Bluesky Facebook Reddit Email

A*Star scientists make breakthroughs in ovarian cancer research

08.07.14 | Biomedical Sciences Institutes (BMSI)

Sony Alpha a7 IV (Body Only)

Sony Alpha a7 IV (Body Only) delivers reliable low-light performance and rugged build for astrophotography, lab documentation, and field expeditions.


Scientists at A*STAR's Institute of Medical Biology (IMB) and the Bioinformatics Institute (BII) have found new clues to early detection and personalised treatment of ovarian cancer, currently one of the most difficult cancers to diagnose early due to the lack of symptoms that are unique to the illness.

There are three predominant cancers that affect women – breast, ovarian and womb cancer. Of the three, ovarian cancer is of the greatest concern as it is usually diagnosed only at an advanced stage due to the absence of clear early warning symptoms. Successful treatment is difficult at this late stage, resulting in high mortality rates. Ovarian cancer has increased in prevalence in Singapore as well as other developed countries recently. It is now the fifth most common cancer in Singapore amongst women, with about 280 cases diagnosed annually and 90 deaths per year .

Identifying Ovarian Cancer Earlier

IMB scientists have successfully identified a biomarker of ovarian stem cells, which may allow for earlier detection of ovarian cancer and thus allow treatment at an early stage of the illness.

The team has identified a molecule, known as Lgr5, on a subset of cells in the ovarian surface epithelium . Lgr5 has been previously used to identify stem cells in other tissues including the intestine and stomach, but this is the first time that scientists have successfully located this important biomarker in the ovary. In doing so, they have unearthed a new population of epithelial stem cells in the ovary which produce Lgr5 and control the development of the ovary. Using Lgr5 as a biomarker of ovarian stem cells, ovarian cancer can potentially be detected earlier, allowing for more effective treatment at an early stage of the illness (see Annex A). These findings were published online in Nature Cell Biology in July 2014.

Bioinformatics Analysis to Develop Personalised Treatment

Of the different types of ovarian cancers detected, high-grade serous ovarian carcinoma (HG-SOC) is the most prevalent of epithelial ovarian cancers . It has also proven to be one of the most lethal ovarian cancers, with only 30 per cent of such patients surviving more than five years after diagnosis . HG-SOC remains poorly understood, with a lack of biomarkers identified for clinical use, from diagnosis to prognosis of patient survival rates.

By applying bioinformatics analysis on big cancer genomics data , BII scientists were able to identify genes whose mutation status could be used for prognosis and development of personalized treatment for HG-SOC.

The gene, Checkpoint Kinase 2 (CHEK2), has been identified as an effective prognostic marker of patient survival. HG-SOC patients with mutations in this gene succumbed to the disease within five years of diagnosis, possibly because CHEK2 mutations were associated with poor response to existing cancer therapies (see Annex B). These findings were published in Cell Cycle in July 2014.

Mortality after diagnosis currently remains high, as patients receive similar treatment options of chemotherapy and radiotherapy despite the diverse nature of tumour cells within tumours and across different tumour samples. With these findings, personalised medicine for ovarian cancer could be developed, with targeted treatment that would be optimised for subgroups of patients.

Prof Sir David Lane, Chief Scientist, A*STAR, said, "These findings show how the various research institutes at A*STAR offer their expertise in developing new approaches to examine different aspects of the same disease that have not been successfully studied before, such as ovarian cancer. The diverse capabilities and knowledge of our scientists allows us to investigate diseases holistically, from diagnosis to treatment."

Notes to Editor:

The research findings described in this media release can be found in:

1. the Nature Cell Biology Journal, under the title, "Lgr5 marks stem/progenitor cells in ovary and tubal epithelia" by Annie Ng1, Shawna Tan1, Gurmit Singh1, Pamela Rizk1, Yada Swathi1, Tuan Zea Tan2, Ruby Yun-Ju Huang2,3, Marc Leushacke1 and Nick Barker1,4,5,6

1A*STAR Institute of Medical Biology, Singapore

2Cancer Science Institute of Singapore, National University of Singapore, Singapore

3Department of Obstetrics & Gynaecology, National University Hospital, Singapore

4Centre for Regenerative Medicine, University of Edinburgh, UK

5Department of Biochemistry, Yong Loo Lin School of Medicine, National University of Singapore, Singapore

2. the journal Cell Cycle , under the title "Identification of two poorly prognosed ovarian carcinoma subtypes associated with CHEK2 germline mutation and non-CHEK2 somatic mutation gene signatures" by Ghim Siong Ow1, Anna V Ivshina1, Gloria Fuentes1,2, and Vladimir A Kuznetsov1,3,4.

