Bluesky Facebook Reddit Email

Studying the development of ovarian cancer with organoids

05.27.20 | Hubrecht Institute

GoPro HERO13 Black

GoPro HERO13 Black records stabilized 5.3K video for instrument deployments, field notes, and outreach, even in harsh weather and underwater conditions.


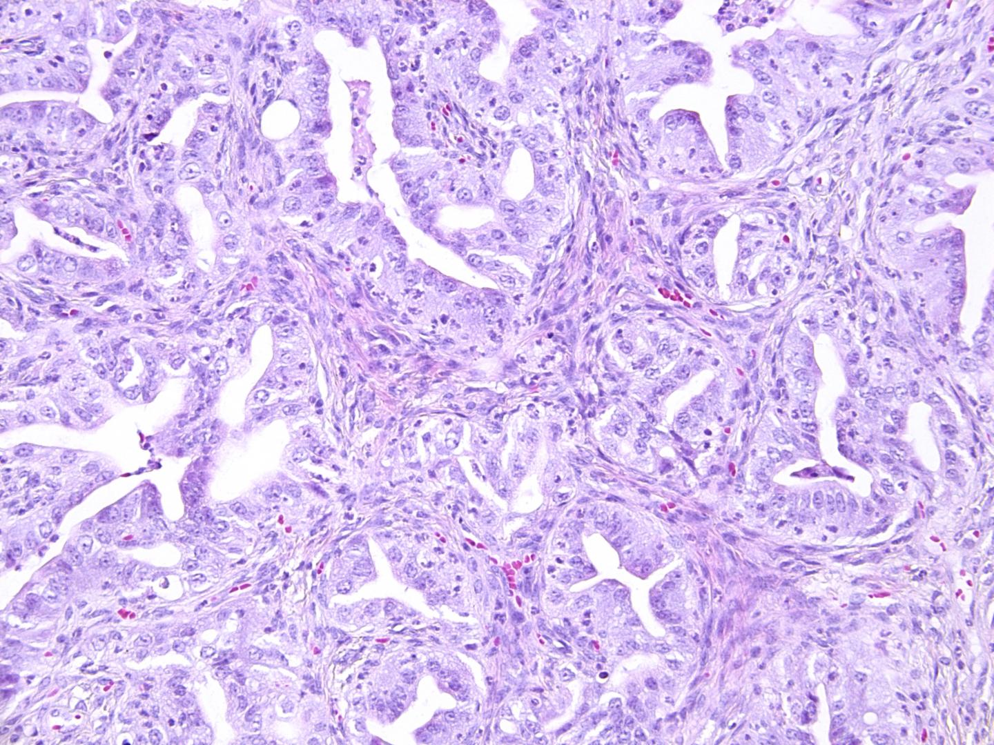
Researchers from the group of Hans Clevers at the Hubrecht Institute have modeled the development and progression of high-grade serous ovarian cancer in mini-versions of the female reproductive organs of the mouse. They found out that the cells of the oviduct, the equivalent of fallopian tubes in humans, are more prone to develop into tumors than those of the ovarian surface epithelium, the outer layer of the ovaries. In the future, such mini-versions, or organoids, of human tissue may be used to better understand how this disease, that is often diagnosed very late, develops. The researchers published their results in the scientific journal Nature Communications on the 27th of May.

High-grade serous ovarian cancer (hereafter referred to as simply "ovarian cancer") is the most common type of ovarian cancer and has the lowest rate of survival. It is often only diagnosed when it has already spread within the pelvis and abdomen, making it harder to treat. Because the early stages of ovarian cancer are not often observed, much is still unknown about the early development of the disease. We do know that ovarian cancer cells often have mutations, or mistakes, in certain genes, such as Trp53, a gene that is often mutated in many types of cancer, Brca1, a gene often mutated in breast cancer, Nf1 and Pten.

