Bluesky Facebook Reddit Email

The optimal mitomycin C concentration for intact peripheral nerve structure and function

07.09.14 | Neural Regeneration Research

Garmin GPSMAP 67i with inReach

Garmin GPSMAP 67i with inReach provides rugged GNSS navigation, satellite messaging, and SOS for backcountry geology and climate field teams.


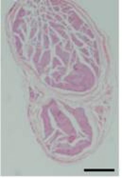
Recently, local scar adhesion after laminectomy always challenges the worldwide scholars engaged in spine surgery. Mitomycin C, a classical anti-tumor drug, has been attempted to be used to effectively inhibit scar adhesion after laminectomy and some encouraging outcomes have been achieved. However, there is evidence that mitomycin C has inherent toxicity and other side effects when it is locally used. Whether mitomycin C can influence peripheral nerve structure and function remains unclear. Dr. Tao Sui and his team, the First Affiliated Hospital of Nanjing Medical University, China reported that mitomycin C, at 0.7 mg/mL, did not produce obvious effect on peripheral nerve function, and mitomycin C at 0.1-0.5 mg/mL did not damage the structure of peripheral nerve. However, mitomycin C at 0.7 mg/mL significantly reduced the thickness of the sciatic nerve myelin sheath. These experimental findings indicate that local application of mitomycin C at low concentrations is safe to prevent scar adhesion following laminectomy, but that at high concentrations (> 0.7 mg/mL) has potential safety risks to peripheral nerve structures. These results were published in Neural Regeneration Research (Vol. 9, No. 8, 2014).

Article: " Potential risk of mitomycin C at high concentrations on peripheral nerve structure," by Tao Sui1, Jinhong Zhang2, Shihao Du1, Changhui Su3, Jun Que4, Xiaojian Cao1 (1 Department of Orthopedics, the First Affliated Hospital of Nanjing Medical University, Nanjing, Jiangsu Province, China; 2 Department of Orthopedics, the Second Hospital of Nanjing, Affliated to Southeast University, Nanjing, Jiangsu Province, China; 3 Department of Orthopedics, Affliated Hospital of Taishan Medical College, Taishan, Shandong Province, China; 4 Department of Intensive Care Unit, the First Affliated Hospital of Nanjing Medical University, Nanjing, Jiangsu Province, China)

Sui T, Zhang JH, Du SH, Su CH, Que J, Cao XJ. Potential risk of mitomycin C at high concentrations on peripheral nerve structure. Neural Regen Res . 2014;9(8):821-827.

Contact:

Meng Zhao
eic@nrren.org
86-138-049-98773
Neural Regeneration Research
http://www.nrronline.org/

Neural Regeneration Research

Keywords

Article Information

Contact Information

Meng Zhao
eic@nrren.org

How to Cite This Article

APA:
Neural Regeneration Research. (2014, July 9). The optimal mitomycin C concentration for intact peripheral nerve structure and function. Brightsurf News. https://www.brightsurf.com/news/LK5D3931/the-optimal-mitomycin-c-concentration-for-intact-peripheral-nerve-structure-and-function.html
MLA:
"The optimal mitomycin C concentration for intact peripheral nerve structure and function." Brightsurf News, Jul. 9 2014, https://www.brightsurf.com/news/LK5D3931/the-optimal-mitomycin-c-concentration-for-intact-peripheral-nerve-structure-and-function.html.