Bluesky Facebook Reddit Email

High levels of master heat shock protein linked to poor prognosis in breast cancer patients

10.31.11 | Whitehead Institute for Biomedical Research

Sky & Telescope Pocket Sky Atlas, 2nd Edition

Sky & Telescope Pocket Sky Atlas, 2nd Edition is a durable star atlas for planning sessions, identifying targets, and teaching celestial navigation.


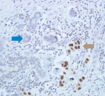
FINDINGS: Whitehead Institute scientists report that patients whose estrogen receptor (ER)-positive breast cancers have high levels of an ancient cellular survival factor experience poor outcomes -- including increased mortality. The researchers also found that invasive ER-positive tumors with elevated levels of this factor, the protein known as heat shock factor 1 (HSF1), tend to be larger and more aggressive than those with low levels.

RELEVANCE: According to the American Cancer Society, approximately two-thirds of breast cancer patients have ER-positive tumors. HSF1 status may shed light not only on prognosis but also on how such patients might respond to specific therapies.

High levels of master heat shock protein linked to poor prognosis in breast cancer patients

CAMBRIDGE, Mass. (October 31, 2011) – Whitehead Institute scientists report that patients whose estrogen receptor (ER)-positive breast cancers have high levels of the ancient cellular survival factor heat shock factor 1 (HSF1) experience poor outcomes -- including increased mortality.

According to the American Cancer Society, approximately two-thirds of breast cancer patients have ER-positive tumors. Although ER-positive breast cancers are often associated with better outcomes than other breast cancer tumor types, including those that are negative for the HER-2 receptor and so-called triple negative breast cancers (those lacking estrogen, progesterone, and HER-2 receptors), patient prognoses can still vary widely.

"HSF1's relationship to prognosis [in ER-positive patients] raises the interesting possibility for diagnostic applications -- HSF1 levels may have a role in helping determine who will have a better outcome and possibly who will have a poorer response to certain drugs," says Sandro Santagata, a postdoctoral researcher in the lab of Whitehead Member Susan Lindquist and first author of the study whose results are published online this week in the Proceedings of the National Academy of Sciences .

The heat shock response, which is controlled by transcription factors like HSF1, enables cells to withstand temperature spikes and other stressors. Crammed with distorted and abnormal proteins, cancer cells are deviants that live in a tumor's distorted landscape; a world lacking abundant nutrients and oxygen. To survive these exceptionally stressful circumstances, many cancer cells have usurped the normally beneficial heat shock response to support their existence.

To see how HSF1 levels in cancer cell nuclei are associated with the cancer's aggressiveness, Santagata examined HSF1 levels in breast cancer tissue samples from 1,841 participants in one of the largest and longest-running epidemiological studies of women's health, the Nurses' Health Study. Santagata and colleagues at the Harvard School of Public Health and University of Miami then looked at the relationship between HSF1 status and the participants' outcomes. Compared with ER-positive breast cancer patients with low levels of HSF1, those with high levels of HSF1 had a poorer outcome, including increased mortality. He also noted that invasive ER-positive tumors with elevated HSF1 levels tended to be larger and more aggressive than those with normal HSF1 levels.

Because of this strong link between HSF1 concentrations and prognosis, HSF1 testing could become a valuable part of the oncologist's toolkit.

"If HSF1 status can help predict which of the ER-positive patients will do well with standard treatments and which ones won't, that would be really helpful," says Santagata, who is also an instructor in pathology at Brigham and Women's Hospital. "In terms of understanding the biology, we think these findings are really important for reinforcing our interest in pursuing the heat shock response itself as a therapeutic target."

This research was supported by the Breast Cancer Research Foundation, National Cancer Institute, Department of Defense Congressionally Directed Medical Research Programs (DoD-CDMRP) Breast Cancer Research Program, Public Health Service, Specialized Program Of Research Excellence (SPORE) in Breast Cancer from the National Cancer Institute, Department of Health and Human Services, GlaxoSmithKline, Susan G. Komen Breast Cancer Foundation, American Cancer Society New England Division-SpinOdyssey, Marble Foundation, and V Foundation for Cancer Research.

Written by Nicole Giese

Susan Lindquist's primary affiliation is with Whitehead Institute for Biomedical Research, where her laboratory is located and all her research is conducted. She is also a Howard Hughes Medical Institute investigator and a professor of biology at Massachusetts Institute of Technology.

Full Citation:

"High levels of nuclear HSF1 are associated with poor prognosis in breast cancer"

PNAS , published the week of October 31, 2011

Sandro Santagata (1,2), Rong Hu (3,4), Nancy U. Lin (5), Marc L. Mendillo (2), Laura C. Collins (6), Susan E. Hankinson (3,4), Stuart J. Schnitt (6), Luke Whitesell (2), Rulla M. Tamimi (3,4), Susan Lindquist (2,7), and Tan A. Ince (8).

1. Department of Pathology, Brigham and Women's Hospital, and Harvard Medical School, 75 Francis Street, Boston, MA, USA.

2. Whitehead Institute for Biomedical Research, Nine Cambridge Center, Cambridge, MA, USA.

3. Department of Epidemiology, Harvard School of Public Health, 677 Huntington Avenue, Boston, MA, USA.

4. Channing Laboratory, Department of Medicine, Brigham and Women's Hospital and Harvard Medical School, 181 Longwood Avenue, Boston, MA, USA.

5. Department of Medical Oncology, Dana-Farber Cancer Institute, 450 Brookline Avenue, Boston, MA, USA.

6. Department of Pathology, Beth Israel Deaconess Medical Center and Harvard Medical School, 330 Brookline Avenue, Boston, MA, USA

7. Howard Hughes Medical Institute, Department of Biology, Massachusetts Institute of Technology, Cambridge, MA, USA.

8. Department of Pathology, Braman Family Breast Cancer Institute and Interdisciplinary Stem Cell Institute, University of Miami Miller School of Medicine, 1501 NW 10th Avenue, Miami, FL, USA.

Proceedings of the National Academy of Sciences

Keywords

Article Information

Contact Information

Nicole Giese
Whitehead Institute for Biomedical Research
giese@wi.mit.edu

How to Cite This Article

APA:
Whitehead Institute for Biomedical Research. (2011, October 31). High levels of master heat shock protein linked to poor prognosis in breast cancer patients. Brightsurf News. https://www.brightsurf.com/news/LD5PZ76L/high-levels-of-master-heat-shock-protein-linked-to-poor-prognosis-in-breast-cancer-patients.html
MLA:
"High levels of master heat shock protein linked to poor prognosis in breast cancer patients." Brightsurf News, Oct. 31 2011, https://www.brightsurf.com/news/LD5PZ76L/high-levels-of-master-heat-shock-protein-linked-to-poor-prognosis-in-breast-cancer-patients.html.