Bluesky Facebook Reddit Email

Scarring cells revert to inactive state as liver heals

05.07.12 | University of California - San Diego

Anker Laptop Power Bank 25,000mAh (Triple 100W USB-C)

Anker Laptop Power Bank 25,000mAh (Triple 100W USB-C) keeps Macs, tablets, and meters powered during extended observing runs and remote surveys.


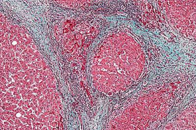
An international team of scientists, led by researchers at the University of California, San Diego School of Medicine, report that significant numbers of myofibroblasts – cells that produce the fibrous scarring in chronic liver injury – revert to an inactive phenotype as the liver heals. The discovery in mouse models could ultimately help lead to new human therapies for reversing fibrosis in the liver, and in other organs like the lungs and kidneys.

The work is published in the May 7, 2012 online Early Edition of the Proceedings of the National Academy of Sciences .

"The take-away message is two-fold," said David A. Brenner, MD, vice chancellor for Health Sciences, dean of the UC San Diego School of Medicine and senior author of the paper. "First, we've shown that liver fibrosis is markedly reversible and we now better understand how it happens. Second, we can start looking for ways to direct active myofibroblasts to stop producing scar, and become inactive. We can focus on developing drugs that promote cell change and regression. It raises the bar for prospective treatment tremendously."

Liver fibrosis is the 12th leading cause of death in the United States. It is the result of chronic liver injury caused by such agents as the hepatitis B and C viruses, alcoholic liver disease and non-alcoholic steatohepatitis. The condition is manifested by extensive scarring of liver tissue and the organ's progressive inability to filter body toxins. Liver fibrosis precedes the development of liver cancer. Often, the only treatment for end-stage liver fibrosis is an organ transplant.

Fibrosis begins when infectious agents or excessive alcohol consumption trigger activation of hepatic stellate cells (HSCs), which normally act as quiescent storage units for nutrients like vitamin A in the liver. Once activated, these HSCs acquire characteristics of another cell type called myofibroblasts, which are characterized by their abundant production of extracellular matrix proteins such as collagen. These proteins accumulate as scar tissue, rendering the organ progressively dysfunctional.

However, if the source of the liver injury is successfully treated or eliminated, the liver can repair itself. In part, this is due to the activated HSCs undergoing apoptosis (programmed cell death) and being removed by other cells. But UC San Diego scientists say that, in tests using a mouse model, as many as half of all activated HSCs persist. They do not die, but rather revert to an inactive phenotype during fibrotic regression.

"After one month of regression, these cells have stopped producing collagen. They've upregulated some of the genes associated with quiescence and returned to their normal location in the liver," said Tatiana Kisseleva, MD, PhD, an assistant research scientist and first author of the study.

It's not clear why these myofibroblasts survive. Also, scientists note the reverted myofibroblasts do not completely return to their original quiescent state. "They're still more susceptible to repetitive injury than original quiescent HSCs," said Kisseleva, who noted future tests will investigate whether additional reversion occurs with more time.

Kisseleva suggested the findings present another avenue for treating liver fibrosis, especially in possibly reverting fibrosis and cirrhosis, which accounts for roughly 27,000 deaths in the United States annually.

Fibrosis occurs in other organs as well, such as the kidneys and lungs, with comparable deadly effect. Recent studies indicate fibrotic reversibility in these organs as well. "Our findings are applicable to other fibrosing organs," said Kisseleva. "Instead of killing damaged cells, we might be able to de-activate them and revert them to healthy originals."

Co-authors of the study are Min Cong, Chunyan Jiang, Keiko Iwaisako, Brian Scott and Wolfgang Dillmann, Department of Medicine, UC San Diego; YongHan Paik, Department of Medicine, UC San Diego and Department of Medicine, Sungkyunkwan University School of Medicine, Seoul, South Korea; David Scholten, Department of Medicine, UC San Diego and Department of Medicine III, University Hospital Aachen, Germany; Thomas Moore-Morris and Sylvia M. Evans, Skaggs School of Pharmacy and Pharmaceutical Science, UC San Diego; Hidekazu Tsukamoto, Keck School of Medicine, University of Southern California.

Proceedings of the National Academy of Sciences

Keywords

Article Information

Contact Information

Scott LaFee
slafee@ucsd.edu

How to Cite This Article

APA:
University of California - San Diego. (2012, May 7). Scarring cells revert to inactive state as liver heals. Brightsurf News. https://www.brightsurf.com/news/8JX6OYZL/scarring-cells-revert-to-inactive-state-as-liver-heals.html
MLA:
"Scarring cells revert to inactive state as liver heals." Brightsurf News, May. 7 2012, https://www.brightsurf.com/news/8JX6OYZL/scarring-cells-revert-to-inactive-state-as-liver-heals.html.