Bluesky Facebook Reddit Email

Tumor surroundings are shown to affect progression of different cancer subtypes

05.27.15 | Cold Spring Harbor Laboratory

SAMSUNG T9 Portable SSD 2TB

SAMSUNG T9 Portable SSD 2TB transfers large imagery and model outputs quickly between field laptops, lab workstations, and secure archives.


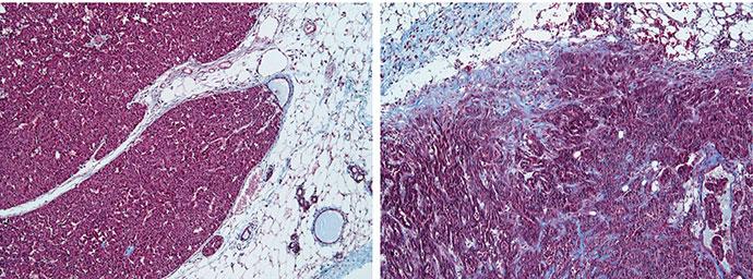
Cold Spring Harbor, NY -- Our environment can have a major impact on how we develop, and it turns out it's no different for cancer cells. In work published today in Neoplasia , a team of researchers led by Associate Professor Mikala Egeblad at Cold Spring Harbor Laboratory (CSHL) found that two different mouse models of breast cancer progressed differently based on characteristics of the tumor microenvironment - the area of tissue in which the tumor is embedded.

The tumor microenvironment includes cells and extracellular molecules that support the tumor's growth. Egeblad and her team looked at two types of breast cancer driven by different mutations, and found very different microenvironments. One common factor was the presence of an extracellular protein called matrix metalloproteinase 9 (MMP9). It was expressed at similar levels in tumors from both breast cancer mouse models.

MMP9 previously has been linked to the progression of many types of cancers. When the researchers deleted the Mmp9 gene, they found that the absence of the MMP9 protein delayed tumor onset only in one mouse model, and had no effect in the other model.

Egeblad and her team found that whether MMP9 promoted cancer or not depended on the tumor microenvironment. Specifically, on the presence of another molecule that MMP9 is known to act on, called insulin-like growth factor binding protein 1 (IGFBP-1). "If IGFBP-1 is not there, MMP9 didn't really have an effect, but if it's there, then MMP9 has a role," says Egeblad. This suggests that IGFBP-1 interacts with MMP9 to promote tumor formation.

IGFBP-1 binds insulin-like growth factors (IGFs), which play a role in promoting cancer proliferation. "IGFBP-1 keeps the growth factors sequestered so they can't act on the cancer cells and can't make them proliferate," Egeblad says. "But if MMP9 is present, it degrades these IGFBPs and releases the growth factors." The release of the IGFs then accelerates cancer progression.

Egeblad and her team looked in human cancer databases to see if the interaction between MMP9 and IGFBPs predicted breast cancer prognosis in humans. "We found that IGF-binding proteins are associated with a good prognosis, but if MMP9 is also present, there's no longer good association with survival," Egeblad says.

The study's results have implications for anti-cancer drugs that target MMPs, and may explain why previous clinical trials using MMP inhibitors have failed, Egeblad says. "Maybe you can actually think about using these inhibitors if you better understand their biology," she says. The new study suggests that trials of MMP inhibitors could focus on patients whose tumor microenvironment contains IGFBPs, she says.

More broadly, the research suggests that it may not be enough to see if a particular drug target is present in a certain type of cancer; researchers may also need to look for the presence of the molecules that the drug target acts upon. "It complicates things, but I think biologically it makes a lot of sense. You really need to dig deep and understand mechanistically what the target does," Egeblad says.

The lab's next goal is to look more generally at the differences in microenvironments in different types of cancer. "What we're starting to learn now is that the microenvironments are different in different tumors, and that there is really a very intricate interplay between what's driving the mutations in cancer cells and the type of microenvironment they build around themselves," Egeblad says.

###

This work was supported by funds from the NIH (R01CA057621), the Breast Cancer Alliance, the Long Island 2 Day Walk to Fight Breast Cancer, the Manhasset Women's Coalition Against Breast Cancer, the University of Copenhagen, the Augustinus Fonden, the Dagmar Marshalls Fond, the European Association for Cancer Research, and a postdoctoral fellowship from the U.S. Department of Defense Breast Cancer Research Program.

"Presence of insulin-like growth factor binding proteins correlates with tumor-promoting effects of matrix metalloproteinase 9 in breast cancer " appears online in Neoplasia on May 27, 2105, 2015. The authors are: Jae-Hyun Park, Ph.D.; Morten G Rasch, Ph.D.; Jing Qiu; Ida K Lund, Ph.D.; Mikala Egeblad. The paper can be obtained online at: http://neoplasia.org/article/S1476-5586 (15)00047-0/fulltext

About Cold Spring Harbor Laboratory

Celebrating its 125th anniversary in 2015, Cold Spring Harbor Laboratory has shaped contemporary biomedical research and education with programs in cancer, neuroscience, plant biology and quantitative biology. Home to eight Nobel Prize winners, the private, not-for-profit Laboratory is more than 600 researchers and technicians strong. The Meetings & Courses Program hosts more than 12,000 scientists from around the world each year on its campuses in Long Island and in Suzhou, China. The Laboratory's education arm also includes an academic publishing house, a graduate school and programs for middle and high school students and teachers. For more information, visit http://www.cshl.edu

Neoplasia

Keywords

Article Information

Contact Information

Peter Tarr
Cold Spring Harbor Laboratory
tarr@cshl.edu

How to Cite This Article

APA:
Cold Spring Harbor Laboratory. (2015, May 27). Tumor surroundings are shown to affect progression of different cancer subtypes. Brightsurf News. https://www.brightsurf.com/news/8JX5RVYL/tumor-surroundings-are-shown-to-affect-progression-of-different-cancer-subtypes.html
MLA:
"Tumor surroundings are shown to affect progression of different cancer subtypes." Brightsurf News, May. 27 2015, https://www.brightsurf.com/news/8JX5RVYL/tumor-surroundings-are-shown-to-affect-progression-of-different-cancer-subtypes.html.