Bluesky Facebook Reddit Email

Brand new species of bacterium found in the Gullmarsfjord north of Gothenburg

04.19.10 | University of Gothenburg

SAMSUNG T9 Portable SSD 2TB

SAMSUNG T9 Portable SSD 2TB transfers large imagery and model outputs quickly between field laptops, lab workstations, and secure archives.


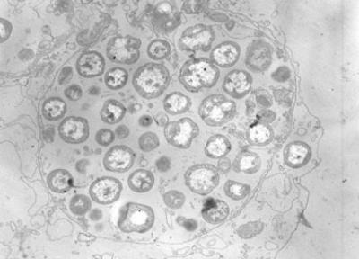
Researchers at the Sven Lovén Centre for Marine Sciences at the University of Gothenburg have discovered a brand new species of bacterium found only in the Gullmarsfjord north of Gothenburg. The bacterium has been named Endoxenoturbella lovénii to honour the newly founded marine research center.

Researcher Matthias Obst from the Department of Zoology is one of many marine scientists based at the Sven Lovén Centre for Marine Sciences, a new institute owned by the University of Gothenburg that includes two modern marine research stations in Kristineberg outside Lysekil and on Tjärnö outside Strömstad.

Brand-new species

In a scientific article, he and his colleagues from the Lovén Centre in Kristineberg describe a brand-new species of bacterium, an endosymbiotic prokaryote living in the gut of a marine worm called Xenoturbella , a creature also unique to the Gullmarsfjord.

Honouring name

As discoverers, Obst and his colleagues had the honour of naming the new bacterium: "To acknowledge the Lovén Centre and its importance as a base for marine biological research, we've decided that the species will be called Endoxenoturbella lovénii ," he says.

Unique animal

The bacteria's host, the Xenoturbella worm, has the size of a thumbnail and possesses a unique body plan, with no brain and no reproductive or sensory organs. This unique creature is invaluable for studies of the early evolution of the animal kingdom, and has drawn researchers from all over the world to the Sven Lovén Centre for Marine Sciences in Kristineberg ever since it was discovered.

Applied and Environmental Microbiology

Keywords

Article Information

Contact Information

How to Cite This Article

APA:
University of Gothenburg. (2010, April 19). Brand new species of bacterium found in the Gullmarsfjord north of Gothenburg. Brightsurf News. https://www.brightsurf.com/news/8XGKN901/brand-new-species-of-bacterium-found-in-the-gullmarsfjord-north-of-gothenburg.html
MLA:
"Brand new species of bacterium found in the Gullmarsfjord north of Gothenburg." Brightsurf News, Apr. 19 2010, https://www.brightsurf.com/news/8XGKN901/brand-new-species-of-bacterium-found-in-the-gullmarsfjord-north-of-gothenburg.html.