Organoids

Researchers in the group of Hans Clevers at the Hubrecht Institute used mini-versions of two parts of female reproductive tract of mice to study the early development of ovarian cancer. They grew mini-versions, or organoids, of the oviducts (in humans called the fallopian tubes) that transport the egg from the ovary to the uterus, and of the ovarian surface epithelium, the outer layer of the ovaries, in the lab from small pieces of tissue from mice. In these organoids, they recreated the mutations found in ovarian cancer. Using the state-of-the-art CRISPR-Cas9 genome editing approach, they mutated the genes Trp53, Brca1, Nf1 and Pten to study how these genes contribute to the development of a tumor.

Mutations

When mutations were introduced in three of the four genes, namely Trp53, Brca1 and either Nf1 or Pten, the organoids acquired characteristics of tumors, such as more densely packed cells and changes in chromosome number. In addition, when these organoids were transplanted back into mice, they developed into tumors that are similar to ovarian cancer tumors in humans.

The researchers found out that organoids from the oviduct were more likely to develop into tumors, grew faster and grew into larger tumors than the organoids from the ovarian surface epithelium. This suggests that ovarian cancer is more likely to originate in the oviduct, or the fallopian tube in humans, compared to the ovarian surface epithelium.

Earlier diagnosis and preventive care

Studying the development and progress of ovarian cancer in such organoid models may help to better understand how ovarian cancer develops in the body. Researchers in the group of Hans Clevers have previously shown that organoids can also be made from the human fallopian tube and the human ovarian surface epithelium. In the future, the researchers may also introduce the specific mutations found in ovarian cancer in these human organoids to further study the development of this disease.

Patients with a mutation in one of the Brca genes are at a high risk of ovarian cancer and can receive preventive treatment. This includes radical surgery in which both ovaries as well as the fallopian tubes are removed, leading to premature menopause in these women. The results in this study support the emerging view that the fallopian tube, not the ovarian surface epithelium around the ovaries, are the main origin for ovarian cancer, which may direct future changes in (preventive) treatment. For example, the Dutch Gynecological Oncology Group recently launched a clinical trial to study whether early removal of only the fallopian tubes and later removal of the ovaries can improve the quality of life for these patients, while also reducing the risk of ovarian cancer.

Knowing more about the development and progression of ovarian cancer may help doctors to better recognize ovarian cancer in the future, enabling earlier treatment and a higher chance of survival.

Publication

Assessing the origin of high-grade serous ovarian cancer using CRISPR-modification of mouse organoids. Kadi Lõhmussaar*, Oded Kopper*, Jeroen Korving, Harry Begthel, Celien P. H. Vreuls, Johan H. van Es, Hans Clevers. Nature Communications 2020.

*These authors contributed equally to this work

Hans Clevers is group leader at the Hubrecht Institute and the Princess Máxima Center for Pediatric Oncology, professor of Molecular Genetics at the UMC Utrecht and Utrecht University, and Oncode Investigator.

About the Hubrecht Institute

About the Hubrecht Institute

The Hubrecht Institute is a research institute focused on developmental and stem cell biology. It encompasses 23 research groups that perform fundamental and multidisciplinary research, both in healthy systems and disease models. The Hubrecht Institute is a research institute of the Royal Netherlands Academy of Arts and Sciences (KNAW), situated on Utrecht Science Park. Since 2008, the institute is affiliated with the UMC Utrecht, advancing the translation of research to the clinic. The Hubrecht Institute has a partnership with the European Molecular Biology Laboratory (EMBL). For more information, visit http://www.hubrecht.eu .

Nature Communications

10.1038/s41467-020-16432-0

Keywords

Article Information

Contact Information

Melanie Fremery
m.fremery@hubrecht.eu

How to Cite This Article

APA:
Hubrecht Institute. (2020, May 27). Studying the development of ovarian cancer with organoids. Brightsurf News. https://www.brightsurf.com/news/8Y49JDOL/studying-the-development-of-ovarian-cancer-with-organoids.html
MLA:
"Studying the development of ovarian cancer with organoids." Brightsurf News, May. 27 2020, https://www.brightsurf.com/news/8Y49JDOL/studying-the-development-of-ovarian-cancer-with-organoids.html.