Bluesky Facebook Reddit Email

Warwick to conduct breakthrough research on oral cancers in Pakistan

10.06.16 | University of Warwick

SAMSUNG T9 Portable SSD 2TB

SAMSUNG T9 Portable SSD 2TB transfers large imagery and model outputs quickly between field laptops, lab workstations, and secure archives.


One of the deadliest and most prevalent cancers in the Indo-Pakistan region could be treated more effectively, thanks to a new research project being undertaken at the University of Warwick, in collaboration with University Hospitals Coventry and Warwickshire NHS Trust (UHCW) and the Shaukat Khanum Memorial Cancer Hospital & Research Centre (SKM) in Pakistan.

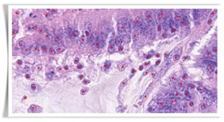
Gathering samples and data from the SKM Cancer Hospital & Research Centre, the project will involve digitally scanning slides of human tissue samples from oral cancer patients at the UHCW, and sophisticated computerised image analysis at Warwick, thereby generating a repository of important information about the different types of cancer cells which can be found in oral cancers in the subcontinent.

Professor Nasir Rajpoot at Warwick's Tissue Image Analytics (TIA) Lab will lead the project, using a revolutionary digital pathology system to analyse image data for cancerous samples from Pakistan's largest cancer hospital and research centre, leading to better diagnosis and treatment of oral cancers.

This information will be used to develop a computerised profiling algorithm, with which pathologists can potentially analyse cancerous tissue samples more accurately, and which can be used for targeted treatment options, and to better stratify oral cancer patients into various risk groups.

With almost 13,000 new cases of oral cancer each year in Pakistan, it is the country's most prevalent cancer, with the second highest mortality rate, likely due to the widespread use of smokeless tobacco, betel quid chewing, and poor oral hygiene. The situation is similar in India, and with people around the world of South Asian heritage - including large populations in Britain.

Professor Rajpoot explains how the project will lead to better diagnosis and treatment of oral cancer patients:

"In this inter-disciplinary project, we will investigate various subgroups of oral cancer patients of the South Asian origin using advanced digital pathology image analysis algorithms recently developed in our lab. The outcomes from this project will shed more light on how oral cancer patients could be better diagnosed and treated in future."

Dr David Snead, Director of the UHCW centre of excellence and a co-investigator on this project, comments that digital pathology will lead to better treatment for oral cancer patients:

"The UHCW Centre of Excellence for Digital Pathology is excited by the prospect of bringing state-of-the-art digital pathology algorithms to the challenging problem of oral cancer. It is one of many areas where we believe this technology is going to deliver improved outcomes for patients."

"Unfortunately, Pakistan has a high incidence of this disease and this represents a great opportunity to make a difference," Dr Snead continues.

Dr Asif Loya, Medical Director at the SKM cancer hospital, says they're looking forward to the project:

"We are excited to be part of this project and look forward to participation in this cutting-edge research which could potentially change the analysis and management of these tumours. This will also introduce state-of-the-art digital imaging capacity at our institution."

The TIA lab at Warwick is one of the leaders in digital pathology image analysis research in the UK, and computerised methods such as this could transform healthcare globally. The project is funded by an EPSRC (a UK funding agency's) Impact Accelerator award to Prof Rajpoot and the team.

###

Keywords

Contact Information

Luke Walton
University of Warwick
L.Walton.1@warwick.ac.uk

Source

How to Cite This Article

APA:
University of Warwick. (2016, October 6). Warwick to conduct breakthrough research on oral cancers in Pakistan. Brightsurf News. https://www.brightsurf.com/news/LM26N45L/warwick-to-conduct-breakthrough-research-on-oral-cancers-in-pakistan.html
MLA:
"Warwick to conduct breakthrough research on oral cancers in Pakistan." Brightsurf News, Oct. 6 2016, https://www.brightsurf.com/news/LM26N45L/warwick-to-conduct-breakthrough-research-on-oral-cancers-in-pakistan.html.