1Bioinformatics Institute, Agency for Science, Technology and Research (A*STAR), Singapore;

2Centre for Life Science Technologies (CLST), RIKEN, Saitama, Japan;

3Division of Software & Information Systems, School of Computer Engineering, Nanyang Technological University, Singapore;

4School for Integrative Science and Engineering, National University of Singapore, Singapore

Full text of the paper in Cell Cycle can be accessed online from: https://www.landesbioscience.com/journals/cc/article/29271/

Enclosed:

Annex A – A*STAR's IMB finds biomarker for early detection of ovarian cancer

Annex B - A*STAR's BII uncovers potential for personalised treatment of major-type ovarian cancer

For media queries and clarifications, please contact:

Vithya Selvam (Ms)
Senior Officer, Corporate Communications
Agency for Science, Technology and Research
Tel: +65 6826 6291
Email: vithya_selvam@a-star.edu.sg

Vanessa Loh (Ms)
Senior Officer, Corporate Communications
Agency for Science, Technology and Research
Tel: +65 6826 6395
Email: vanessa_loh@a-star.edu.sg

About the Bioinformatics Institute (BII)

The Bioinformatics Institute (BII) is an institute of the Agency for Science, Technology and Research (A*STAR). BII was set up in July 2001 as part of the national initiative to foster and advance biomedical research and human capital for a vibrant knowledge-based Singapore. With a multi-disciplinary focus and collaborative outlook, BII recognises the need for depth and breadth in all its activities for building a thriving world-class biomedical research, graduate training and development hub in Singapore. In addition, BII is proactively involved in building a national resource centre in bioinformatics to meet the evolving needs of the scientific community in Singapore.

For more information on BII, please visit: http://www.bii.a-star.edu.sg

About the Institute of Medical Biology (IMB)

IMB is one of the Biomedical Sciences Institutes of the Agency for Science, Technology and Research (A*STAR). It was formed in 2007, with a mission to study mechanisms of human disease in order to discover new and effective therapeutic strategies for improved quality of life.

IMB has 20 research teams working in three primary focus areas – skin biology, genetic disease and stem cells. The teams work closely with clinical collaborators as well as industry partners, to target the challenging interface between basic science and clinical medicine. IMB's strategic research topics are targeted at translational research to understand the mechanisms of human disease so as to identify new strategies for disease amelioration, cure and eradication and to improve health and wellbeing. Since 2011, IMB has also hosted the inter-research institute Skin Biology Cluster platform, and leads major strategic funding programs in rare genetic diseases and in skin biology. In 2013 IMB became a founding institute of the Skin Research Institute of Singapore.

For more information on IMB, please visit http://www.imb.a-star.edu.sg .

About the Agency for Science, Technology and Research (A*STAR)

The Agency for Science, Technology and Research (A*STAR) is Singapore's lead public sector agency that fosters world-class scientific research and talent to drive economic growth and transform Singapore into a vibrant knowledge-based and innovation driven economy.

In line with its mission-oriented mandate, A*STAR spearheads research and development in fields that are essential to growing Singapore's manufacturing sector and catalysing new growth industries. A*STAR supports these economic clusters by providing intellectual, human and industrial capital to its partners in industry.

A*STAR oversees 18 biomedical sciences and physical sciences and engineering research entities, located in Biopolis and Fusionopolis, as well as their vicinity. These two R&D hubs house a bustling and diverse community of local and international research scientists and engineers from A*STAR's research entities as well as a growing number of corporate laboratories.

For more information on A*STAR, please visit http://www.a-star.edu.sg

ANNEX A – A*STAR'S IMB FINDS BIOMARKER FOR POTENTIAL EARLY DETECTION OF OVARIAN CANCER

Scientists at A*STAR's IMB have identified a biomarker, Lgr5, of ovarian stem cells. Using this biomarker, ovarian cancer could potentially be detected earlier, allowing for more effective treatment at an early stage of the illness.

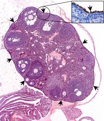
Stem cells exist in many tissues, and are responsible for ensuring healthy tissue function, by giving rise to new cells to replenish those lost during normal wear and tear. However, the existence of stem cells and their identity in the ovary has remained elusive. The ovary is covered by a single layer of epithelial cells (Figure 1) and much of the research in the field been dedicated to understand their stem cell biology, as the majority of human ovarian cancers are believed by scientists to originate from the carcinogenic transformation of a single ovary epithelial cell.

