Bluesky Facebook Reddit Email

Uneasiness in observers of unnatural android movements explained

01.09.18 | Osaka University

Celestron NexStar 8SE Computerized Telescope

Celestron NexStar 8SE Computerized Telescope combines portable Schmidt-Cassegrain optics with GoTo pointing for outreach nights and field campaigns.


Osaka - It has been decades in the making, but humanoid technology has certainly made significant advancements toward creation of androids - robots with human-like features and capabilities. While androids hold great promise for tangible benefits to the world, they may induce a mysterious and uneasy feeling in human observers. This phenomenon, called the "uncanny valley," increases when the android's appearance is almost humanlike but its movement is not fully natural or comparable to human movement. This has been a focus of study for many years; however, the neural mechanism underlying the detection of unnatural movements remains unclear.

The challenge prompted a team of Osaka University-centered researchers to delve deeper into the topic.

First, they recorded movies of Geminoid F, an android developed by Osaka University and Advanced Telecommunications Research Institute International, and its actual human model. This allowed the researchers to investigate what differences a slight degree of motion unnaturalness would make to feelings about the android.

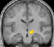
Second, they used functional magnetic resonance imaging (MRI) to investigate what brain region activates when participants observed the android's and the human's movements in the movies, wherein they were only slightly different in naturalness. The subthalamic nucleus is found to be responsible for detecting the android's slight awkwardness.

"Visual observation of the android, compared with that of the human model, caused greater activation in the subthalamic nucleus (STN), which plays an important role in motor control," says Takashi Ikeda, lead author of the study, which was published recently in Scientific Reports .

Notably, the STN is involved in the process of impairing dopaminergic neurons in the deep brain structure in Parkinson's disease patients. Deep brain stimulation to the STN dramatically improves rigidity or impairment of voluntary movement in these patients.

"Our data attest to commonalities between the movements of the android and Parkinson's disease patients. The android's movements were rigid and akinesic in a comparable way to the movements of a patient with mild Parkinson's disease," corresponding author Masayuki Hirata explains.

The current findings not only serve as valuable information for the design of androids, which could reduce the uncanny feeling in human observers, but also for elucidating the pathology of Parkinson's disease.

###

Osaka University was founded in 1931 as one of the seven imperial universities of Japan and now has expanded to one of Japan's leading comprehensive universities.?The University has now embarked on open research revolution from a position as Japan's most innovative university and among the most innovative institutions in the world according to Reuters 2015 Top 100 Innovative Universities and the Nature Index Innovation 2017. The university's ability to innovate from the stage of fundamental research through the creation of useful technology with economic impact stems from its broad disciplinary spectrum.

Website: http://resou.osaka-u.ac.jp/en/top

Scientific Reports

10.1038/s41598-017-17849-2

Keywords

Article Information

Contact Information

Source

How to Cite This Article

APA:
Osaka University. (2018, January 9). Uneasiness in observers of unnatural android movements explained. Brightsurf News. https://www.brightsurf.com/news/LK534RG1/uneasiness-in-observers-of-unnatural-android-movements-explained.html
MLA:
"Uneasiness in observers of unnatural android movements explained." Brightsurf News, Jan. 9 2018, https://www.brightsurf.com/news/LK534RG1/uneasiness-in-observers-of-unnatural-android-movements-explained.html.