Bluesky Facebook Reddit Email

Single vs. multiple architectural distortion on digital breast tomosynthesis

07.27.22 | American Roentgen Ray Society

SAMSUNG T9 Portable SSD 2TB

SAMSUNG T9 Portable SSD 2TB transfers large imagery and model outputs quickly between field laptops, lab workstations, and secure archives.


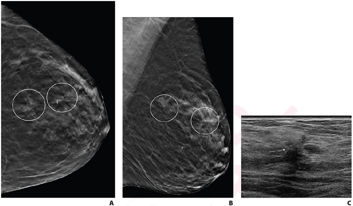
Leesburg, VA, July 27, 2022 According to ARRS’ American Journal of Roentgenology ( AJR ) , for patients with multiple architectural distortion (AD) identified on digital breast tomosynthesis (DBT), biopsy of all areas may be warranted, given the variation of pathologic diagnoses across AD in individual patients.

“Multiple AD, compared with single AD, was significantly more likely to yield high-risk pathology, but there was no significant difference in yield of malignancy,” wrote corresponding author Lilian C. Wang , MD, of Northwestern Medicine. “In patients with multiple AD, multiple ipsilateral or contralateral AD commonly varied in pathologic classification: benign, high risk, or malignant.”

Wang and colleagues’ retrospective study included 402 patients (mean age, 56 years) who underwent image-guided core needle biopsy of AD visualized on DBT between April 7, 2017, and April 16, 2019. Patients were grouped in the single or multiple AD cohort based on the presence of distinct AD areas noted in the clinical report, while the pathologic diagnosis for each AD was based on the most aggressive pathology identified on either biopsy or surgical excision (if performed).

Ultimately, compared with single AD, multiple AD showed a higher frequency of high-risk pathology (53.0% vs. 32.5%, p=.002) but no significantly different frequency of malignancy on a per-lesion or per-patient basis (31.8% vs. 28.2%, p=.56). In 8/24 patients with ≥2 ipsilateral biopsied AD, the ipsilateral areas varied in terms of most aggressive pathology; in 5/10 patients with contralateral biopsied AD, the contralateral areas varied in most aggressive pathology.

“To our knowledge,” the authors of this AJR article contended , “this is the first study to compare pathologic outcomes between patients with single and multiple AD visualized by DBT.”

An electronic supplement to this AJR article is available here .

North America’s first radiological society, the American Roentgen Ray Society (ARRS) remains dedicated to the advancement of medicine through the profession of medical imaging and its allied sciences. An international forum for progress in radiology since the discovery of the x-ray, ARRS maintains its mission of improving health through a community committed to advancing knowledge and skills with the world’s longest continuously published radiology journal— American Journal of Roentgenology —the ARRS Annual Meeting, InPractice magazine, topical symposia, myriad multimedia educational materials, as well as awarding scholarships via The Roentgen Fund ®.

MEDIA CONTACT :

Logan K. Young, PIO

44211 Slatestone Court

Leesburg, VA 20176

703-858-4332

lyoung@arrs.org

American Journal of Roentgenology

10.2214/AJR.22.27625

Imaging analysis

People

Pathologic Outcomes in Single Versus Multiple Areas of Architectural Distortion on Digital Breast Tomosynthesis

27-Jul-2022

Drs. Lilian Wang, Michelle Philip, Sandra Rao, and Rebekah Anders have no disclosures. Dr. Bhole has research grant funding from Google and Clarix Imaging. Dr. Gupta receives research grant funding from Google. Dr. Schacht receives research grant funding from Google and Clarix Imaging and is a consultant on an educational exhibit with Bayer. Dr. Friedewald is a consultant for Hologic and is the principal investigator and recipient of a research grant from Google.

Keywords

Article Information

Contact Information

Logan Young
American Roentgen Ray Society
lyoung@arrs.org

Source

How to Cite This Article

APA:
American Roentgen Ray Society. (2022, July 27). Single vs. multiple architectural distortion on digital breast tomosynthesis. Brightsurf News. https://www.brightsurf.com/news/L59J44V8/single-vs-multiple-architectural-distortion-on-digital-breast-tomosynthesis.html
MLA:
"Single vs. multiple architectural distortion on digital breast tomosynthesis." Brightsurf News, Jul. 27 2022, https://www.brightsurf.com/news/L59J44V8/single-vs-multiple-architectural-distortion-on-digital-breast-tomosynthesis.html.