Bluesky Facebook Reddit Email

Stainless staining provides a new tool for clinicians and researchers

05.13.15 | World Scientific

SAMSUNG T9 Portable SSD 2TB

SAMSUNG T9 Portable SSD 2TB transfers large imagery and model outputs quickly between field laptops, lab workstations, and secure archives.


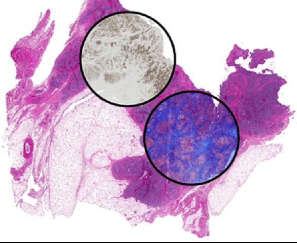
Histopathology is a cornerstone of modern biomedical research. Yet, the practice of histopathology has evolved just a few times -- non-specific stains in the late 19th century, immunohistochemical staining in the mid-to-late 20th century and digital imaging/computerized analysis at the turn of the 20th century. In all cases, prepared biopsy samples are stained and examined under a light microscope. This study reports a new approach to histology in which a team of engineers, pathologists and surgeon report the development of label-free chemical imaging to provide the same information as molecular stains. Led by Rohit Bhargava at the University of Illinois, the study is based on using infrared spectroscopic imaging for microscopy.

Instead of using stains, the spectra measure the chemical constitution of cells and tissues directly. By using computational techniques, the researchers were able to relate spectral properties to known staining patterns of tissue. The outcome is that that molecular stains can be reproduced without staining the tissue but by using the intrinsic molecular contrast of the tissue and computation. Thus, any sample can be stained for desired stains without material cost, time or effort while leaving precious tissue pristine for downstream analyses. Another use of the approach can be in the analysis of small amounts of samples, for example from a thin needle biopsy. In cases where materials are limited or there may be a need to closely correlate multiple expressed molecules, it may not be possible to obtain multiple samples from the same biopsy for multiple stains. The method developed in this study could be a solution, allowing the user to simply "dial-in" a required stain. The study is timely as it builds on the emergence of chemical imaging and maturation of computation from the sciences/engineering side and the drive to greater molecular content from the biomedical/clinical side. The development of this approach promises to have immediate and long term impact in changing pathology to a multiplexed molecular science -- in both research and clinical practice.

The study relies on computation, instead of staining to provide images. "We're relying on the chemistry to generate the ground truth and act as the "supervisor" for a supervised learning algorithm. A human has to verify that the stain was applied appropriately, but that's something that pathologists do very well", said David Mayerich, the lead author of the study. Dr. Mayerich is now an Assistant Professor at the University of Houston. Dr. Mayerich and co-author Dr. Michael Walsh were both Beckman Institute post-doctoral fellows at the University of Illinois. Dr. Walsh is now Assistant Professor at the University of Illinois at Chicago. "One of the bottlenecks in automated pathology is the extensive processing that must be applied to stained images to correct for staining artifacts and inconsistencies. The ability to apply stains uniformly across multiple samples could make these initial image processing steps significantly easier and more robust". The clinical possibilities were expanded upon by Dr. Andre Balla "FT-IR imaging allows histology digital imaging without destroying tissue properties caused by staining, therefore the same slide can be used for other purposes (multiplex immunofluorescence and immunohistochemistry, or other methods). For research applications, it also allows higher throughput by rapidly marking up the tissues for regions of interest". The work is a consequence of the development of imaging technology and its moving closer to clinical applications. "Infrared and optical imaging seemed to be distinct modes for getting important data in pathology. This study shows a close link between the two, allowing the user to choose the best method to address their needs", commented Rohit Bhargava.

###

The work was supported by the National Institutes of Health via grants 1R01CA138882, 4R00LM011390 and 2R01EB009745.

Corresponding author for this study in TECHNOLOGY is Dr. Rohit Bhargava, rxb@illinois.edu . The study can be found at http://www.worldscientific.com/doi/abs/10.1142/S2339547815200010 .

TECHNOLOGY

Keywords

Article Information

Contact Information

Source

How to Cite This Article

APA:
World Scientific. (2015, May 13). Stainless staining provides a new tool for clinicians and researchers. Brightsurf News. https://www.brightsurf.com/news/LK5Y4YW1/stainless-staining-provides-a-new-tool-for-clinicians-and-researchers.html
MLA:
"Stainless staining provides a new tool for clinicians and researchers." Brightsurf News, May. 13 2015, https://www.brightsurf.com/news/LK5Y4YW1/stainless-staining-provides-a-new-tool-for-clinicians-and-researchers.html.