Bluesky Facebook Reddit Email

Pneumonia bacterium leaves tiny lesions in the heart, study finds

09.25.14 | University of Texas Health Science Center at San Antonio

Celestron NexStar 8SE Computerized Telescope

Celestron NexStar 8SE Computerized Telescope combines portable Schmidt-Cassegrain optics with GoTo pointing for outreach nights and field campaigns.


SAN ANTONIO (Sept. 25, 2014) — The long-observed association between pneumonia and heart failure now has more physical evidence, thanks to research in the School of Medicine at The University of Texas Health Science Center at San Antonio.

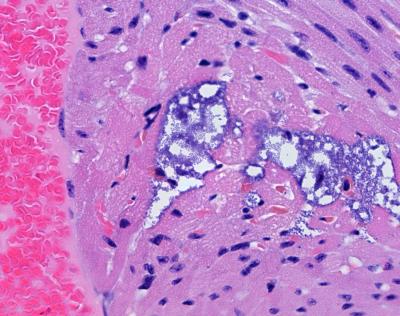
The researchers found proof that Streptococcus pneumoniae, the leading cause of community-acquired pneumonia, actually physically damages the heart. The bacterium leaves tiny lesions that researchers detected in mouse, rhesus macaque and human autopsy tissue samples.

"If you have had severe pneumonia, this finding suggests your heart might be permanently scarred," said study senior author Carlos Orihuela , Ph.D., associate professor of microbiology and immunology at the UT Health Science Center San Antonio.

It's not yet known whether the small lesions contribute to increased risk of death in humans or if the scarring that occurs afterward is permanent, ultimately diminishing cardiac function in individuals who have recovered from a severe infectious disease episode. The team will study the long-term ramifications in non-human primates at the Texas Biomedical Research Institute's Southwest National Primate Research Center.

Streptococcus pneumoniae in the blood invaded the heart and formed lesions in the myocardium, the muscular middle layer of the heart wall, the researchers showed. The team identified mechanisms by which the bacterium is able to spread across endothelial cells in cardiac blood vessels to travel to and infect the heart.

"Fortunately, we have a candidate vaccine that can protect against this," Dr. Orihuela said. The Health Science Center, St. Jude's Children's Research Hospital in Memphis, Tenn., and the University of Oklahoma have claimed intellectual property protection on the vaccine project. The candidate vaccine acts to stop both the movement of the infection into the heart and the toxin that kills heart muscle cells called cardiomyocytes. The vaccine protected immunized animals against cardiac lesion formation, the study showed.

Study limitations included the small sample size of human tissues analyzed, the researchers noted. The American Heart Association and the National Institutes of Health funded the project. The journal PLoS Pathogen published the study online Sept. 18.

Armand Brown, a Translational Science Training Scholar studying for his Ph.D. at the Health Science Center, is lead author. Other co-authors from the Health Science Center include Marcus Restrepo, M.D., of the Division of Pulmonary Diseases and Critical Care Medicine and the South Texas Veterans Health Care System; Martha Hanes, D.V.M., of the Department of Laboratory Animal Resources; and Claude Jourdan Le Saux, Ph.D., of the Janey and Dolph Briscoe Division of Cardiology in the School of Medicine.

On the Web and social media

For current news from the UT Health Science Center San Antonio, please visit our news release website, like us on Facebook or follow us on Twitter .

About the UT Health Science Center at San Antonio

The University of Texas Health Science Center at San Antonio, one of the country's leading health sciences universities, ranks in the top 3 percent of all institutions worldwide receiving National Institutes of Health funding. The university's schools of medicine, nursing, dentistry, health professions and graduate biomedical sciences have produced more than 29,000 graduates. The $765 million operating budget supports eight campuses in San Antonio, Laredo, Harlingen and Edinburg. For more information on the many ways "We make lives better®," visit http://www.uthscsa.edu .

PLOS Pathogens

Keywords

Article Information

Contact Information

How to Cite This Article

APA:
University of Texas Health Science Center at San Antonio. (2014, September 25). Pneumonia bacterium leaves tiny lesions in the heart, study finds. Brightsurf News. https://www.brightsurf.com/news/L3YPN7Z1/pneumonia-bacterium-leaves-tiny-lesions-in-the-heart-study-finds.html
MLA:
"Pneumonia bacterium leaves tiny lesions in the heart, study finds." Brightsurf News, Sep. 25 2014, https://www.brightsurf.com/news/L3YPN7Z1/pneumonia-bacterium-leaves-tiny-lesions-in-the-heart-study-finds.html.