Bluesky Facebook Reddit Email

Researchers identify components that keep immune system in check

09.19.11 | University of North Carolina Health Care

Creality K1 Max 3D Printer

Creality K1 Max 3D Printer rapidly prototypes brackets, adapters, and fixtures for instruments and classroom demonstrations at large build volume.


CHAPEL HILL, N.C. – Within the immune system, a subtle balance exists between the cells that destroy alien pathogens and those that preserve the body's own tissues. When the balance gets out of whack, the cells that normally target viruses or bacteria can go astray, attacking innocent cells and causing autoimmune and inflammatory disease.

Now, researchers at the University of North Carolina at Chapel Hill have revealed the genetic underpinnings of the cells –called Foxp3-expressing regulatory T cells or Tregs – that can prevent the immune response from turning cannibalistic. Their finding lends insight into these key cells, which are currently being tested as treatments for diseases such as type I diabetes, arthritis and lupus.

"Understanding how the immune system is controlled can give people a better, bigger picture of how these diseases can emerge and could help us find more effective therapies in the future," said senior study author Yisong Y. Wan, PhD, assistant professor of microbiology and immunology at the UNC School of Medicine.

The study, published online Sept. 15, 2011, in the journal Immunity , is the first to implicate a regulatory switch known as GATA-3 in Treg function and immune tolerance. The factor was known to regulate another type of immune cell, called a type-2 helper T cell, but its role in Tregs was unknown.

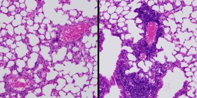
So Wan and his colleagues looked to see what would happen if they deleted the GATA-3 gene specifically in Tregs of mice. They found that the mutant mice developed a spontaneous inflammatory disorder, with abnormal immune cell invasion into tissues (Images). When they delved deeper, the scientists discovered that the Tregs were no longer able to suppress the immune system like they should. The researchers then traced this defect through the chain of command, from the Foxp3 that regulates Treg function (hence the name Foxp3-expressing regulatory T cells), up to the GATA-3 that regulates Foxp3.

Having uncovered this previously unknown function of GATA-3, Wan would now like to see what else this important master regulator may be controlling in immune cells. In particular, he is looking for components of the immune system that could be potential targets for correcting the underlying defects that lead to inflammatory and autoimmune diseases.

The research was funded by the National Institutes of Health, the Lupus Research Institute, and the University Cancer Research Fund. Study co-authors were Yunqi Wang, PhD, postdoctoral associate, and Maureen A. Su, MD, assistant professor in the UNC Thurston Arthritis Center.

Immunity

Keywords

Article Information

Contact Information

Les Lang
University of North Carolina Health Care
llang@med.unc.edu

How to Cite This Article

APA:
University of North Carolina Health Care. (2011, September 19). Researchers identify components that keep immune system in check. Brightsurf News. https://www.brightsurf.com/news/L76OE4N1/researchers-identify-components-that-keep-immune-system-in-check.html
MLA:
"Researchers identify components that keep immune system in check." Brightsurf News, Sep. 19 2011, https://www.brightsurf.com/news/L76OE4N1/researchers-identify-components-that-keep-immune-system-in-check.html.