Bluesky Facebook Reddit Email

Cheaper, more effective treatment of type 1 Gaucher disease possible

10.19.10 | Yale University

Celestron NexStar 8SE Computerized Telescope

Celestron NexStar 8SE Computerized Telescope combines portable Schmidt-Cassegrain optics with GoTo pointing for outreach nights and field campaigns.


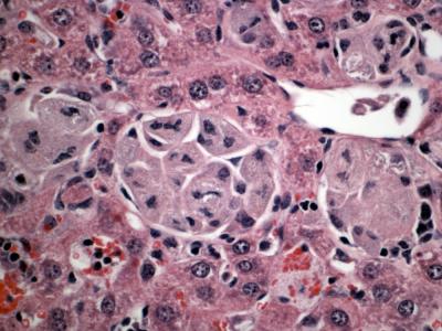
Researchers at Yale School of Medicine have found that new disease pathways involving more than one cell type leads to Type 1 Gaucher disease, a rare genetic disorder in which fatty substances called glycosphingolipids accumulate in cells, resulting in liver/spleen enlargement, osteoporosis, bone pain, and increased risk of cancer and Parkinson's disease.

The new findings could lead to less expensive and more effective ways to treat the disorder, which affects about 1 in 50,000 people in the general population. Those of Eastern and Central European (Ashkenazi) Jewish heritage are at highest risk for the disease, with 1 in 750 affected. The results are published in the October 18 issue of Proceedings of the National Academy of Sciences .

Treatment for Type 1 Gaucher disease—the type that does not cause a rare and fatal neurodegenerative childhood disease—involves expensive recombinant enzyme infusions every two weeks for life, which on average cost $200,000 per year. Gaucher disease symptoms are unpredictable, even among affected siblings. "In order to tailor treatment to individuals, we need an improved understanding of the disease mechanisms," said senior author of the study, Pramod Mistry, M.D., professor of pediatrics and internal medicine at Yale School of Medicine.

For almost 20 years, investigators around the world have tried and failed to develop mouse models of Type 1 Gaucher disease that replicate the human disease faithfully. Mistry and his team were able to develop a mouse model that replicates all of the features of the human disease.

It was previously thought that the disease affects only one cell type in the body called macrophages. "In our study we show that all cell types are involved and lipids that accumulate trigger abnormal signaling resulting in the malfunction of many cell types," said Mistry. "This helps explain aspects of the disease, such as osteoporosis, cancer risk, and risk of Parkinson's disease, all of which did not respond to macrophage-directed enzyme therapy. With this knowledge, we can look forward to developing treatments that are directed not only to macrophages, but to all cell types involved in the disease process."

Mistry and his team have just started enrolling patients in an international trial of a small molecule substrate inhibitor—in the form of a pill, which was developed by Genzyme Corporation. "Because it is a pill and will affect all cell types, we expect it to reverse all, not just part, of the disease. Also, it should be less expensive than enzyme treatment," he said.

The work of a researcher in this study was partially funded by the Yale Clinical and Translational Science Award (CTSA) grant from the National Center for Research Resources at the National Institutes of Health.

Other authors on the study include Jun Liu, Mei Yang, Timothy Nottoli, James McGrath, Dhanpat Jain, Kate Zhang, Joan Keutzer, Wei-Lein Chuang, Wajahat Z. Mehal, Hongyu Zhao, Aiping Lin, Shrikant Mane, Xuan Liu, Yuan Z. Peng, Jian H. Li, Manasi Argawal, Ling-Ling Zhu, Harry C. Blair, Lisa J. Robinson, Jameel Iqbal, Li Sun and Mone Zaidi.

Citation: PNAS doi/10.1073/pnas.

Proceedings of the National Academy of Sciences

Keywords

Article Information

Contact Information

Karen Peart
Yale University
karen.peart@yale.edu

How to Cite This Article

APA:
Yale University. (2010, October 19). Cheaper, more effective treatment of type 1 Gaucher disease possible. Brightsurf News. https://www.brightsurf.com/news/L3Y4ZKZ1/cheaper-more-effective-treatment-of-type-1-gaucher-disease-possible.html
MLA:
"Cheaper, more effective treatment of type 1 Gaucher disease possible." Brightsurf News, Oct. 19 2010, https://www.brightsurf.com/news/L3Y4ZKZ1/cheaper-more-effective-treatment-of-type-1-gaucher-disease-possible.html.