Bluesky Facebook Reddit Email

Brain scan reveals cognitive deficits in older 'cognitively normal' HIV+ individuals

11.18.15 | Georgetown University Medical Center

Fluke 87V Industrial Digital Multimeter

Fluke 87V Industrial Digital Multimeter is a trusted meter for precise measurements during instrument integration, repairs, and field diagnostics.


WASHINGTON (Nov. 17, 2015) -- Neuroscientists at Georgetown University Medical Center have found in a small study that although a group of HIV+ older individuals scored "cognitively normal" in standard neuropsychology testing, a scan of their brains tells a different story.

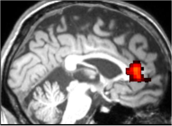
Published Nov. 17 in the journal AIDS Care , functional MRI (fMRI) scans, taken while participants were performing an alternating face-gender/word-semantic task, revealed that HIV+ individuals in the study showed deficits in cognitive functioning, compared to an age matched healthy controls.

Despite advances in treatment, HIV-associated neurocognitive disorder, or HAND, remains one of most common disorders in individuals with HIV infection. Previous studies have suggested about 30 to 60 percent of individuals with HIV-infection are affected, says neuroscientist Xiong Jiang, PhD, the lead author of the new study. This study suggests that cognitive impairments in HIV-infected 50 years or older individuals might be even more prevalent than previously proposed.

"This could be due to the fact that some standard neuropsychology tests might be insensitive to HAND", says Jiang. The new study used an experimental design that has been validated to study cognitive control (the ability to guide thought and action in accordance with current goals in a given environment) in healthy younger adults.

During the scanning, the participants were cued (unpredictably) to judge the gender of the face (male versus female) or the meaning of the word (e.g., animate for "tiger" and inanimate for "table") on superimposed face-word images. A switch (after the cue) in task often leads to an increase in reaction time and a decrease in accuracy (known as switching cost).

The HIV+ group was significantly slower in adjusting to change in tasks, which correlates with brain dysfunctions in the dorsal anterior cingulate cortex (dACC), one of the key executive regions. This collar-shaped area is near the front of the brain, and damage to this region has been linked to many cognitive impairments, including executive deficits and apathy.

"Intriguingly, both impairments are highly prevalent in individuals with HIV-infection, suggesting dACC might be one of commonly affected brain regions in HIV and a potential neural target for therapies," says Jiang.

"These findings, although preliminary, could have a significant implication for public health," says Jiang, "While there is no proven treatment that can effectively treat HAND other than control HIV replication, it is important for caregivers, families and the individuals themselves to know if they are affected."

Jiang says he will now study HAND in a larger population -- research supported by a $2 million grant from the National Institute of Mental Health (1R01MH108466-01) to further develop his fMRI-based biomarkers with the potential to guide and evaluate early and targeted therapies.

###

Co-authors include Maximilian Riesenhuber from Georgetown University, and Rebecca Barasky, Halli Olsen and Manya Magnus from George Washington University. This cross-institutional and cross-disciplinary project is supported by the National Center for Research Resources (UL1RR031988) and the District of Columbia Developmental Center for AIDS Research (P30AI087714).

About Georgetown University Medical Center

Georgetown University Medical Center (GUMC) is an internationally recognized academic medical center with a three-part mission of research, teaching and patient care (through MedStar Health). GUMC's mission is carried out with a strong emphasis on public service and a dedication to the Catholic, Jesuit principle of cura personalis -- or "care of the whole person." The Medical Center includes the School of Medicine and the School of Nursing & Health Studies, both nationally ranked; Georgetown Lombardi Comprehensive Cancer Center, designated as a comprehensive cancer center by the National Cancer Institute; and the Biomedical Graduate Research Organization, which accounts for the majority of externally funded research at GUMC including a Clinical and Translational Science Award from the National Institutes of Health.

AIDS Care

Keywords

Article Information

Contact Information

Karen Teber
Georgetown University Medical Center
km463@georgetown.edu

How to Cite This Article

APA:
Georgetown University Medical Center. (2015, November 18). Brain scan reveals cognitive deficits in older 'cognitively normal' HIV+ individuals. Brightsurf News. https://www.brightsurf.com/news/LM2DJKNL/brain-scan-reveals-cognitive-deficits-in-older-cognitively-normal-hiv-individuals.html
MLA:
"Brain scan reveals cognitive deficits in older 'cognitively normal' HIV+ individuals." Brightsurf News, Nov. 18 2015, https://www.brightsurf.com/news/LM2DJKNL/brain-scan-reveals-cognitive-deficits-in-older-cognitively-normal-hiv-individuals.html.