Bluesky Facebook Reddit Email

Chagas disease vaccine shows long-term protection in mice

05.07.15 | PLOS

Rigol DP832 Triple-Output Bench Power Supply

Rigol DP832 Triple-Output Bench Power Supply powers sensors, microcontrollers, and test circuits with programmable rails and stable outputs.


Chagas disease, caused by the Trypanosoma cruzi parasite and transmitted by insects in Latin America is among the most common tropical diseases, and so far without effective vaccine. A study published on May 7th in PLOS Pathogens now shows that a candidate vaccine can induce long-lasting immunity against the parasite in mice.

The relatively mild acute phase of Chagas disease is followed by the more dangerous chronic phase, during which parasites take up residence in the host, mostly in the heart and stomach muscles. About a third of infected people (presumably those with higher chronic parasite numbers) develop serious heart disease or digestive tract complications many years after the initial infection. An ideal Chagas vaccine would prevent infection altogether, but one that prevents the complications during the chronic phase by keeping parasite numbers low would eliminate most of the disease burden.

Shivali Gupta and Nisha Garg, from the University of Texas Medical Branch in Galveston, USA, had previously shown that a vaccine that contains three particular parasite proteins is a good candidate: Mice that were infected with T. cruzi immediately after vaccination were able to keep parasite numbers down during the acute infection and showed none of the inflammation in muscle tissue seen after infection of un-vaccinated mice.

In this study, the researchers tested whether the vaccinated mice would be protected in the long run. To do this, they vaccinated mice with a combination of two of the T. cruzi proteins (called TcG2 and TcG4), which they had shown to be the most potent in provoking both an antibody and a T-cell immune response.

The vaccination was done in two steps: the first injection contained DNA coding for the TcG2 and TcG4 proteins, and the second, three weeks later, a mix of the two proteins themselves (D/P regimen). Some mice were also given a booster immunization three months later, which consisted again of a mix of the two proteins (D/P/P regimen).

Even without the booster shot, the D/P regimen caused long-lasting, T. cruzi -specific, changes in the immune system. The vaccine generated a pool of TH1 CD4+T cells (also called helper T cells) that are necessary for an effective antibody response as well as a stable pool of CD8+T memory cells. Both pools rapidly expanded when mice were infected with T. cruzi four months after vaccination, and the vaccinated mice were able to keep parasite numbers 2-3 fold lower than unvaccinated infected mice.

Mice that had received the booster shot at three months (D/P/P regimen) and were infected four months later had an even more potent immune response: their parasite numbers were about 5-fold lower than those of unvaccinated controls. The vaccine-induced immunity waned slightly six months after the booster immunization, but was still sufficient to provide 2-fold control of invading pathogens. This should be sufficient to break the parasite transmission cycle (i.e. biting insects don't pick up enough parasites to infect the next host) and prevent chronic disease symptoms in the vaccinated host.

The researchers conclude that "the TcG2/TcG4 D/P vaccine provided long-term anti- T. cruzi T cell immunity, and booster immunization would be an effective strategy to maintain or enhance the vaccine-induced protective immunity against T. cruzi infection and Chagas disease." The next steps toward clinical studies in humans, they suggest, include "characterizing the quality and quantity of immunity to the vaccine candidates in naïve individuals".

###

Contact:

Shivali Gupta
e-mail: shivali.04@gmail.com

Please use this URL to provide readers access to the paper (Link goes live upon article publication): http://dx.plos.org/10.1371/journal.ppat.1004828

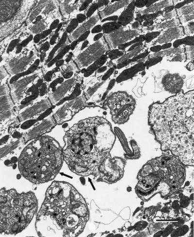
Related Image for Press Use: https://www.plos.org/wp-content/uploads/2013/05/Pathogens_Garg_MAY_7_IMG.tif Caption: T. cruzi (some marked by arrows) in the heart. Credit: Nisha J. Garg, CC-BY

Authors and Affiliations: Shivali Gupta, University of Texas Medical Branch, USA Nisha J. Garg, University of Texas Medical Branch, USA

Please contact plospathogens@plos.org if you would like more information.

Funding: This work was supported in part by a grant from the National Institutes of Health/National Institute of Allergy and Infectious Diseases (2RO1AI05478-07) to NJG. SG was a recipient of a Sealy Center for Vaccine Development (SCVD) post-doctoral fellowship. The funders had no role in study design, data collection and analysis, decision to publish, or preparation of the manuscript.

Competing Interests: The authors have declared that no competing interests exist.

Citation: Gupta S, Garg NJ (2015) A Two-Component DNA-Prime/Protein-Boost Vaccination Strategy for Eliciting Long-Term, Protective T Cell Immunity against Trypanosoma cruzi . PLoS Pathog 11(5): e1004828. doi:10.1371/journal.ppat.1004828

PLOS Pathogens

Keywords

Article Information

Contact Information

Nisha J. Garg
nigarg@utmb.edu

How to Cite This Article

APA:
PLOS. (2015, May 7). Chagas disease vaccine shows long-term protection in mice. Brightsurf News. https://www.brightsurf.com/news/86GMJWML/chagas-disease-vaccine-shows-long-term-protection-in-mice.html
MLA:
"Chagas disease vaccine shows long-term protection in mice." Brightsurf News, May. 7 2015, https://www.brightsurf.com/news/86GMJWML/chagas-disease-vaccine-shows-long-term-protection-in-mice.html.