Bluesky Facebook Reddit Email

What makes psoriasis sore: Novel role of immune system in the disease

12.03.20 | Fujita Health University

SAMSUNG T9 Portable SSD 2TB

SAMSUNG T9 Portable SSD 2TB transfers large imagery and model outputs quickly between field laptops, lab workstations, and secure archives.


Psoriasis has always been a common disease. Historically, its causes were obscure and surrounded by stigma; it wasn't until recently that scientists categorized it as an autoimmune condition. Indeed, modern scientific research shows that the body's own T-cells, macrophages and dendritic cells are responsible for attacking healthy skin tissue, triggering inflammation and proliferation of skin cells, and resulting in the characteristic red, painful plaque-like lesions experienced by psoriasis patients.

But although these immune-mediating cells have been identified as the primary culprits for the breakdown of healthy skin, their roles do not fully clarify the underlying cause. What makes these cells behave so abnormally?

Based on their existing knowledge of the cellular and genetic pathways linked with the disease, Professor Kazumitsu Sugiura and Dr. Soichiro Watanabe from Fujita Health University, Japan, along with their colleagues, attempted to find out. Their study helped them clarify the role of another potential culprit in the formation of psoriasis lesions: neutrophils. Their findings are published in Scientific Reports .

The most common type of white blood cell, neutrophils are known to be associated with various other chronic and autoimmune conditions, such as rheumatoid arthritis and lupus. Neutrophils have pro-inflammatory effects: once activated, they travel to the site of infection and effectively undergo cell death. During this process, they burst open and release their contents, forming what scientists call "neutrophil extracellular traps" (NETs), a web of proteins and genetic information from the nucleus of the former cell.

NETs have reportedly been found in psoriasis lesions. However, the mechanisms linking the formation of NETs and severe skin inflammation are unknown. Prof Sugiura explains: "NETs and neutrophils can induce inflammation through various mechanisms; we aim to clarify the role of NET signaling and possibly prevent the development of severe psoriasis-like lesions".

A precursor to the activation of NETs in psoriasis is a group of signaling proteins called IL-36 cytokines, whose role in recruiting various white blood cells and inducing inflammation is well acknowledged. For instance, a mutation in the Il36rn gene that causes a deficiency of the IL-36 receptor antagonist (IL-36Ra) protein, allows IL-36 to act uninhibited, leading to inflammation, inducing the proliferation of epidermal cells and increasing neutrophil count in psoriasis-like lesions in the mutant mice, in a condition known as DITRA. This results in skin cells keratinizing (hardening) in the manner seen in psoriasis lesions.

Armed with this theoretical knowledge, Prof. Sugiura and team studied two groups of mice: one healthy (wild type) and another with the aforementioned Il36rn gene mutation. They induced psoriasis-like lesions using imiquimod, a drug known to stimulate IL-36 signaling and subsequent immunological response. After examining the lesions, they found that mutant mice suffered more severe inflammation than the wild type. A more detailed histological analysis revealed that the mutant mice also had significantly higher neutrophil counts and NET concentrations than the wild type. The scientists went one step further and examined the mRNA levels of target cytokines known to be involved in psoriasis formation to elucidate the IL-36 pathway, thereby linking cause and effect.

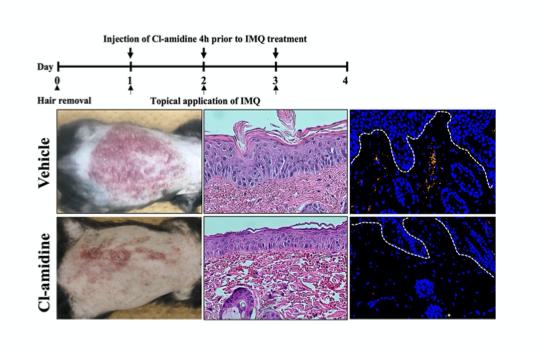
Having identified these complex cellular mechanics, the scientists made a list of potential targets to block the inflammation pathway and prevent psoriasis. They injected the diseased mice with Cl-amidine, a drug which specifically targets and inhibits PAD4--an enzyme responsible for the formation of NETs. After only three days of treatment, they found the lesions, as well as the levels of inflammatory cells and IL-36 signaling proteins, significantly reduced.

Although further research and human clinical trials will be required to confirm the safety and effectiveness of potential psoriasis treatments, Prof. Sugiura and his colleagues are hopeful. Dr. Soichiro Watanabe says, "By providing mechanistic insights into the involvement of neutrophils in psoriasis pathogenesis, our study provides new directions for developing novel promising therapeutic approaches, potentially revolutionizing the quality of life of thousands of people suffering from particularly severe forms of psoriasis."

###

Reference

Title of original paper: Neutrophil extracellular traps are induced in a psoriasis model of interleukin-36 receptor antagonist-deficient mice

Journal: Scientific reports

DOI: 10.1038/s41598-020-76864-y

About Fujita Health University

Fujita Health University is a private university situated in Toyoake, Aichi, Japan. It was founded in 1964 and houses one of the largest teaching university hospitals in Japan in terms of the number of beds. With over 900 faculty members, the university is committed to providing various academic opportunities to students internationally. Fujita Health University has been ranked eighth among all universities and second among all private universities in Japan in the 2020 Times Higher Education (THE) World University Rankings. THE University Impact Rankings 2019 visualized university initiatives for sustainable development goals (SDGs). For the "good health and well-being" SDG, Fujita Health University was ranked second among all universities and number one among private universities in Japan. The university will also be the first Japanese university to host the "THE Asia Universities Summit" in June 2021. The university's founding philosophy is "Our creativity for the people (DOKUSOU-ICHIRI)," which reflects the belief that, as with the university's alumni and alumnae, current students also unlock their future by leveraging their creativity.

Website: https://www.fujita-hu.ac.jp/en/index.html

About Professor Kazumitsu Sugiura and Dr. Soichiro Watanabe from Fujita Health University

Professor Kazumitsu Sugiura, MD, PhD, is the chairman of the Department of Dermatology at Fujita Health University. He is a graduate of the Nagoya University Graduate School of Medicine, and he has conducted research on autoimmunity at the Scripps Research Institute in addition to Nagoya University and Fujita Health University. Dr. Soichiro Watanabe is a researcher at the Department of Dermatology at Fujita Health University.

Funding information

This research project was supported by various grants from AMED, JSPS KAKENHI, the Lydia O'Leary Memorial Pias Dermatological Foundation, and the Maruho Takagi Dermatology Foundation.

Scientific Reports

10.1038/s41598-020-76864-y

Keywords

Article Information

Contact Information

Prof. Kazumitsu Sugiura
Fujita Health University
ksugiura@fujita-hu.ac.jp

Source

How to Cite This Article

APA:
Fujita Health University. (2020, December 3). What makes psoriasis sore: Novel role of immune system in the disease. Brightsurf News. https://www.brightsurf.com/news/8Y46E6KL/what-makes-psoriasis-sore-novel-role-of-immune-system-in-the-disease.html
MLA:
"What makes psoriasis sore: Novel role of immune system in the disease." Brightsurf News, Dec. 3 2020, https://www.brightsurf.com/news/8Y46E6KL/what-makes-psoriasis-sore-novel-role-of-immune-system-in-the-disease.html.