A*STAR's IMB has now determined that Lgr5-expressing ovary epithelial cells have a long lifespan, and that they continuously self-renew by producing new cells to replace those lost over the reproductive lifetime of the organism. The team is now studying the mechanisms of how Lgr5-expressing stem cells regenerate in normal tissue. The regenerative ability of Lgr5-expressing stem cells makes them potentially useful for therapies that require tissue repair or replacement, such as through gene therapy to tackle ovary defects.

By using Lgr-5 as a biomarker to isolate and purify normal ovary stem cells and ovarian cancer stem cells, scientists can now compare normal and cancerous cells to identify differences between them. Such differences may then represent new therapeutic targets for ovarian cancer treatment.

Prof Nicholas Barker, Senior Principal Investigator of the project, said, "Researchers have been intensively looking for markers of ovary stem cells for decades, and the identification of Lgr5 as a specific marker of these cells represents a major breakthrough in this field. We can now rigorously investigate whether these stem cells are the origin of human ovarian cancer, and if so, how to target and eradicate them. This finding has paved the way for the development of cancer therapeutics in the future."

Prof Birgit Lane, Executive Director of IMB, said, "We at IMB are excited by these findings as they may open up new possibilities for ovarian cancer treatment. This beautiful and meticulous study has led to a breakthrough discovery in a very challenging field."

ANNEX B – FINDINGS AT A*STAR'S BIOINFORMATICS INSTITUTE HOLD POTENTIAL FOR PERSONALISED TREATMENT OF MAJOR TYPE OVARIAN CANCER

Scientists at A*STAR's Bioinformatics Institute have identified genes whose mutation status could be used for prognosis and development of personalized treatment for high-grade serous ovarian carcinoma (HG-SOC), a major type of ovarian cancer.

Besides identification of CHEK2 as a biomarker for poor prognosis, the team of scientists also identified a prognostic signature comprising 21 genes that could be used to stratify patients diagnosed with HG-SOC into subgroups with high- or low- risk of mortality within five years of diagnosis. Patients identified as high-risk had a five-year survival rate of 6%, and appeared to be twice as likely to exhibit resistance to therapy in contrast to those in the low-risk group. Besides determining the effectiveness of treatments, this prognostic signature would allow patients with poor prognosis to be identified even in the absence of mutations in CHEK2 by determining the mutational status of the other 20 genes in the profile.

These findings advance understanding of HG-SOC and could improve prediction and clinical management of this complex disease. The team's findings could also lead to development of new diagnostic or prognostic tests for women with inherited risk of ovarian cancer, or those whose genes contain mutations associated with poor prognosis and drug resistance.

Dr Vladimir Kuznetsov, Head of BII's Research Division and Senior Principal Investigator who led the study, said "Mutations are genetic events that initiate and drive cancer. We hope to continue our success in using these rare mutations and analysis of big data to address the challenges of screening, diagnosis, prognosis and treatment prediction of various diseases, including HG-SOC."

Dr Frank Eisenhaber, Executive Director of BII, said, "These findings demonstrate the importance of bioinformatics and the use of statistical models and computational genomics for the analysis of big biomedical data. These tools allow us to stratify patients into relevant subgroups and open avenues for development of diagnostic and prognostic kits for ovarian cancer, providing great promise for the future of personalised medicine for cancer."

BII will now further develop its study, having established research collaborations with clinical doctors and researchers locally. The group will continue its focus on developing and validating several next-generation biomarkers for ovarian cancer, using computational and experimental methods.

Keywords

Contact Information

Vanessa Loh
Biomedical Sciences Institutes (BMSI)
vanessa_loh@a-star.edu.sg

Source

How to Cite This Article

APA:
Biomedical Sciences Institutes (BMSI). (2014, August 7). A*Star scientists make breakthroughs in ovarian cancer research. Brightsurf News. https://www.brightsurf.com/news/LD50W30L/astar-scientists-make-breakthroughs-in-ovarian-cancer-research.html
MLA:
"A*Star scientists make breakthroughs in ovarian cancer research." Brightsurf News, Aug. 7 2014, https://www.brightsurf.com/news/LD50W30L/astar-scientists-make-breakthroughs-in-ovarian-cancer-research.html.