Bluesky Facebook Reddit Email

Two proteins control the growth of the heart and its adaptation to high blood pressure

01.22.16 | Centro Nacional de Investigaciones Cardiovasculares Carlos III (F.S.P.)

SAMSUNG T9 Portable SSD 2TB

SAMSUNG T9 Portable SSD 2TB transfers large imagery and model outputs quickly between field laptops, lab workstations, and secure archives.


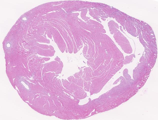
Researchers at the Centro Nacional de Investigaciones Cardiovasculares Carlos III (CNIC) have identified how two proteins control the growth of the heart and its adaptation to high blood pressure (hypertension). Lead investigator Dr. Guadalupe Sabio explains that the results, described in Nature Communications , not only increase our understanding of the mechanisms used by cardiac cells to grow and adapt, but could also help in the design of new strategies to treat heart failure caused by excessive growth of the heart. The study, carried out by Dr. Sabio and CNIC investigator Bárbara Gonzalez-Terán, shows for the first time that two proteins, p38 gamma and p38 delta, control heart growth.

The heart adapts to the changing needs of each stage of life by adjusting its size. In this way the heart grows in line with the rest of our body, including during pregnancy, in a process called cardiac hypertrohpy. However, excessive physical exercise, hypertension, and obesity can trigger excessive heart growth (pathological hypertrophy), a situation that can lead to a heart attack. Understanding the molecular processes that regulate heart function and growth is therefore of immense importance.

Dr. Sabio's group has found that p38 gamma and p38 delta regulate the growth of the left ventricle, the largest and strongest heart chamber, responsible for pumping oxygenated blood to the body. The research team showed that the hearts of mice lacking these proteins are smaller than normal. These hearts, although they function normally, are incapable of responding to external stimuli, such as high blood pressure.

The discovery advances understanding of the mechanisms through which heart cells grow and adapt. Moreover, as Dr. Sabio explains, "this new information could help in the design of new strategies to combat heart conditions caused by anomalous growth of heart muscle."

Controller genes

To date, the only way to prevent excessive heart growth has been to control blood pressure. The identification of the genes that control cardiac hypertrophy will increase understanding of the shared features of cardiac disease and the normal adaptation and grow of the heart according to the physiological needs of the organism.

###

Nature Communications

10.1038/NCOMMS10477

Keywords

Article Information

Contact Information

Fatima Lois
flois@cnic.es

How to Cite This Article

APA:
Centro Nacional de Investigaciones Cardiovasculares Carlos III (F.S.P.). (2016, January 22). Two proteins control the growth of the heart and its adaptation to high blood pressure. Brightsurf News. https://www.brightsurf.com/news/8JXWNG4L/two-proteins-control-the-growth-of-the-heart-and-its-adaptation-to-high-blood-pressure.html
MLA:
"Two proteins control the growth of the heart and its adaptation to high blood pressure." Brightsurf News, Jan. 22 2016, https://www.brightsurf.com/news/8JXWNG4L/two-proteins-control-the-growth-of-the-heart-and-its-adaptation-to-high-blood-pressure.html.