Bluesky Facebook Reddit Email

Inherent feminizing effect of germ cells: New insights into sex determination

03.29.18 | Nagoya University

DJI Air 3 (RC-N2)

DJI Air 3 (RC-N2) captures 4K mapping passes and environmental surveys with dual cameras, long flight time, and omnidirectional obstacle sensing.


Nagoya University-led study shows for the first time germ cells have an inherent property to feminize the body in teleost fish, medaka

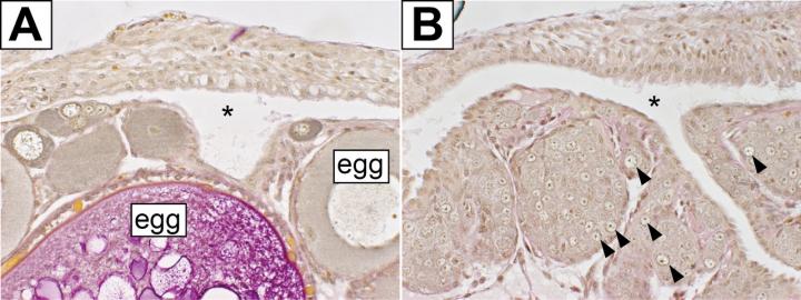
Nagoya, Japan - The gender of living organisms is determined either by genetic factors and/or by environmental factors. Interestingly, however, a team of researchers led by Nagoya University previously found that the occurrence of more germ cells -- biological cells capable of uniting with one from the opposite sex to form a new individual -- in female medaka (teleost fish) gonads is essential for female differentiation of gonads. When germ cells are removed in medaka, XX (female) fish show female-to-male sex reversal, while XY (male) fish with excessive germ cells, which is usually associated with egg production, exhibit male-to-female sex reversal.

"This finding implies that, in addition to the most well- known role of germ cells developing into eggs or sperm and produce the next generation, germ cells have a unique and surprising potential to change their surrounding environment," says Toshiya Nishimura, first author of the current study. "However, the molecular basis of, and the stage of gametogenesis critical for, feminization remain unknown."

This question set the researchers to delve deeper into the topic. In their latest study, they generated three different medaka mutants to demonstrate that the feminizing effect of germ cells is not a result of the progression of gametogenesis or a sexual fate decision of germ cells. They found the different stages of germ cells in XX mutants have an ability to feminize the gonads, resulting in the formation of gonads with ovarian structures. In addition to normal ovarian development, the increased number of gonocytes (fetal and neonatal germ cells) is sufficient for male-to-female sex reversal in XY medaka.

What these results mean is that the mechanism underlying the feminizing effect of germ cells is activated before the sexual fate decision of germ cells and meiosis, probably by the time of gonocyte formation in medaka. The study was published in PLOS Genetics.

"Our analyses using medaka collectively also suggest that germ cells acquire the feminizing effect before committing to gametogenesis, while male germ cells undergo a quiescent state before the initiation of spermatogenesis," corresponding author Minoru Tanaka says. "Why do male germ cells need to be quiescent? One possible answer for the biological meaning of the quiescent state of male germ cells may be to prevent the gonad from being feminized until masculinization of somatic cells is established."

###

The article, "Germ cells in the teleost fish medaka have an inherent feminizing effect", was published in PLOS Genetics at DOI: 10.1371/journal.pgen.1007259.

PLOS Genetics

10.1371/journal.pgen.1007259

Keywords

Article Information

Contact Information

Koomi Sung
Nagoya University
press@aip.nagoya-u.ac.jp

Source

How to Cite This Article

APA:
Nagoya University. (2018, March 29). Inherent feminizing effect of germ cells: New insights into sex determination. Brightsurf News. https://www.brightsurf.com/news/LP2GME0L/inherent-feminizing-effect-of-germ-cells-new-insights-into-sex-determination.html
MLA:
"Inherent feminizing effect of germ cells: New insights into sex determination." Brightsurf News, Mar. 29 2018, https://www.brightsurf.com/news/LP2GME0L/inherent-feminizing-effect-of-germ-cells-new-insights-into-sex-determination.html.