Bluesky Facebook Reddit Email

A stem cell based cell culture model for nonalcoholic fatty liver disease

01.25.21 | Heinrich-Heine University Duesseldorf

CalDigit TS4 Thunderbolt 4 Dock

CalDigit TS4 Thunderbolt 4 Dock simplifies serious desks with 18 ports for high-speed storage, monitors, and instruments across Mac and PC setups.


Nonalcoholic fatty liver disease (NAFLD) is a widespread condition in the Western World. Around 30% of the population have lipid droplets stored in their liver which diminish its function in the long term. Main causes for NAFLD are our high-caloric diet in combination with a sedentary lifestyle. Hitherto, researchers have not fully understood the cause of this disease and despite the high number of affected individuals, there is no approved therapy.

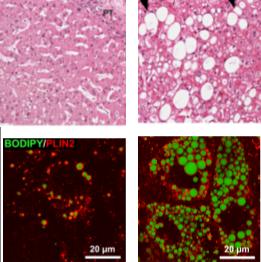
In order to improve our understanding of the basic mechanisms underlying the etiology of NAFLD, Dr. Nina Graffmann, Prof. James Adjaye and the team of the Institute for Stem Cell research and Regenerative Medicine from the University Hospital Duesseldorf differentiated induced pluripotent stem cells (iPSCs) derived from healthy donors and NAFLD patients into hepatocyte-like cells (HLCs). The HLCs were stimulated with fatty acids to mimic a scenario where an individual consumes excess fat in their diet. The lipid droplets produced in HLCs are akin to lipid droplets seen in the livers of NAFLD patients.

The analysis of fat incorporation was carried out in collaboration with Prof. Beller of the Systems Biology of Lipid Metabolism group - Heinrich-Heine-University Duesseldorf, Germany.

The recent publication in Biology Open (Publisher-Company of Biologists) demonstrates a strong heterogeneity between cell lines, regarding gene expression and lipid droplet morphology. The scientists think that this is due to the plethora of metabolic networks involved in the development of the disease. It also mirrors the multifaceted, patient-dependent phenotypes which make NAFLD a highly complex disease as the group has shown in an earlier study (Wruck et al, 2015). Nonetheless, the scientists could identify gene expression patterns that correlate with disease severity.

Adiponectin is a molecule synthesized by human fat cells, which has been shown to positively influence hepatocyte metabolism. In the institute for Organic Chemistry and Macromolecular Chemistrymof Heinrich-Heine-University Duesseldorf, Prof. Constantin Czekelius and his team produced a synthetic analogue called AdipoRon for this study. AdipoRon has been first used in mice, were it had a significant anti-diabetic effect (Okada-Iwabu et al, 2013).

Treating HLCs with AdipoRon again resulted in cell line / genetic background specific effects. In addition, AdipoRon affected transcription of genes associated with metabolism, transport, immune system, cell stress and signalling.

"We could recapitulate important aspects of NAFLD with our stem cell based cell culture model. We are going to use it for further studies, because established animal models cannot reproduce the complex human metabolic pathways involved in the development of the disease," explains Dr. Graffmann.

"Once again we have shown that although iPSC- derived hepatocyte-like cells are immature in nature, i.e. fetal, these cells still have immense usefulness in their application in drug discovery and for dissecting disease mechanisms such as NAFLD" says Prof. James Adjaye.

###

References:

Graffmann, N., Ncube, A., Martins, S., Fiszl, A., Reuther, P., Bohndorf, M., Wruck, W., Beller, M., Czekelius, C. & Adjaye, J. (2020) A stem cell based in vitro model of NAFLD enables the analysis of patient specific individual metabolic adaptations in response to a high fat diet and AdipoRon interference. Biology open .

Okada-Iwabu, M., Yamauchi, T., Iwabu, M., Honma, T., Hamagami, K., Matsuda, K., Yamaguchi, M., Tanabe, H., Kimura-Someya, T., Shirouzu, M., Ogata, H., Tokuyama, K., Ueki, K., Nagano, T., Tanaka, A., Yokoyama, S. & Kadowaki, T. (2013) A small-molecule AdipoR agonist for type 2 diabetes and short life in obesity. Nature , 503(7477), 493-9.

Wruck, W., Graffmann, N., Kawala, M. A. & Adjaye, J. (2017) Concise Review: Current Status and Future Directions on Research Related to Nonalcoholic Fatty Liver Disease. Stem Cells , 35(1), 89-96.

Wruck, W., Kashofer, K., Rehman, S., Daskalaki, A., Berg, D., Gralka, E., Jozefczuk, J., Drews, K., Pandey, V., Regenbrecht, C., Wierling, C., Turano, P., Korf, U., Zatloukal, K., Lehrach, H., Westerhoff, H. V. & Adjaye, J. (2015) Multi-omic profiles of human non-alcoholic fatty liver disease tissue highlight heterogenic phenotypes. Scientific Data , 2, 150068.

Biology Open

Keywords

Article Information

Contact Information

Source

How to Cite This Article

APA:
Heinrich-Heine University Duesseldorf. (2021, January 25). A stem cell based cell culture model for nonalcoholic fatty liver disease. Brightsurf News. https://www.brightsurf.com/news/86ZOPPR8/a-stem-cell-based-cell-culture-model-for-nonalcoholic-fatty-liver-disease.html
MLA:
"A stem cell based cell culture model for nonalcoholic fatty liver disease." Brightsurf News, Jan. 25 2021, https://www.brightsurf.com/news/86ZOPPR8/a-stem-cell-based-cell-culture-model-for-nonalcoholic-fatty-liver-disease.html.