Bluesky Facebook Reddit Email

New way to prevent heart complications in children

10.16.22 | Walter and Eliza Hall Institute

Fluke 87V Industrial Digital Multimeter

Fluke 87V Industrial Digital Multimeter is a trusted meter for precise measurements during instrument integration, repairs, and field diagnostics.


Researchers have identified a new way to treat young children with Kawasaki Disease (KD) to prevent life-threatening coronary artery damage and heart attacks.

The WEHI-led study showed that treatment with drugs called mTOR inhibitors can prevent the formation of coronary artery damage and aneurysms, a much-feared complication of KD.

Importantly, mTOR inhibitors are already known to be safe and effective in other clinical uses, meaning this therapy could potentially be trialled rapidly in the clinic for children with KD.

At a glance

KD mainly affects children under five years of age and is the most common cause of acquired heart disease in children in developed countries. Up to 300 Australian children are diagnosed with the disease each year.

The specific cause of KD is unknown, but it is generally accepted that infections with common respiratory viruses, including coronavirus, can trigger the disease.

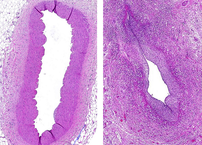
A key clinical feature of KD is inflammation of blood vessels, particularly the coronary arteries that supply blood to the heart.

When severe, this inflammation can cause ‘remodelling’ of the coronary arteries that lead to narrowing and aneurysms in damaged arteries, where the walls weaken and blow out like a balloon.

Risk of heart attack

Severe narrowing and large aneurysms as a result of KD can lead to potentially fatal damage to the heart and predispose patients to heart attacks later in life.

Professor Ian Wicks, Joint Head of Clinical Translation at WEHI, said even children with KD who survive aneurysms may sustain long-term damage to their coronary arteries, requiring treatment including surgery.

“Preventing coronary artery damage is the top priority in KD treatment,” said Professor Wicks.

“Current treatments effectively reduce the risk of developing potentially deadly aneurysms in most children, but we need more options for children whose KD is resistant to these treatments.

“The risk of blood clotting and heart attack in these children makes it very important that we identify therapies that can prevent coronary artery damage.”

Study co-lead author Dr Angus Stock said the new research findings suggested that mTOR inhibitors were capable of both preventing and treating these adverse changes in KD patients who developed coronary artery aneurysms.

“This is particularly exciting as mTOR inhibitors have a proven safety and efficacy profile in related clinical uses, such as preventing arteries from re-narrowing after coronary stenting in adults,” he said.

Cause of coronary damage identified

The WEHI team first investigated the cellular processes that cause KD and showed that remodelling and narrowing of the coronary arteries is driven by overactivity of local connective tissue cells called cardiac fibroblasts.

The researchers were able to identify the source of this abnormal activity as a particular cell-signalling pathway called the mechanistic target of rapamycin (mTOR).

Analysis of the hearts of patients who died as a result of KD confirmed that mTOR signalling was enhanced or ‘up-regulated’ in fibroblasts within inflamed coronary arteries from these children.

“Our research confirmed that mTOR tells fibroblasts in the coronary artery to multiply, causing thickening of the innermost layer of the artery wall,” explained Dr Stock, Senior Research Officer in the Wicks Laboratory at WEHI.

“We then focused on blocking mTOR signalling with rapamycin – the prototype and best-known mTOR inhibitor – as a way of disrupting this proliferation of coronary fibroblasts and hence preventing aneurysms and narrowing of the coronary arteries.”

The study, published in the journal Arthritis & Rheumatology , showed that treatment with rapamycin, also known as sirolimus, limited the growth and activity of fibroblasts in a pre-clinical model of Kawasaki disease.

mTOR inhibitors are currently used in adults to treat and prevent stenosis of coronary arteries and to prevent organ rejection after transplantation.

The drugs can be given orally, giving them a clinical advantage over treatments that must be injected or given intravenously.

“These findings set the scene for clinical trials to assess a currently-used medicine to prevent coronary artery damage and heart disease in treatment-resistant KD,” said Professor Wicks.

Funding support for the research was provided by the NHMRC and WEHI donors Jenny Tatchell and the John T Reid Charitable Trusts.

The authors acknowledge and thank the families of patients with KD and the families of organ donors for allowing the use of their tissue samples in the study.

The study, ‘mTOR inhibition prevents coronary artery remodeling in a murine model of Kawasaki disease’, conducted in collaboration with Dr Sarah Parsons from the Victorian Institute of Forensic Medicine (VIFM), is published in Arthritis & Rheumatology (DOI: 10.1002/art.42340 ).

WEHI authors: Angus Stock, Damian D’Silva, Jacinta Hansen, Ian Wicks

Arthritis & Rheumatology

10.1002/art.42340

Experimental study

Animals

mTOR inhibition prevents coronary artery remodeling in a murine model of Kawasaki disease

Keywords

Article Information

Contact Information

Hashela Kumarawansa
Walter and Eliza Hall Institute
kumarawansa.h@wehi.edu.au

Source

How to Cite This Article

APA:
Walter and Eliza Hall Institute. (2022, October 16). New way to prevent heart complications in children. Brightsurf News. https://www.brightsurf.com/news/8X5M6WY1/new-way-to-prevent-heart-complications-in-children.html
MLA:
"New way to prevent heart complications in children." Brightsurf News, Oct. 16 2022, https://www.brightsurf.com/news/8X5M6WY1/new-way-to-prevent-heart-complications-in-children.html.