Bluesky Facebook Reddit Email

Modest alcohol consumption lowers risk and severity of liver disease

04.19.12 | University of California - San Diego

Meta Quest 3 512GB

Meta Quest 3 512GB enables immersive mission planning, terrain rehearsal, and interactive STEM demos with high-resolution mixed-reality experiences.


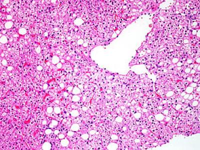
People with nonalcoholic fatty liver disease (NALFD) who consume alcohol in modest amounts – no more than one or two servings per day – are half as likely to develop hepatitis as non-drinkers with the same condition, reports a national team of scientists led by researchers at the University of California, San Diego School of Medicine.

The findings are published in the April 19, 2012 online issue of The Journal of Hepatology.

NALFD is the most common liver disease in the United States, affecting up to one third of American adults. It's characterized by abnormal fat accumulation in the liver. The specific cause or causes is not known, though obesity and diabetes are risk factors. Most patients with NAFLD have few or no symptoms, but in its most progressive form, known as nonalcoholic steatohepatitis or NASH, there is a significantly heightened risk of cirrhosis, liver cancer and liver-related death.

NALFD is also a known risk factor for cardiovascular disease (CVD). Patients with NAFLD are approximately two times more likely to die from coronary heart disease than from liver disease. The study's authors wanted to know if the well-documented heart-healthy benefits of modest alcohol consumption outweighed alcohol's negative effects.

"We know a 50-year-old patient with NAFLD has a higher risk of CVD," said Jeffrey Schwimmer, MD, associate professor of clinical pediatrics at UC San Diego, director of the Fatty Liver Clinic at Rady Children's Hospital-San Diego and senior author. "Data would suggest modest alcohol consumption would be beneficial (in reducing the patient's CVD risk) if you don't take liver disease into account. When you do take liver disease into account, however, the usual medical recommendation is no alcohol whatsoever."

Schwimmer and colleagues discovered that the benefits of modest alcohol consumption were compelling, at least in terms of reducing the odds of patients with NAFLD from developing more severe forms of the disease. Patients with NASH are 10 times more likely to progress to cirrhosis, the final phase of chronic liver disease. Cirrhosis is the 12th leading cause of death in the U.S., killing an estimated 27,000 Americans annually.

"Our study showed that those people with modest alcohol intake – two drinks or less daily – had half the odds of developing NASH than people who drank no alcohol," said Schwimmer. "The reasons aren't entirely clear. It's known that alcohol can have beneficial effects on lipid levels, that it increases 'good' cholesterol, which tends to be low in NAFLD patients. Alcohol may improve insulin sensitivity, which has a role in NAFLD. And depending upon the type of alcohol, it may have anti-inflammatory effects."

The study also found that in patients with NAFLD, modest drinkers experienced less severe liver scarring than did lifelong non-drinkers.

The study did not evaluate the effects of different types of alcohol, such as beer or spirits. Schwimmer said to do so would require a much larger study. Also, the study's findings do not apply to children. All of the participants in the study were age 21 and older.

The current paper is based on analyses of 600 liver biopsies of patient's with NAFLD by a national panel of pathologists who had no identifying clinical information about the samples. The study excluded anyone who averaged more than two alcoholic drinks per day or who reported consuming five or more drinks in a day (binge-drinking) at least once a month. All of the patients were at least 21 years of age.

Schwimmer said the findings indicate patients with liver disease should be treated individually, with nuance.

"For a patient with cirrhosis or viral hepatitis, the data says even small amounts of alcohol can be bad. But that may not be applicable to all forms of liver disease. Forty million Americans have NAFLD. Physicians need to look at their patient's overall health, their CVD risk, their liver status, whether they're already drinking modestly or not. They need to put all of these things into a framework to determine risk. I suspect modest alcohol consumption will be an appropriate recommendation for many patients, but clearly not all."

Co-authors are Winston Dunn, departments of Pediatrics and Medicine, UC San Diego and Gastroenterology and Hepatology, Department of Medicine, University of Kansas Medical Center; Arun J. Sanyal, Division of Gastroenterology, Hepatology and Nutrition, Department of Internal Medicine, Virginia Commonwealth University Medical Center; Elizabeth M. Brunt, John Cochran VA Medical Center, Saint Louis and Division of Gastroenterology, Saint Louis University School of Medicine; Aynur Unalp-Arida, Department of Epidemilogy, Johns Hopkins Bloomberg School of Public Health; Michael Donohue, Division of Biostatics and Bioinformatics, Department of Family and Preventive Medicine, UC San Diego; and Arthur J. McCullough, Department of Gastroenterology and Hepatology, Cleveland Clinic.

Funding for this research came, in part, from the National Institute of Diabetes and Digestive and Kidney Diseases, the National Institute of Child Health and Human Development and the National Cancer Institute.

Journal of Hepatology

Keywords

Article Information

Contact Information

Scott LaFee
University of California - San Diego
slafee@ucsd.edu

How to Cite This Article

APA:
University of California - San Diego. (2012, April 19). Modest alcohol consumption lowers risk and severity of liver disease. Brightsurf News. https://www.brightsurf.com/news/8OJDO521/modest-alcohol-consumption-lowers-risk-and-severity-of-liver-disease.html
MLA:
"Modest alcohol consumption lowers risk and severity of liver disease." Brightsurf News, Apr. 19 2012, https://www.brightsurf.com/news/8OJDO521/modest-alcohol-consumption-lowers-risk-and-severity-of-liver-disease.html.