Bluesky Facebook Reddit Email

New non-invasive technique controls size of molecules penetrating the blood-brain barrier

08.14.14 | Columbia University School of Engineering and Applied Science

Rigol DP832 Triple-Output Bench Power Supply

Rigol DP832 Triple-Output Bench Power Supply powers sensors, microcontrollers, and test circuits with programmable rails and stable outputs.


New York, NY—August 14, 2014—A new technique developed by Elisa Konofagou, professor of biomedical engineering and radiology at Columbia Engineering, has demonstrated for the first time that the size of molecules penetrating the blood-brain barrier (BBB) can be controlled using acoustic pressure—the pressure of an ultrasound beam—to let specific molecules through. The study was published in the July issue of the Journal of Cerebral Blood Flow & Metabolism .

"This is an important breakthrough in getting drugs delivered to specific parts of the brain precisely, non-invasively, and safely, and may help in the treatment of central nervous system diseases like Parkinson's and Alzheimer's," says Konofagou, whose National Institutes of Health Research Project Grant (R01) funding was just renewed for another four years for an additional $2.22 million. The award is for research to determine the role of the microbubble in controlling both the efficacy and safety of drug safety through the BBB with a specific application for treating Parkinson's disease.

Most small—and all large—molecule drugs do not currently penetrate the blood-brain barrier that sits between the vascular bed and the brain tissue. "As a result," Konofagou explains, "all central nervous system diseases remain undertreated at best. For example, we know that Parkinson's disease would benefit by delivery of therapeutic molecules to the neurons so as to impede their slow death. But because of the virtually impermeable barrier, these drugs can only reach the brain through direct injection and that requires anesthesia and drilling the skull while also increasing the risk of infection and limiting the number of sites of injection. And transcranial injections rarely work—only about one in ten is successful."

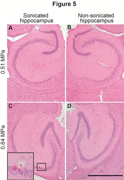
Focused ultrasound in conjunction with microbubbles—gas-filled bubbles coated by protein or lipid shells—continues to be the only technique that can permeate the BBB safely and non-invasively. When microbubbles are hit by an ultrasound beam, they start oscillating and, depending on the magnitude of the pressure, continue oscillating or collapse. While researchers have found that focused ultrasound in combination with microbubble cavitation can be successfully used in the delivery of therapeutic drugs across the BBB, almost all earlier studies have been limited to one specific-sized agent that is commercially available and widely used clinically as ultrasound contrast agents. Konofagou and her team were convinced there was a way to induce a size-controllable BBB opening, enabling a more effective method to improve localized brain drug delivery.

Konofagou targeted the hippocampus, the memory center of the brain, and administered different-sized sugar molecules (Dextran). She found that higher acoustic pressures led to larger molecules accumulating into the hippocampus as confirmed by fluorescence imaging. This demonstrated that the pressure of the ultrasound beam can be adjusted depending on the size of the drug that needs to be delivered to the brain: all molecules of variant sizes were able to penetrate the opened barrier but at distinct pressures, i.e., small molecules at lower pressures and larger molecules at higher pressures.

"Through this study, we've been able to show, for the first time, that we can control the BBB opening size through the use of acoustic pressure," says Konofagou. "We've also learned much more about the physical mechanisms associated with the trans-BBB delivery of different-sized agents, and understanding the BBB mechanisms will help us to develop agent size-specific focused ultrasound treatment protocols."

Konofagou and her Ultrasound Elasticity Imaging Laboratory team plan to continue to work on the treatment of Alzheimer's and Parkinson's in a range of models, and hope to test their technique in clinical trials within the next five years.

"It is frightening to think that in the 21st century we still have no idea now to treat most brain diseases," Konofagou adds. "But we're really excited because we now have a tool that could potentially change the current dire predictions that come with a neurological disorder diagnosis."

Journal of Cerebral Blood Flow & Metabolism

Keywords

Article Information

Contact Information

Holly Evarts
Columbia University School of Engineering and Applied Science
he2181@columbia.edu

Source

How to Cite This Article

APA:
Columbia University School of Engineering and Applied Science. (2014, August 14). New non-invasive technique controls size of molecules penetrating the blood-brain barrier. Brightsurf News. https://www.brightsurf.com/news/8OJP62Q1/new-non-invasive-technique-controls-size-of-molecules-penetrating-the-blood-brain-barrier.html
MLA:
"New non-invasive technique controls size of molecules penetrating the blood-brain barrier." Brightsurf News, Aug. 14 2014, https://www.brightsurf.com/news/8OJP62Q1/new-non-invasive-technique-controls-size-of-molecules-penetrating-the-blood-brain-barrier.html.