Bluesky Facebook Reddit Email

Researchers identify new cause of brain defects in tuberous sclerosis patients

02.09.17 | Rockefeller University Press

Meta Quest 3 512GB

Meta Quest 3 512GB enables immersive mission planning, terrain rehearsal, and interactive STEM demos with high-resolution mixed-reality experiences.


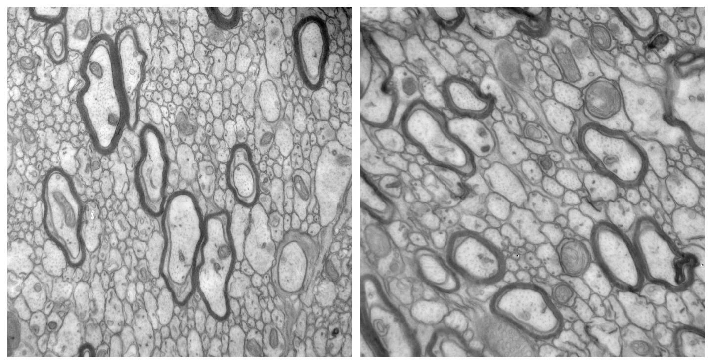
Boston Children's Hospital researchers have uncovered a new molecular pathway that inhibits the myelination of neurons in the brains of patients with the rare genetic disorder tuberous sclerosis complex (TSC). The study, " Neuronal CTGF/CCN2 negatively regulates myelination in a mouse model of tuberous sclerosis complex ," which will be published online February 9 in The Journal of Experimental Medicine , suggests new ways to treat some of the neurological symptoms associated with TSC, including autism and epilepsy.

TSC is caused by mutations in the genes TSC1 and TSC2. The disease affects approximately 1 in 6,000 people and is characterized by the growth of numerous benign tumors in different tissues of the body, including the brain, skin, eyes, kidneys, heart, and lungs. Many patients also have neurological symptoms such as epilepsy, intellectual disability, and autism. Patients' brains show various abnormal structures. In particular, TSC patients with autism show defects in the organization of their white matter, the regions of the brain where oligodendrocyte cells protect neuronal axons by wrapping them in an insulating myelin sheath.

Mustafa Sahin and colleagues previously found that mice whose neurons lack TSC1 fail to myelinate their axons correctly, but the reason for this defect remained unclear. Sahin's team at Boston Children's Hospital and Harvard Medical School now reveal that neurons lacking TSC1 secrete increased amounts of a protein called connective tissue growth factor (CTGF) and that this protein impedes oligodendrocyte development and myelination. Deleting the gene encoding CTGF restored the ability of oligodendrocytes to myelinate axons in mice lacking neuronal TSC1.

Sahin and colleagues found that CTGF levels were also elevated in neurons derived from TSC patients. "Our study provides the first description of a molecular mechanism that could underlie the aberrant white matter microstructure in TSC patients," Sahin says. "Future studies of the effects of CTGF on oligodendrocyte development will be a major goal for the discovery of new therapeutic targets."

The researchers add that the role of CTGF secreted from neurons should be investigated in other myelination diseases, including multiple sclerosis and some forms of cerebral palsy.

###

Ercan et al. 2017. J. Exp. Med. http://jem.rupress.org/cgi/doi/10.1084/jem.20160446?PR

About The Journal of Experimental Medicine

The Journal of Experimental Medicine (JEM) features peer-reviewed research on immunology, cancer biology, stem cell biology, microbial pathogenesis, vascular biology, and neurobiology. All editorial decisions are made by research-active scientists in conjunction with in-house scientific editors. JEM provides free online access to many article types from the date of publication and to all archival content. Established in 1896, JEM is published by The Rockefeller University Press. For more information, visit jem.org .

Visit our Newsroom , and sign up for a weekly preview of articles to be published. Embargoed media alerts are for journalists only.

Follow JEM on Twitter at @JExpMed and @RockUPress .

Journal of Experimental Medicine

10.1084/jem.20160446

Keywords

Article Information

Contact Information

Ben Short
Rockefeller University Press
bshort@rockefeller.edu

How to Cite This Article

APA:
Rockefeller University Press. (2017, February 9). Researchers identify new cause of brain defects in tuberous sclerosis patients. Brightsurf News. https://www.brightsurf.com/news/LK5P6GN1/researchers-identify-new-cause-of-brain-defects-in-tuberous-sclerosis-patients.html
MLA:
"Researchers identify new cause of brain defects in tuberous sclerosis patients." Brightsurf News, Feb. 9 2017, https://www.brightsurf.com/news/LK5P6GN1/researchers-identify-new-cause-of-brain-defects-in-tuberous-sclerosis-patients.html.