Bluesky Facebook Reddit Email

Ischemic preconditioning for cerebral infarction: Is it related to upregulation of VEGF?

07.22.14 | Neural Regeneration Research

Apple iPhone 17 Pro

Apple iPhone 17 Pro delivers top performance and advanced cameras for field documentation, data collection, and secure research communications.


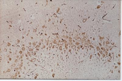
Neuroprotection by ischemic preconditioning has been confirmed by many studies, but the precise mechanism remains unclear. In a study released in the Neural Regeneration Research (Vol. 9, No. 11, 2014), Dr. Yong Liu and co-workers from Tongji Hospital Affiliated to Tongji Medical College, Huazhong University of Science and Technology, China performed cerebral ischemic preconditioning in rats by simulating a transient ischemic attack, and explored the mechanism underlying the neuroprotective effect of ischemic preconditioning. Researchers discovered that the infarct volume became significantly smaller underwent preconditioning. Furthermore, vascular endothelial growth factor immunoreactivity was considerably greater in the hippocampal CA3 region of preconditioned rats. Their results suggest that the protective effects of ischemic preconditioning on focal cerebral infarction are associated with upregulation of vascular endothelial growth factor.

Article: " Neuroprotective effect of ischemic preconditioning in focal cerebral infarction: relationship with upregulation of vascular endothelial growth factor," by Yong Liu1, 2, Suiqiang Zhu1, Yunfu Wang2, Jingquan Hu2, Lili Xu2, Li Ding2, Guangjian Liu2 (1 Department of Neurology, Tongji Hospital Affiliated to Tongji Medical College, Huazhong University of Science and Technology, Wuhan, Hubei Province, China; 2 Department of Neurology, Taihe Hospital Affiliated to Hubei University of Medicine, Shiyan, Hubei Province, China) Liu Y, Zhu SQ, Wang YF, Hu JQ, Xu LL, Ding L, Liu GJ. Neuroprotective effect of ischemic preconditioning in focal cerebral infarction: relationship with upregulation of vascular endothelial growth factor. Neural Regen Res. 2014;9(11):1117-1121.

Contact: Meng Zhao
eic@nrren.org
86-138-049-98773
Neural Regeneration Research
http://www.nrronline.org/

Neural Regeneration Research

Keywords

Article Information

Contact Information

Meng Zhao
eic@nrren.org

How to Cite This Article

APA:
Neural Regeneration Research. (2014, July 22). Ischemic preconditioning for cerebral infarction: Is it related to upregulation of VEGF?. Brightsurf News. https://www.brightsurf.com/news/LD5MNVKL/ischemic-preconditioning-for-cerebral-infarction-is-it-related-to-upregulation-of-vegf.html
MLA:
"Ischemic preconditioning for cerebral infarction: Is it related to upregulation of VEGF?." Brightsurf News, Jul. 22 2014, https://www.brightsurf.com/news/LD5MNVKL/ischemic-preconditioning-for-cerebral-infarction-is-it-related-to-upregulation-of-vegf.html.