Bluesky Facebook Reddit Email

A fattening gene

04.30.14 | Max-Planck-Gesellschaft

Davis Instruments Vantage Pro2 Weather Station

Davis Instruments Vantage Pro2 Weather Station offers research-grade local weather data for networked stations, campuses, and community observatories.


This news release is available in German .

The long-term consumption of too much high-energy and high-fat food leads to overweight. Behind this trivial statement lies the extremely complex regulation of lipid metabolism. Together with colleagues from Japan, scientists from the Max Planck Institute for Heart and Lung Research in Bad Nauheim have now discovered that the Sirt7 gene plays a central role in energy metabolism. Despite consuming high-fat food, genetically modified mice that lack the gene maintain their normal weight.

Food was not always available to such excess as it is in western societies today. On the contrary, our metabolism was tailored to the optimum exploitation of energy, as humans, for millennia, had to budget their calories carefully. Thus, the formation and depletion of fat depots as energy stores is subject to complex regulation. A series of regulators is involved in lipid metabolism in the liver for the purpose of storing excess energy and making it available again when required.

Working in cooperation with colleagues from the Sendai and Kumamoto Universities in Japan, scientists from the Max Planck Institute for Heart and Lung Research in Bad Nauheim have now identified a protein from the sirtuin group that plays a major role in the utilisation of energy in the context of a high-fat diet and is responsible for the formation of fat depots. Sirtuins are known as a group of proteins with wide-ranging biological functions.

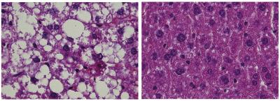
The researchers carried out their tests on mice which lack a sirtuin known as SIRT7. These Sirt7-knockout mice and non-genetically-modified animals were fed particularly high-fat pellets for months. "We established that Sirt7-knockout mice put on significantly less weight than the control group. On the contrary, they maintained their normal weight," says Eva Bober, a scientist at the MPI. Moreover, compared with the non-genetically-modified mice, these animals tended to have lower triglyceride and cholesterol levels in their livers and normal insulin levels. "Everything pointed to the fact that the animals which lacked SIRT7 were able to process the excess energy in the food better and did not build up any pathological fat depots," says Bober.

To investigate the molecular processes behind this observation, the scientists studied the gene activities of the liver cells. In the process, it emerged that SIRT7 activates the expression of a large number of genes for lipid metabolism. In the liver cells from mice without SIRT7, this gene remains largely unactivated and fewer fat depots are formed as a result.

"We discovered a second mechanism as well," says Bober. "SIRT7 also inhibits the degradation of certain proteins. Because they are then active for longer, these proteins also make a greater contribution to energy storage than is actually intended." Conversely, if SIRT7 is missing, these proteins are degraded and fewer fat depots are formed.

The researchers hope that their study will provide the basis for new therapeutic approaches. "We would now like to examine substances with which the function of SIRT7 can be deliberately inhibited. We want to examine whether the same effects arise as observed in the mice that lack the Sirt7 gene," explains Bober. The long-term objective is the development of a drug that would reduce the efficiency of lipid metabolism. This would enable the avoidance of overweight.

Original paper:

Tatsuya Yoshizawa, Md. Fazlul Karim, Yoshifumi Sato, Takafumi Senokuchi, Keishi Miyata, Takaichi Fukuda, Chisa Go, Masayoshi Tasaki, Kohei Uchimura,Tsuyoshi Kadomatsu, Zhe Tian, Christian Smolka, Tomohiro Sawa, Motohiro Takeya, Kazuhito Tomizawa, Yukio Ando, Eiichi Araki, Takaaki Akaike, Thomas Braun, Yuichi Oike, Eva Bober, Kazuya Yamagata

SIRT7 Controls Hepatic Lipid Metabolism by Regulating the Ubiquitin-Proteasome Pathway.
Cell Metabolism , April 2014

Cell Metabolism

Keywords

Article Information

Contact Information

Source

How to Cite This Article

APA:
Max-Planck-Gesellschaft. (2014, April 30). A fattening gene. Brightsurf News. https://www.brightsurf.com/news/L55ZZ5VL/a-fattening-gene.html
MLA:
"A fattening gene." Brightsurf News, Apr. 30 2014, https://www.brightsurf.com/news/L55ZZ5VL/a-fattening-gene.html.