related skeletal muscle loss by altering the gut microbe composition.

The study, published in Science Translational Medicine in July, could also pave the way for important studies relevant to muscle development, growth and formation of functional nerve-muscle communication.

Professor Sven Pettersson from the NTU Lee Kong Chian School of Medicine, who led the study, said, "These results further strengthen the growing evidence of gut microbes acting as crucial gatekeepers to human health, and provide new insight into muscle mass maintenance with respect to ageing. Given that healthy ageing is one of the main healthcare goals of Singapore's ageing population, these results are encouraging. They lay the foundation for future studies that evaluate how microbes and their metabolites may be potential targets of intervention to improve skeletal muscle strength in the elderly, especially in countries such as Singapore with rapidly ageing populations."

New insight on nerve-muscle communication

The study also shed light on the possible link between gut microbes and communication between nerves and muscles.

The researchers found that germ-free mice had reduced levels of key proteins essential for the assembly and function of a neuromuscular junction - a chemical structure that allows a motor nerve cell to communicate with a skeletal muscle fibre. These junctions allow signals to be transmitted to the muscle fibre, causing muscle contraction.

Transplanting gut microbes into germ-free mice partially restored the expression of these key proteins to the level observed in mice with gut bacteria.

Prof Pettersson said, "While additional experiments are needed to fully obtain the mechanisms underlying muscle atrophy and dysfunction in the nerve-muscle junction in germ-free mice, the results presented here allow for important and interesting future studies relevant to muscle development, growth and formation of functional nerve-muscle communication."

Understanding the mechanism of skeletal muscles

To study the impact of gut microbes on skeletal muscle mass and muscle atrophy, which is the wasting or loss of muscle tissue, Prof Pettersson and his team conducted three sets of exercise tests on both mice with gut microbes and germ-free mice with no trace of microbes in them.

In the weights test, each mouse was made to grasp a 26g weight to see if it could hold the weight for three seconds. Those who did so successfully then progressed to the next five weights, ranging from 33g to 100g.

The researchers also monitored the mice's movements for an hour in an open environment to measure the total distance they covered and the amount of time the mice spent standing on their hind legs.

The mice also ran on a treadmill set at a gradually increasing speed from 0 to 15 metres per minute, and then maintained at a constant speed.

Upon examination, the research team found that on top of reduced skeletal muscle mass and increased expression of genes linked to muscle atrophy, the skeletal muscles in germ-free mice also displayed problems with function and the generation of new mitochondria, whose role is to break down nutrients to form energy for cellular activity.

But when the researchers transplanted gut microbes from mice to germ-free mice, they found that these mice had their muscle growth and function partially restored, and showed reduced signs of muscle atrophy.

The study builds on Prof Pettersson's earlier studies on how gut microbes influence brain development, blood brain barrier integrity, and overall behaviour related to anxiety and fear.

Professor of microbiology Wang Yue from Singapore's Agency for Science, Technology and Research (A*STAR), who was not involved in the study, said the discovery will inspire scientists and clinicians to investigate the relationship between the microbial composition of the microbiota and the state of skeletal muscles in humans.

"This line of research will lead to novel ways to maintain or improve muscle mass, strength, and function by modulating the microbial composition in the gut. Such strategies are expected to have broad applications in tackling muscle-related health issues. One area with enormous potential is to delay or reverse age-related sarcopenia (the loss of skeletal muscle mass and strength as a result of ageing)," added the research director at A*STAR's Institute of Molecular and Cell Biology

###

Note to Editors:

Microscopic images of the amount of enzyme activity (dark purple specks) in the mitochondria in the muscle of mice. When microbes were transplanted into germ-free mice, enzyme activity increased, which translates to a higher capacity for the muscle to produce energy.

Paper titled "The gut microbiota influences skeletal muscle mass and function in mice" published in Science Translational Medicine on 24 July 2019.

Researchers from the following institutions were involved in this study:

About Nanyang Technological University, Singapore

A research-intensive public university, Nanyang Technological University, Singapore (NTU Singapore) has 33,000 undergraduate and postgraduate students in the Engineering, Business, Science, Humanities, Arts, & Social Sciences, and Graduate colleges. It also has a medical school, the Lee Kong Chian School of Medicine, set up jointly with Imperial College London.

NTU is also home to world-class autonomous institutes - the National Institute of Education, S Rajaratnam School of International Studies, Earth Observatory of Singapore, and Singapore Centre for Environmental Life Sciences Engineering - and various leading research centres such as the Nanyang Environment & Water Research Institute (NEWRI) and Energy Research Institute @ NTU (ERI@N).

Ranked 11th in the world, NTU has been placed the world's top young university for the past six years. The University's main campus is frequently listed among the Top 15 most beautiful university campuses in the world and it has 57 Green Mark-certified (equivalent to LEED-certified) building projects, of which 95% are certified Green Mark Platinum. Apart from its main campus, NTU also has a campus in Singapore's healthcare district.

For more information, visit http://www.ntu.edu.sg .

Science Translational Medicine

10.1126/scitranslmed.aan5662

Keywords

Article Information

Contact Information

Source

How to Cite This Article

APA:
Nanyang Technological University. (2019, September 9). Link between gut microbes & muscle growth suggests future approach to tackle muscle loss. Brightsurf News. https://www.brightsurf.com/news/86GKP2KL/link-between-gut-microbes-muscle-growth-suggests-future-approach-to-tackle-muscle-loss.html
MLA:
"Link between gut microbes & muscle growth suggests future approach to tackle muscle loss." Brightsurf News, Sep. 9 2019, https://www.brightsurf.com/news/86GKP2KL/link-between-gut-microbes-muscle-growth-suggests-future-approach-to-tackle-muscle-loss.html.