Bluesky Facebook Reddit Email

Carnegie Mellon brain imaging research shows how unconscious processing improves decision-making

02.13.13 | Carnegie Mellon University

GoPro HERO13 Black

GoPro HERO13 Black records stabilized 5.3K video for instrument deployments, field notes, and outreach, even in harsh weather and underwater conditions.


PITTSBURGH—When faced with a difficult decision, it is often suggested to "sleep on it" or take a break from thinking about the decision in order to gain clarity.

But new brain imaging research from Carnegie Mellon University, published in the journal " Social Cognitive and Affective Neuroscience ," finds that the brain regions responsible for making decisions continue to be active even when the conscious brain is distracted with a different task. The research provides some of the first evidence showing how the brain unconsciously processes decision information in ways that lead to improved decision-making.

"This research begins to chip away at the mystery of our unconscious brains and decision-making," said J. David Creswell, assistant professor of psychology in CMU's Dietrich College of Humanities and Social Sciences and director of the Health and Human Performance Laboratory. "It shows that brain regions important for decision-making remain active even while our brains may be simultaneously engaged in unrelated tasks, such as thinking about a math problem. What's most intriguing about this finding is that participants did not have any awareness that their brains were still working on the decision problem while they were engaged in an unrelated task."

For the study, Creswell, recent CMU graduate James K. Bursley and Northeastern University's Ajay B. Satpute presented 27 healthy adults with information about cars and other items while undergoing neuroimaging. Then, before being asked to make decisions about the items, the participants had to complete a difficult distractor task — memorizing sequences of numbers — to prevent them from consciously thinking about the decision information.

The results included three main findings. First, the team confirmed previous research demonstrating that a brief period of distraction — in this case two minutes — produced higher quality decisions about the cars and other items. But did this effect occur because the distraction period provided an opportunity for the brain to take a break from decision-making and then return to the problem with a fresh look? Or alternatively, does the brain continue to unconsciously process decision information during this distraction period? This research supports the latter unconscious processing explanation.

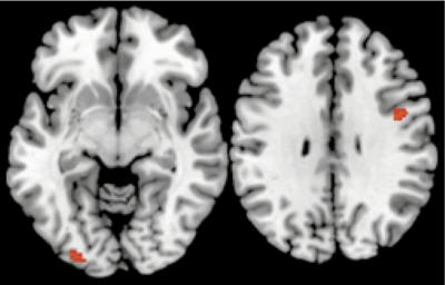
When the participants were initially learning information about the cars and other items, the neuroimaging results showed activation in the visual and prefrontal cortices, regions that are known to be responsible for learning and decision-making. Additionally, during the distractor task, both the visual and prefrontal cortices continued to be active — or reactivated — even though the brain was consciously focused on number memorization.

Third, the results showed that the amount of reactivation within the visual and prefrontal cortices during the distractor task predicted the degree to which participants made better decisions, such as picking the best car in the set.

"We all face difficult problems we need to solve on a regular basis," Creswell said. "Whether it's buying a new car, finding a new apartment to rent, or seeking out a new dating partner on social networking sites. This study provides some of the first clues for how our brains process this information for effective problem-solving and decision-making."

Bursley (DC'12), who joined CMU's Health and Human Performance Laboratory as a freshman, spent his undergraduate career working on this research and related studies. To support his work, he received a Small Undergraduate Research Grant (SURG) and Summer Undergraduate Research Fellowship (SURF). Bursley also received a Rothberg Research Award in Human Brain Imaging, made possible by Carnegie Mellon alumnus and trustee Jonathan M. Rothberg (E'85), founder of four genetics companies aimed at improving human health.

"Carnegie Mellon was the perfect place to carry out this work because there's a significant focus here on pursuing new directions in mind-brain research," Bursley said. "This study is really a starting point. We also are using brain imaging to see if we find the same reactivation patterns in learning tasks that we saw here in decision-making."

CMU's Department of Psychology has helped to establish Carnegie Mellon as a world leader in brain sciences. The university recently launched a Brain, Mind and Learning initiative to build from its research excellence in psychology, computer science and computation to continue to solve real-world problems.

For more information on how distraction improves decision-making, watch this video: http://youtu.be/eFX5S0tpTUA .

The Pittsburgh Life Sciences Greenhouse Opportunity Fund supported this research.

Social Cognitive and Affective Neuroscience

Keywords

Article Information

Contact Information

Shilo Rea
Carnegie Mellon University
shilo@cmu.edu

How to Cite This Article

APA:
Carnegie Mellon University. (2013, February 13). Carnegie Mellon brain imaging research shows how unconscious processing improves decision-making. Brightsurf News. https://www.brightsurf.com/news/8OJOXVN1/carnegie-mellon-brain-imaging-research-shows-how-unconscious-processing-improves-decision-making.html
MLA:
"Carnegie Mellon brain imaging research shows how unconscious processing improves decision-making." Brightsurf News, Feb. 13 2013, https://www.brightsurf.com/news/8OJOXVN1/carnegie-mellon-brain-imaging-research-shows-how-unconscious-processing-improves-decision-making.html.